PVRL3 Antibody
-
中文名稱:PVRL3兔多克隆抗體
-
貨號:CSB-PA250008
-
規格:¥1100
-
圖片:
-
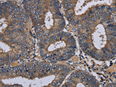
The image on the left is immunohistochemistry of paraffin-embedded Human colon cancer tissue using CSB-PA250008(PVRL3 Antibody) at dilution 1/40, on the right is treated with fusion protein. (Original magnification: ×200)
-
The image on the left is immunohistochemistry of paraffin-embedded Human esophagus cancer tissue using CSB-PA250008(PVRL3 Antibody) at dilution 1/40, on the right is treated with fusion protein. (Original magnification: ×200)
-
-
其他:
產品詳情
-
Uniprot No.:
-
基因名:
-
別名:CD113 antibody; CDw113 antibody; DKFZP566B0846 antibody; FLJ90624 antibody; Nectin-3 antibody; Nectin3 antibody; Poliovirus receptor related 3 antibody; Poliovirus receptor related protein 3 antibody; Poliovirus receptor-like 3 antibody; Poliovirus receptor-related protein 3 antibody; PPR3 antibody; PRR3 antibody; Pvrl3 antibody; PVRL3_HUMAN antibody; PVRR3 antibody
-
宿主:Rabbit
-
反應種屬:Human,Mouse
-
免疫原:Fusion protein of Human PVRL3
-
免疫原種屬:Homo sapiens (Human)
-
標記方式:Non-conjugated
-
抗體亞型:IgG
-
純化方式:Antigen affinity purification
-
濃度:It differs from different batches. Please contact us to confirm it.
-
保存緩沖液:-20°C, pH7.4 PBS, 0.05% NaN3, 40% Glycerol
-
產品提供形式:Liquid
-
應用范圍:ELISA,IHC
-
推薦稀釋比:
Application Recommended Dilution ELISA 1:2000-1:5000 IHC 1:50-1:200 -
Protocols:
-
儲存條件:Upon receipt, store at -20°C or -80°C. Avoid repeated freeze.
-
貨期:Basically, we can dispatch the products out in 1-3 working days after receiving your orders. Delivery time maybe differs from different purchasing way or location, please kindly consult your local distributors for specific delivery time.
-
用途:For Research Use Only. Not for use in diagnostic or therapeutic procedures.
相關產品
靶點詳情
-
功能:Plays a role in cell-cell adhesion through heterophilic trans-interactions with nectin-like proteins or nectins, such as trans-interaction with NECTIN2 at Sertoli-spermatid junctions. Trans-interaction with PVR induces activation of CDC42 and RAC small G proteins through common signaling molecules such as SRC and RAP1. Also involved in the formation of cell-cell junctions, including adherens junctions and synapses. Induces endocytosis-mediated down-regulation of PVR from the cell surface, resulting in reduction of cell movement and proliferation. Plays a role in the morphology of the ciliary body.
-
基因功能參考文獻:
- Nectin-3 mutation in men with severe teratospermia PMID: 28689229
- Data suggest that 3 independent regions of TcdB (Clostridium difficile toxin B; 1372-1493, 1493-1848, 1851-2366) contribute to binding and entry of TcdB into mammalian cells; residues 1372-1493 are sufficient for interaction with PVRL3. PMID: 26602083
- Expression of nectin-3 in pancreatic cancer can be a prognostic factor. PMID: 25690753
- PVRL3 is a physiologically relevant binding partner that can serve as a target for the prevention of TcdB-induced cytotoxicity in C. difficile infection. PMID: 26038560
- Nectin-3 is associated with the formation of cell junctions and be a putative suppressor molecule to the invasion of breast cancer cells. PMID: 24386110
- Nectin-3 trans-interacts with Nectin-2 to promote lymphocyte and monocyte extravasation. PMID: 24116228
- Data suggest that expression of nectin-3 is up-regulated in eutopic endometrium of patients with endometriosis as compared with control subjects and up-regulated in all endometriotic lesions investigated compared with eutopic endometrium. PMID: 22926846
顯示更多
收起更多
-
亞細胞定位:Cell membrane; Single-pass membrane protein. Cell junction, synapse, postsynaptic cell membrane.
-
蛋白家族:Nectin family
-
組織特異性:Predominantly expressed in testis and placenta as well as in many cell lines, including epithelial cell lines.
-
數據庫鏈接:
Most popular with customers
-
-
YWHAB Recombinant Monoclonal Antibody
Applications: ELISA, WB, IHC, IF, FC
Species Reactivity: Human, Mouse, Rat
-
Phospho-YAP1 (S127) Recombinant Monoclonal Antibody
Applications: ELISA, WB, IHC
Species Reactivity: Human
-
-
-
-
-















