PTPN7 Antibody
-
中文名稱:PTPN7兔多克隆抗體
-
貨號:CSB-PA019044ESR1HU
-
規格:¥440
-
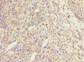
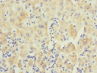
圖片:
-
其他:
產品詳情
-
產品名稱:Rabbit anti-Homo sapiens (Human) PTPN7 Polyclonal antibody
-
Uniprot No.:
-
基因名:
-
別名:BPTP 4 antibody; BPTP4 antibody; Dual specificity phosphatase 1 antibody; Hematopoietic protein tyrosine phosphatase antibody; Hematopoietic protein-tyrosine phosphatase antibody; HEPTP antibody; LC PTP antibody; LCPTP antibody; LPTP antibody; Protein tyrosine phoshatase non receptor type stress induced antibody; Protein tyrosine phoshatase nonreceptor type stress induced antibody; Protein tyrosine phosphatase LC PTP antibody; Protein tyrosine phosphatase non receptor type 7 antibody; Protein-tyrosine phosphatase LC-PTP antibody; PTN7_HUMAN antibody; PTPN 7 antibody; Ptpn7 antibody; PTPNI antibody; Tyrosine protein phosphatase non receptor type 7 antibody; Tyrosine-protein phosphatase non-receptor type 7 antibody
-
宿主:Rabbit
-
反應種屬:Human
-
免疫原:Recombinant Human Tyrosine-protein phosphatase non-receptor type 7 protein (1-190AA)
-
免疫原種屬:Homo sapiens (Human)
-
標記方式:Non-conjugated
-
克隆類型:Polyclonal
-
抗體亞型:IgG
-
純化方式:Antigen Affinity Purified
-
濃度:It differs from different batches. Please contact us to confirm it.
-
保存緩沖液:PBS with 0.02% sodium azide, 50% glycerol, pH7.3.
-
產品提供形式:Liquid
-
應用范圍:ELISA, IHC
-
推薦稀釋比:
Application Recommended Dilution IHC 1:20-1:200 -
Protocols:
-
儲存條件:Upon receipt, store at -20°C or -80°C. Avoid repeated freeze.
-
貨期:Basically, we can dispatch the products out in 1-3 working days after receiving your orders. Delivery time maybe differs from different purchasing way or location, please kindly consult your local distributors for specific delivery time.
-
用途:For Research Use Only. Not for use in diagnostic or therapeutic procedures.
相關產品
靶點詳情
-
功能:Protein phosphatase that acts preferentially on tyrosine-phosphorylated MAPK1. Plays a role in the regulation of T and B-lymphocyte development and signal transduction.
-
基因功能參考文獻:
- structure of the protein tyrosine phosphatase catalytic domain of HePTP, residues 44-339 PMID: 16226275
- determined high-resolution structures of all of the human family members of Mitogen-Activated Protein Kinase-specific protein tyrosine phosphatases PMID: 16441242
- Interactions at the active site between KIM (kinase interaction motif)-phosphatases and their substrates are predominantly nonspecific, with the majority of the KIM-phosphatase residues coordinating the peptide backbone rather than residue side chains. PMID: 19053285
-
亞細胞定位:Cytoplasm. Cytoplasm, cytoskeleton.
-
蛋白家族:Protein-tyrosine phosphatase family, Non-receptor class subfamily
-
組織特異性:Expressed exclusively in thymus and spleen.
-
數據庫鏈接:
Most popular with customers
-
YWHAB Recombinant Monoclonal Antibody
Applications: ELISA, WB, IHC, IF, FC
Species Reactivity: Human, Mouse, Rat
-
Phospho-YAP1 (S127) Recombinant Monoclonal Antibody
Applications: ELISA, WB, IHC
Species Reactivity: Human
-
-
-
-
-
-















