PTPN3 Antibody
-
中文名稱:PTPN3兔多克隆抗體
-
貨號:CSB-PA019040LA01HU
-
規格:¥440
-
圖片:
-
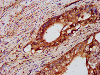
IHC image of CSB-PA019040LA01HU diluted at 1:600 and staining in paraffin-embedded human colon cancer performed on a Leica BondTM system. After dewaxing and hydration, antigen retrieval was mediated by high pressure in a citrate buffer (pH 6.0). Section was blocked with 10% normal goat serum 30min at RT. Then primary antibody (1% BSA) was incubated at 4°C overnight. The primary is detected by a biotinylated secondary antibody and visualized using an HRP conjugated SP system.
-
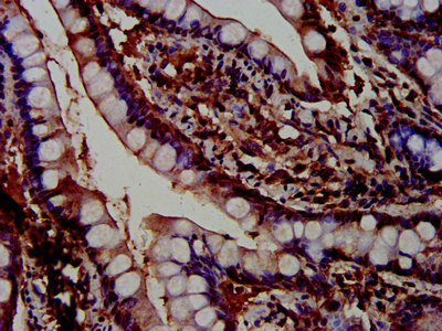
IHC image of CSB-PA019040LA01HU diluted at 1:600 and staining in paraffin-embedded human small intestine tissue performed on a Leica BondTM system. After dewaxing and hydration, antigen retrieval was mediated by high pressure in a citrate buffer (pH 6.0). Section was blocked with 10% normal goat serum 30min at RT. Then primary antibody (1% BSA) was incubated at 4°C overnight. The primary is detected by a biotinylated secondary antibody and visualized using an HRP conjugated SP system.
-
Immunofluorescence staining of A549 cells with CSB-PA019040LA01HU at 1:200, counter-stained with DAPI. The cells were fixed in 4% formaldehyde, permeabilized using 0.2% Triton X-100 and blocked in 10% normal Goat Serum. The cells were then incubated with the antibody overnight at 4°C. The secondary antibody was Alexa Fluor 488-congugated AffiniPure Goat Anti-Rabbit IgG(H+L).
-
-
其他:
產品詳情
-
產品名稱:Rabbit anti-Homo sapiens (Human) PTPN3 Polyclonal antibody
-
Uniprot No.:
-
基因名:PTPN3
-
別名:cytoskeletal-associated protein tyrosine phosphatase antibody; protein tyrosine phosphatase H1 antibody; protein tyrosine phosphatase non-receptor type 3 antibody; Protein-tyrosine phosphatase H1 antibody; PTN3_HUMAN antibody; PTP-H1 antibody; PTPH1 antibody; PTPN3 antibody; Tyrosine-protein phosphatase non-receptor type 3 antibody
-
宿主:Rabbit
-
反應種屬:Human
-
免疫原:Recombinant Human Tyrosine-protein phosphatase non-receptor type 3 protein (365-505AA)
-
免疫原種屬:Homo sapiens (Human)
-
標記方式:Non-conjugated
本頁面中的產品,PTPN3 Antibody (CSB-PA019040LA01HU),的標記方式是Non-conjugated。對于PTPN3 Antibody,我們還提供其他標記。見下表:
-
克隆類型:Polyclonal
-
抗體亞型:IgG
-
純化方式:>95%, Protein G purified
-
濃度:It differs from different batches. Please contact us to confirm it.
-
保存緩沖液:Preservative: 0.03% Proclin 300
Constituents: 50% Glycerol, 0.01M PBS, pH 7.4 -
產品提供形式:Liquid
-
應用范圍:ELISA, IHC, IF
-
推薦稀釋比:
Application Recommended Dilution IHC 1:500-1:1000 IF 1:200-1:500 -
Protocols:
-
儲存條件:Upon receipt, store at -20°C or -80°C. Avoid repeated freeze.
-
貨期:Basically, we can dispatch the products out in 1-3 working days after receiving your orders. Delivery time maybe differs from different purchasing way or location, please kindly consult your local distributors for specific delivery time.
-
用途:For Research Use Only. Not for use in diagnostic or therapeutic procedures.
相關產品
靶點詳情
-
功能:May act at junctions between the membrane and the cytoskeleton. Possesses tyrosine phosphatase activity.
-
基因功能參考文獻:
- High expression of PTPN3 was significantly associated with unfavorable prognosis of GBM. Moreover, in GBM cell lines, PTPN3 promoted cell proliferation and invasion, and the PTP common inhibitor pervanadate suppressed GBM proliferation and invasion. PMID: 30348936
- PTPN3 promotes tumorigenicity, stemness and drug resistance in ovarian cancer. PMID: 27833130
- Results indicate that protein tyrosine phosphatase non-receptor type 3 (PTPN3) may act as a tumor suppressor in lung cancer through its modulation of epidermal growth factor receptor (EGFR) signaling. PMID: 25263444
- analysis of how allosteric regulation of p38gamma and PTPN3 involves a PDZ domain-modulated complex formation PMID: 25314968
- These studies thus identified PTPH1 as a novel ER phosphatase and further demonstrate a therapeutic potential of enhancing breast cancer sensitivity to antiestrogens through dephosphorylating ER by PTPH1. PMID: 24227889
- Activating mutations in and high expression levels of PTPN3 were associated with tumor recurrence in cholangiocarcinoma. PMID: 24503127
- p38gamma Mitogen-activated protein kinase signals through phosphorylating its phosphatase PTPH1 in regulating ras protein oncogenesis and stress response. PMID: 22730326
- The fusion transcript of ALK and PTPN3 identified resulted from translocation of a part of ALK gene into the third intron of PTPN3. Analysis of the transcript sequence indicates that no protein with any enzymatic activity is produced. PMID: 22334442
- PTPH1 stimulated breast cancer growth through regulating vitamin D receptor expression. PTPH1 was overexpressed in primary breast cancer and levels of its protein expression positively correlated with clinical metastasis. PMID: 21119599
- PTPH1 plays a role in Ras-dependent malignant growth by a mechanism depending on its p38gamma-binding activity. Ras increases p38gamma and PTPH1 expression and there is a coupling of increased p38gamma and PTPH1 protein expression in colon cancer. PMID: 20332238
- regulates TACE (tnf-alpha convertase} PMID: 12207026
- first reported demonstration that protein tyrosine phosphatase H1(PTPH1) is capable of interacting with and dephosphorylating T cell receptor zeta subunit PMID: 14672952
- PTPH1 binds to the PDZ-domain binding motif of the cardiac voltage-gated sodium channel Na(v)1 and regulates the activity of Na(v)1. PMID: 16930557
- Degradation of PTPN3 by HPV-16 E6 requires E6AP, the proteasome, and an interaction between the carboxy terminus of E6 and the PDZ domain of PTPN3. PMID: 17166906
- phosphatase activity and FERM domain of PTPN3 are essential for its suppression of HBV gene expression. PMID: 17588219
- PTP-H1 has a role in modulating GHR signaling and systemic growth through insulin-like growth factor 1 secretion PMID: 17921143
- Data suggest that reducing the level of PTPH1 may contribute to the oncogenic activity of high-risk genital E6 proteins. PMID: 17947517
顯示更多
收起更多
-
亞細胞定位:Cell membrane; Peripheral membrane protein; Cytoplasmic side. Cytoplasm, cytoskeleton.
-
蛋白家族:Protein-tyrosine phosphatase family, Non-receptor class subfamily
-
數據庫鏈接:
Most popular with customers
-
-
YWHAB Recombinant Monoclonal Antibody
Applications: ELISA, WB, IHC, IF, FC
Species Reactivity: Human, Mouse, Rat
-
Phospho-YAP1 (S127) Recombinant Monoclonal Antibody
Applications: ELISA, WB, IHC
Species Reactivity: Human
-
-
-
-
-















