PUS10 Antibody
-
中文名稱:PUS10兔多克隆抗體
-
貨號:CSB-PA565844
-
規格:¥1100
-
圖片:
-
The image on the left is immunohistochemistry of paraffin-embedded Human brain tissue using CSB-PA565844(PUS10 Antibody) at dilution 1/40, on the right is treated with synthetic peptide. (Original magnification: ×200)
-
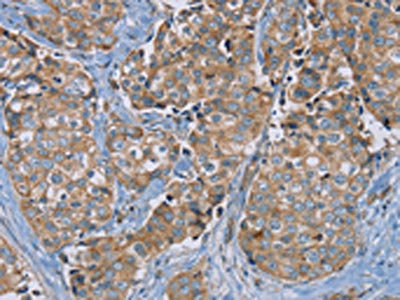
The image on the left is immunohistochemistry of paraffin-embedded Human breast cancer tissue using CSB-PA565844(PUS10 Antibody) at dilution 1/40, on the right is treated with synthetic peptide. (Original magnification: ×200)
-
Gel: 8%SDS-PAGE, Lysate: 40 μg, Lane: Mouse intestinum tenue tissue, Primary antibody: CSB-PA565844(PUS10 Antibody) at dilution 1/200, Secondary antibody: Goat anti rabbit IgG at 1/8000 dilution, Exposure time: 3 seconds
-
-
其他:
產品詳情
-
Uniprot No.:
-
基因名:PUS10
-
別名:CCDC139 antibody; Coiled coil domain containing 139 antibody; Coiled coil domain containing protein 139 antibody; Coiled-coil domain-containing protein 139 antibody; DOBI antibody; FLJ32312 antibody; MGC126729 antibody; Pseudouridine synthase 10 antibody; Pseudouridylate synthase 10 antibody; Psi55 synthase antibody; pus10 antibody; PUS10_HUMAN antibody; Putative tRNA pseudouridine synthase Pus10 antibody; tRNA pseudouridine 55 synthase antibody; tRNA pseudouridylate synthase antibody; tRNA uridine isomerase antibody; tRNA-uridine isomerase antibody
-
宿主:Rabbit
-
反應種屬:Human,Mouse
-
免疫原:Synthetic peptide of Human PUS10
-
免疫原種屬:Homo sapiens (Human)
-
標記方式:Non-conjugated
-
抗體亞型:IgG
-
純化方式:Antigen affinity purification
-
濃度:It differs from different batches. Please contact us to confirm it.
-
保存緩沖液:-20°C, pH7.4 PBS, 0.05% NaN3, 40% Glycerol
-
產品提供形式:Liquid
-
應用范圍:ELISA,WB,IHC
-
推薦稀釋比:
Application Recommended Dilution ELISA 1:1000-1:2000 WB 1:200-1:1000 IHC 1:50-1:200 -
Protocols:
-
儲存條件:Upon receipt, store at -20°C or -80°C. Avoid repeated freeze.
-
貨期:Basically, we can dispatch the products out in 1-3 working days after receiving your orders. Delivery time maybe differs from different purchasing way or location, please kindly consult your local distributors for specific delivery time.
-
用途:For Research Use Only. Not for use in diagnostic or therapeutic procedures.
相關產品
靶點詳情
-
功能:Protein with different functions depending on its subcellular location: involved in miRNA processing in the nucleus and acts as a tRNA pseudouridylate synthase in the cytoplasm. In the cytoplasm, acts as a pseudouridylate synthase by catalyzing synthesis of pseudouridine(54) and pseudouridine(55) from uracil-54 and uracil-55, respectively, in the psi GC loop of a subset of tRNAs. tRNA pseudouridylate synthase activity is enhanced by the presence of 1-methyladenosine at position 53-61 of tRNAs. In the nucleus, promotes primary microRNAs (pri-miRNAs) processing independently of its RNA pseudouridylate synthase activity. Binds pri-miRNAs. Modulator of TRAIL/TNFSF10-induced cell death via activation of procaspase-8 and BID cleavage. Required for the progression of the apoptotic signal through intrinsic mitochondrial cell death.
-
基因功能參考文獻:
- The caspase-3-mediated movement of PUS10 and the release of mitochondrial contents enhancing caspase-3 activity creates a feedback amplification loop for caspase-3 action. Therefore, any defect in the movement or interactions of PUS10 would reduce the TRAIL sensitivity of tumor cells. PMID: 28981101
- crystal structure of Pus10 (previously denoted as FLJ32312) at 2.0 A resolution and modeling studies describe protein domains and active sites PMID: 17900615
- These data suggest that the cleaved DOBI may acquire a new function, possibly by cooperating with tBid in the mitochondrial event of cell death caused by TRAIL. PMID: 19712588
-
亞細胞定位:Nucleus. Cytoplasm. Mitochondrion.
-
蛋白家族:Pseudouridine synthase Pus10 family
-
數據庫鏈接:
Most popular with customers
-
YWHAB Recombinant Monoclonal Antibody
Applications: ELISA, WB, IHC, IF, FC
Species Reactivity: Human, Mouse, Rat
-
Phospho-YAP1 (S127) Recombinant Monoclonal Antibody
Applications: ELISA, WB, IHC
Species Reactivity: Human
-
-
-
-
-
-
VCP Recombinant Monoclonal Antibody
Applications: ELISA, WB, IHC, IF, IP
Species Reactivity: Human, Rat















