Phospho-BLM (Thr99) Antibody
-
中文名稱:磷酸化-BLM (Thr99)兔多克隆抗體
-
貨號:CSB-PA188391
-
規格:¥2454
-
圖片:
-
Western blot analysis of extracts from HepG2 cells using Bloom Syndrome Protein (Phospho-Thr99) Antibody.The lane on the right is treated with the antigen-specific peptide.
-
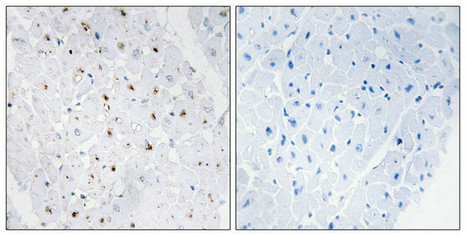
Immunohistochemical analysis of paraffin-embedded human heart tissue, using Bloom Syndrome Protein (Phospho-Thr99) antibody (left)or the same antibody preincubated with blocking peptide (right).
-
-
其他:
產品詳情
-
產品名稱:Rabbit anti-Homo sapiens (Human) BLM Polyclonal antibody
-
Uniprot No.:
-
基因名:BLM
-
宿主:Rabbit
-
反應種屬:Human
-
免疫原:Peptide sequence around phosphorylation site of threonine 99 (Q-E-T(p)-Q-R) derived from Human Bloom Syndrome.
-
免疫原種屬:Homo sapiens (Human)
-
克隆類型:Polyclonal
-
純化方式:Antibodies were produced by immunizing rabbits with synthetic phosphopeptide and KLH conjugates. Antibodies were purified by affinity-chromatography using epitope-specific phosphopeptide. Non-phospho specific antibodies were removed by chromatogramphy usi
-
濃度:It differs from different batches. Please contact us to confirm it.
-
產品提供形式:Liquid
-
應用范圍:ELISA,WB,IHC
-
推薦稀釋比:
Application Recommended Dilution WB 1:500-1:1000 IHC 1:50-1:100 -
Protocols:
-
儲存條件:Upon receipt, store at -20°C or -80°C. Avoid repeated freeze.
-
貨期:Basically, we can dispatch the products out in 1-3 working days after receiving your orders. Delivery time maybe differs from different purchasing way or location, please kindly consult your local distributors for specific delivery time.
-
用途:For Research Use Only. Not for use in diagnostic or therapeutic procedures.
相關產品
靶點詳情
-
功能:ATP-dependent DNA helicase that unwinds single- and double-stranded DNA in a 3'-5' direction. Participates in DNA replication and repair. Involved in 5'-end resection of DNA during double-strand break (DSB) repair: unwinds DNA and recruits DNA2 which mediates the cleavage of 5'-ssDNA. Negatively regulates sister chromatid exchange (SCE). Stimulates DNA 4-way junction branch migration and DNA Holliday junction dissolution. Binds single-stranded DNA (ssDNA), forked duplex DNA and DNA Holliday junction. Recruited by the KHDC3L-OOEP scaffold to DNA replication forks where it is retained by TRIM25 ubiquitination, it thereby promotes the restart of stalled replication forks.
-
基因功能參考文獻:
- BLM utilizes its pro- and anti-DNA repair functions to maintain genome stability. PMID: 29523790
- Low BLM expression is associated with Colorectal Cancer. PMID: 29386092
- BLM is actively recruited to the alternative lengthening of telomeres that are experiencing replication stress and that the recruitment of BLM to these damaged telomeres is interdependent and is regulated by both ATR and Chk1. PMID: 28673972
- Our data highlights that BLM helicase and hSSB1 function in a dynamic complex in cells and that this complex is likely required for BLM protein stability and function. PMID: 28506294
- In the absence of BLM, sister chromatid exchange events do not occur randomly throughout the genome but are strikingly enriched at coding regions, specifically at sites of guanine quadruplex motifs in transcribed genes. PMID: 29348659
- Data show that helicases RHAU, BLM, and WRN exhibit distinct G-quadruplex (GQ) conformation specificity, but use a common mechanism of repetitive unfolding that leads to disrupting GQ structure multiple times in succession. PMID: 27407146
- Mutations within the domain VI of BLM detected in human cancer samples demonstrate the functional importance of this domain, suggesting human tumorigenicity resulting from mtBLM may be at least partly attributed to mitigated FANCD2 activation. PMID: 27083049
- Sgs1 and BLM regulate R-loop-associated genome instability. PMID: 29042409
- These results showed that BLM enters the nucleus via the importin beta1, RanGDP and NTF2 dependent pathway, demonstrating for the first time the nuclear trafficking mechanism of a DNA helicase. PMID: 29017749
- The anti-recombinase activity of BLM is of general importance for normal retention of RAD51 at DNA double strand break sites and regulation of homologous recombination. PMID: 28912125
- The authors show that the helicase of hDNA2 functionally integrates with BLM or WRN helicases to promote double-stranded DNA degradation by forming a heterodimeric molecular machine. This collectively suggests that the human DNA2 motor promotes the enzyme's capacity to degrade double-stranded DNA in conjunction with BLM or WRN and thus promote the repair of broken DNA. PMID: 27612385
- The BLM-TOP3A-RMI (BTR) dissolvase complex is required for Alternative lengthening of telomeres-mediated telomere synthesis. BLM and SLX4 play opposing roles in recombination-dependent replication at human telomeres. PMID: 28877996
- Aberrant BLM cytoplasmic expression associates with DNA damage stress and hypersensitivity to DNA-damaging agents in colorectal cancer. PMID: 27169843
- In humans, mutations in BLM give rise to Bloom's syndrome features genomic instability and susceptibity to cancer. PMID: 27238185
- in Alternative Lengthening of Telomeres cells, FANCD2 promotes intramolecular resolution of stalled replication forks in telomeric DNA while BLM facilitates their resection and subsequent involvement in the intermolecular exchanges that drive Alternative Lengthening of Telomeres. PMID: 27427384
- Results show that BLM-deficient human cells produce hemi-loss of heterozygosity by spontaneous deletion even though they exhibit a high spontaneous frequency of inter-allelic homologous recombination. PMID: 27601585
- BLM deficiency enables HeR in human cells PMID: 27100209
- these data indicate that carriers of deleterious BLM mutations are at increased risk to develop CRC, albeit with a moderate-to-low penetrance. PMID: 26358404
- evidence that BLM is a substrate for Fbw7alpha-dependent ubiquitylation and degradation during mitosis PMID: 26028025
- TopBP1 interacts with BLM to maintain genome stability but is dispensable for preventing BLM degradation.Crucial residues mediating BLM-TOP3A/RMI interactions identified. PMID: 25794620
- BLM mRNA and BLM protein levels independently influenced BCSS. This is the first and the largest study to provide evidence that BLM is a promising biomarker in breast cancer. PMID: 25673821
- These findings indicate that the BLM p.Q548X mutation is not a strong risk factor for ovarian cancer. PMID: 25182961
- The binding model of BLM RQC to a HJ offers the structural insights into the branch migration mechanism of BLM, in which DNA unwinding and annealing might be coordinated. PMID: 24257077
- this is the first genetic association study to show the significant association between BLM gene and Prostate cancer susceptibility in Chinese population. PMID: 25472581
- RecQ-like helicase BLM subcellular localization is regulated by SUMO-targeted ubiquitin ligase RNF4 in response to DNA damage, presumably to prevent illegitimate recombination events. PMID: 25588990
- Chk1 phosphorylates BLM-S502 to inhibit cullin-3-mediated BLM degradation during interphase. PMID: 25015292
- Findings indicate that BLM functions in 2 distinct pathways. In one, BLM functions to suppress sister chromatid exchanges formation; in the second one, T99 and T122 phosphorylations are essential for suppression of chromosomal radial formation. PMID: 25766002
- A novel frameshift mutation in BLM gene associated with high sister chromatid exchanges (SCE) in heterozygous family members. PMID: 25129257
- The data highlight the importance of Mus81 and Blm in DNA double-strand repair pathways, fertility, development and cancer. PMID: 24858046
- Mutational analysis by direct DNA sequencing revealed a novel frameshift mutation (c.1980-1982delAA) in exon 8 of BLM gene, resulting in a truncated protein (p.Lys662fsX5). PMID: 24118499
- BLM protein crystal structure provides detailed information on the interactions of the protein with DNA and helps to explain the mechanism coupling ATP hydrolysis and DNA unwinding. PMID: 24816114
- Results suggest that BRCA1 participates in ALT through its interactions with RAD50 and BLM. PMID: 25084169
- WRN and BLM act epistatically with DNA2 to promote the long-range resection of double strand break ends in human cells. PMID: 25122754
- identified mRNA and miRNA expression differences in Bloom syndrome patient and BLM-depleted cells PMID: 24958861
- Data highlight a dual role for BLM that influences the DSB repair pathway choice: protection against CtIP/MRE11 long-range deletions associated with A-EJ and promotion of DNA resection. PMID: 24095737
- BLM was ubiquitinated by E3 ligase MIB1 and degraded in G1 cells but was stabilized by TopBP1 in S phase cells. PMID: 24239288
- two proteins that interact with BLM, RMI1 and RMI2, are phosphorylated upon SAC activation, and, like BLM, RMI1, and RMI2, are phosphorylated in an MPS1-dependent manner. PMID: 24108125
- Case-control study to check an association between the genotypes of the c.-61 G>T and the g.38922 C>G polymorphisms of the RAD51 gene and the g.96267 A>C and the g.85394 A>G polymorphisms of the BLM gene and breast cancer occurrence. PMID: 23404160
- The BLM Q548X mutation does not predispose patients to prostate cancer or affect prostate cancer survival. PMID: 24096176
- FE65 interactions with BLM and MCM proteins may contribute to the neuronal cell cycle re-entry observed in brains affected by Alzheimer's disease. PMID: 23572515
- DNA topoisomerase I stimulates BLM helicase activity on a nucleolar-relevant RNA:DNA hybrid. PMID: 23261817
- Consistent with its role as a scaffolding protein for the assembly of BLM and RAD51 foci, cells depleted of SPIDR show increased rate of sister chromatid exchange and defects in homologous recombination repair. PMID: 23509288
- BLM helicase is major player in recombination-mediated telomere maintenance PMID: 23268311
- an important biochemical link between the UbS-DDR and BLM-dependent pathways involved in maintaining genome stability. PMID: 23708797
- Nonsense mutation p.Q548X in BLM protein is associated with breast cancer in Slavic populations. PMID: 23225144
- BLM depletion compromises replication fork recovery and leads to extensive delay of cell division after hydroxyurea-induced stalling. PMID: 23253856
- Eighteen polymorphisms in four DNA repair genes were genotyped in 789 age related cataract patients and 531 normal controls from the Jiangsu Eye Study. PMID: 23322570
- 27 BLM alleles that are not currently known to be associated with Bloom syndrome, are identified. PMID: 23129629
- Depleting BLM increased the mutation frequency at telomeres and at the MS32 minisatellite, which is a marker of Alternative Lengthening of Telomeres. PMID: 22989712
- we identified faults in two genes, Fanconi C and Bloom helicase( FANCC and BLM), in six families. Faults in these genes appear to increase the risk of developing breast cancer PMID: 23028338
顯示更多
收起更多
-
相關疾病:Bloom syndrome (BLM)
-
亞細胞定位:Nucleus. Note=Together with SPIDR, is redistributed in discrete nuclear DNA damage-induced foci following hydroxyurea (HU) or camptothecin (CPT) treatment. Accumulated at sites of DNA damage in a RMI complex- and SPIDR-dependent manner.
-
蛋白家族:Helicase family, RecQ subfamily
-
數據庫鏈接:
Most popular with customers
-
-
YWHAB Recombinant Monoclonal Antibody
Applications: ELISA, WB, IHC, IF, FC
Species Reactivity: Human, Mouse, Rat
-
Phospho-YAP1 (S127) Recombinant Monoclonal Antibody
Applications: ELISA, WB, IHC
Species Reactivity: Human
-
-
-
-
-















