PVR Antibody
-
中文名稱:PVR兔多克隆抗體
-
貨號:CSB-PA297000
-
規格:¥1100
-
圖片:
-
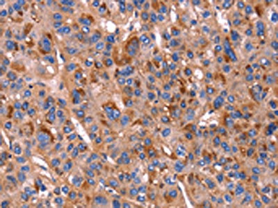
The image on the left is immunohistochemistry of paraffin-embedded Human liver cancer tissue using CSB-PA297000(PVR Antibody) at dilution 1/20, on the right is treated with fusion protein. (Original magnification: ×200)
-
The image on the left is immunohistochemistry of paraffin-embedded Human colon cancer tissue using CSB-PA297000(PVR Antibody) at dilution 1/20, on the right is treated with fusion protein. (Original magnification: ×200)
-
Gel: 6%SDS-PAGE, Lysate: 40 μg, Lane 1-3: HepG2 cells, human testis tissue, Hela cells, Primary antibody: CSB-PA297000(PVR Antibody) at dilution 1/200, Secondary antibody: Goat anti rabbit IgG at 1/8000 dilution, Exposure time: 1 minute
-
-
其他:
產品詳情
-
Uniprot No.:
-
基因名:
-
別名:PVR; PVS; Poliovirus receptor; Nectin-like protein 5; NECL-5; CD antigen CD155
-
宿主:Rabbit
-
反應種屬:Human
-
免疫原:Fusion protein of Human PVR
-
免疫原種屬:Homo sapiens (Human)
-
標記方式:Non-conjugated
-
抗體亞型:IgG
-
純化方式:Antigen affinity purification
-
濃度:It differs from different batches. Please contact us to confirm it.
-
保存緩沖液:-20°C, pH7.4 PBS, 0.05% NaN3, 40% Glycerol
-
產品提供形式:Liquid
-
應用范圍:ELISA,WB,IHC
-
推薦稀釋比:
Application Recommended Dilution ELISA 1:1000-1:2000 WB 1:200-1:1000 IHC 1:25-1:100 -
Protocols:
-
儲存條件:Upon receipt, store at -20°C or -80°C. Avoid repeated freeze.
-
貨期:Basically, we can dispatch the products out in 1-3 working days after receiving your orders. Delivery time maybe differs from different purchasing way or location, please kindly consult your local distributors for specific delivery time.
-
用途:For Research Use Only. Not for use in diagnostic or therapeutic procedures.
相關產品
靶點詳情
-
功能:Mediates NK cell adhesion and triggers NK cell effector functions. Binds two different NK cell receptors: CD96 and CD226. These interactions accumulates at the cell-cell contact site, leading to the formation of a mature immunological synapse between NK cell and target cell. This may trigger adhesion and secretion of lytic granules and IFN-gamma and activate cytotoxicity of activated NK cells. May also promote NK cell-target cell modular exchange, and PVR transfer to the NK cell. This transfer is more important in some tumor cells expressing a lot of PVR, and may trigger fratricide NK cell activation, providing tumors with a mechanism of immunoevasion. Plays a role in mediating tumor cell invasion and migration.; (Microbial infection) Acts as a receptor for poliovirus. May play a role in axonal transport of poliovirus, by targeting virion-PVR-containing endocytic vesicles to the microtubular network through interaction with DYNLT1. This interaction would drive the virus-containing vesicle to the axonal retrograde transport.; (Microbial infection) Acts as a receptor for Pseudorabies virus.; (Microbial infection) Is prevented to reach cell surface upon infection by Human cytomegalovirus /HHV-5, presumably to escape immune recognition of infected cell by NK cells.
-
基因功能參考文獻:
- These findings highlight the importance of the TIGIT/CD226/PVR axis as an immune checkpoint barrier that could hinder future "cure" strategies requiring potent HIV-specific CD8(+) T cells PMID: 28084312
- Study investigated the more detailed mechanism for this cis-interaction of Necl-5 with the PDGF receptor beta. Necl-5 contains three Ig-like domains and the PDGF receptor beta contains five Ig-like domains at their extracellular regions; showed that the third Ig-like domain of Necl-5 cis-interacted with the fifth Ig-like domain of the PDGF receptor beta. PMID: 29431243
- Studied association of poliovirus receptor (PVR/CD155) mutation and cleft lip and cleft palate. Validated previous findings that PVR/CD155 markers are associated with cleft lip and palate. PMID: 29381645
- The authors demonstrate that HIV and specifically Nef and/or Vpu do not modulate CD155 on infected primary T cells and both CD155 and NKG2D ligands synergize as a natural killer cell receptor to trigger natural killer cell lysis of the infected cell. PMID: 27296670
- Data show that gastric cancer cells inhibit T-cell metabolism through CD155/TIGIT signaling. PMID: 28883004
- Studies showed that CD155 was frequently overexpressed in human malignant tumors. Its overexpression promotes tumor cell invasion and migration, and is associated with tumor progression. [review] PMID: 28730595
- soluble CD226 elevated in sera of CTCL patients would be important for tumor immunity by interacting with CD155 on tumor cells. PMID: 28395975
- data reveal that MICA and PVR are directly regulated by human cytomegalovirus immediate early proteins, and this may be crucial for the onset of an early host antiviral response PMID: 27733551
- The SNP detection assay was successfully developed for identification of Ala67Thr polymorphism in human PVR/CD155 gene. The SNP assay will be useful for large scale screening of DNA samples. PMID: 27834324
- sCD155 levels were significantly decreased after surgical resection of cancers. Thus, sCD155 level in serum may be potentially useful as a biomarker for cancer development and progression PMID: 27049654
- implying that TIGIT exerts immunosuppressive effects by competing with DNAM-1 for the same ligand, CD155 PMID: 26842126
- The present study provides evidence that regulation of the PVR/CD155 DNAM-1 ligand expression by nitric oxide may represent an additional immune-mediated mechanism and supports the anti-myeloma activity of nitric oxide donors. PMID: 25609078
- Our findings suggest that loss of CD155 expression may play an important role in the immune escape of HCC cells and thus CD155 may serve as a prognostic marker as well as a potential therapeutic target for HCC. PMID: 25320021
- CD155 may play a critical role through both immunological and non-immuno logical mechanisms in pancreatic cancer and may be a therapeutic target for this intractable malignancy. PMID: 25862891
- CD155 (PVR/Necl5) mediates a costimulatory signal in CD4+ T cells and regulates allergic inflammation. PMID: 25972481
- The cell-surface receptor (Pvr) catalyzes a large structural change in the poliovirus that exposes membrane-binding protein chains. PMID: 25631086
- In granulosa cells, there are significant changes in expression during follicular maturation. PMID: 24828608
- UPR decreases CD226 ligand CD155 expression and sensitivity to NK cell-mediated cytotoxicity in hepatoma cells. PMID: 25209846
- Ala residues 10, 14 and 18 in the TM domain of Vpu are required for CD155 downregulation. PMID: 25113908
- TIGIT/PVR ligation signaling mediates suppression of IFN-gamma production via the NF-kappaB pathway. PMID: 24817116
- UL141 can inhibit cell-surface expression of both natural killer (NK) cell-activating ligand CD155 as well as TRAIL death receptors (TRAIL-R1 and TRAIL-R2). PMID: 24598754
- Vpr upregulates PVR during Hiv-1 infection by activating ATR kinase that triggers the DNA damage rsponse pathway and G2 arrest. PMID: 24045107
- The CD226/CD155 interaction regulates the proinflammatory (Th1/Th17)/anti-inflammatory (Th2) balance in humans. PMID: 23980210
- PVR resides in the recently identified lateral border recycling compartment, similar to PECAM and CD99. PMID: 23333754
- findings suggest Necl-5 expression in lung cancer cells is crucial for their invasiveness in the cancer-stromal interaction PMID: 23276719
- The concordant computational and experimental data of the present study indicate that the extent of NECL-5 expression correlates with melanoma progression. PMID: 22929570
- we demonstrated the expression of both CD155 mRNA and protein in bone and soft tissue sarcoma cell lines PMID: 22692919
- Expression of PVR in B-ALL cells is modulated by epigenetic mechanisms. PMID: 22169283
- This investigation has enhanced understanding of cell invasion and confirmed CD44 to play a more significant role in this biological process than CD155. PMID: 22363471
- the PVR downmodulation by Nef and Vpu is a strategy evolved by HIV-1 to prevent NK cell-mediated lysis of infected cells. PMID: 22301152
- Data show that a high expression of CD112 and CD155 (DNAM-1 ligands) on leukemic blasts. PMID: 21383766
- The host TICAM-1 pathway, particularly in macrophages, serves as a source of type I interferon induction that protects poliovirus (PV) receptor-bearing transgenic mice from PV infection and paralytic death. PMID: 21998457
- CD155 is an IFNgamma-inducible immune regulatory protein on the surface of human endothelial cells that attenuates the acquisition of effector functions in CD8 T cells. PMID: 21330602
- Necl-5 plays a role in mediating tumor cell invasion and that the overexpression of Necl-5 in cancer cells has clinical significance for prognostic evaluation of patients with primary pulmonary adenocarcinoma. PMID: 20331633
- We propose that the cytoplasmic domain may target CD155-containing endocytic vesicles to the microtubular network PMID: 11751937
- activation of expression of sonic hedgehog protein PMID: 11983699
- Data show that both PVR and Nectin-2 represent specific ligands for the DNAM-1 triggering receptor. PMID: 12913096
- CD155 may have an important role in cellular function PMID: 12943679
- These data indicate that Tage4 represents the functional orthologue of CD155 in mouse. PMID: 14652024
- that DNAM-1 regulates monocyte extravasation via its interaction with CD226 expressed at endothelial junctions on normal cells. PMID: 15136589
- These results suggest that CD155alpha plays a role in the regulation of cell adhesion and cell motility. PMID: 15194502
- cytoplasmic domain of PVR directly interacts with Tctex-1 and plays an important role in retrograde transport of poliovirus-containing vesicles along microtubules in vivo PMID: 15194795
- Upregulation of the molecular target CD155 renders explant cultures of high-grade malignant gliomas highly susceptible to a prototype oncolytic poliovirus recombinant. PMID: 15279713
- Analysis of the ligands for triggering NK receptors revealed the consistent expression of cd155 and cd112 in myeloid leukemias, and less frequent expression in lymphoblastic leukemias PMID: 15536144
- Evasion of NK cell killing was mediated by human cytomegalovirus UL141 blocking surface expression of CD155 PMID: 15640804
- Necl-5 has a critical role in integrin alphavbeta3 clustering and focal complex formation PMID: 17446174
- Results describe the establishment of a poliovirus oral infection system in human poliovirus receptor-expressing transgenic mice that are deficient in alpha/beta interferon receptor. PMID: 17507470
- no statistically significant association between this marker allele and non-syndromic clefting PMID: 17534374
- CD155, at least in part, enhances the proliferation of ras-mutated cells PMID: 17893876
- crystal structure of C155 D1D2 has been determined to 3.5-A resolution and fitted into approximately 8.5-A resolution cryoelectron microscopy reconstructions of the virus-receptor complexes for the 3 PV serotypes PMID: 19011098
顯示更多
收起更多
-
亞細胞定位:[Isoform Alpha]: Cell membrane; Single-pass type I membrane protein.; [Isoform Delta]: Cell membrane; Single-pass type I membrane protein.; [Isoform Beta]: Secreted.; [Isoform Gamma]: Secreted.
-
蛋白家族:Nectin family
-
數據庫鏈接:
Most popular with customers
-
-
YWHAB Recombinant Monoclonal Antibody
Applications: ELISA, WB, IHC, IF, FC
Species Reactivity: Human, Mouse, Rat
-
Phospho-YAP1 (S127) Recombinant Monoclonal Antibody
Applications: ELISA, WB, IHC
Species Reactivity: Human
-
-
-
-
-















