PTPN12 Antibody
-
中文名稱:PTPN12兔多克隆抗體
-
貨號:CSB-PA019026LA01HU
-
規格:¥440
-
圖片:
-
Western Blot
Positive WB detected in: Hela whole cell lysate, NIH/3T3 whole cell lysate, Rat kidney tissue
All lanes: PTPN12 antibody at 7.4µg/ml
Secondary
Goat polyclonal to rabbit IgG at 1/50000 dilution
Predicted band size: 89, 73, 75 kDa
Observed band size: 89 kDa -
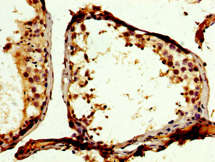
IHC image of CSB-PA019026LA01HU diluted at 1:200 and staining in paraffin-embedded human testis tissue performed on a Leica BondTM system. After dewaxing and hydration, antigen retrieval was mediated by high pressure in a citrate buffer (pH 6.0). Section was blocked with 10% normal goat serum 30min at RT. Then primary antibody (1% BSA) was incubated at 4°C overnight. The primary is detected by a biotinylated secondary antibody and visualized using an HRP conjugated SP system.
-
-
其他:
產品詳情
-
產品名稱:Rabbit anti-Homo sapiens (Human) PTPN12 Polyclonal antibody
-
Uniprot No.:
-
基因名:PTPN12
-
別名:Protein tyrosine phosphatase G1 antibody; Protein tyrosine phosphatase non receptor type 12 antibody; Protein-tyrosine phosphatase G1 antibody; PTN12_HUMAN antibody; PTP PEST antibody; PTP-PEST antibody; PTPG1 antibody; Ptpn12 antibody; Tyrosine protein phosphatase non receptor type 12 antibody; Tyrosine-protein phosphatase non-receptor type 12 antibody
-
宿主:Rabbit
-
反應種屬:Human, Mouse, Rat
-
免疫原:Recombinant Human Tyrosine-protein phosphatase non-receptor type 12 protein (539-714AA)
-
免疫原種屬:Homo sapiens (Human)
-
標記方式:Non-conjugated
本頁面中的產品,PTPN12 Antibody (CSB-PA019026LA01HU),的標記方式是Non-conjugated。對于PTPN12 Antibody,我們還提供其他標記。見下表:
-
克隆類型:Polyclonal
-
抗體亞型:IgG
-
純化方式:>95%, Protein G purified
-
濃度:It differs from different batches. Please contact us to confirm it.
-
保存緩沖液:Preservative: 0.03% Proclin 300
Constituents: 50% Glycerol, 0.01M PBS, pH 7.4 -
產品提供形式:Liquid
-
應用范圍:ELISA, WB, IHC
-
推薦稀釋比:
Application Recommended Dilution WB 1:500-1:5000 IHC 1:200-1:500 -
Protocols:
-
儲存條件:Upon receipt, store at -20°C or -80°C. Avoid repeated freeze.
-
貨期:Basically, we can dispatch the products out in 1-3 working days after receiving your orders. Delivery time maybe differs from different purchasing way or location, please kindly consult your local distributors for specific delivery time.
-
用途:For Research Use Only. Not for use in diagnostic or therapeutic procedures.
相關產品
靶點詳情
-
功能:Dephosphorylates a range of proteins, and thereby regulates cellular signaling cascades. Dephosphorylates cellular tyrosine kinases, such as ERBB2 and PTK2B/PYK2, and thereby regulates signaling via ERBB2 and PTK2B/PYK2. Selectively dephosphorylates ERBB2 phosphorylated at 'Tyr-1112', 'Tyr-1196', and/or 'Tyr-1248'.
-
基因功能參考文獻:
- identified a new phosphorylation-based substrate recognition mechanism of PTPN12 by CDK2, which orchestrated signaling crosstalk between the oncogenic CDK2 and HER2 pathways PMID: 28842430
- PTPN12 plasmid transfection increased PTPN12 mRNA and protein expressions, suppressed cell proliferation and migration, reduced EGFR level, and enhanced caspase 3 activity compared with control and empty plasmid groups. PMID: 29634414
- PTPN12, PTPRN and PTPN18 were independent prognostic factors in Hepatocellular Carcinoma. PMID: 29742497
- Here, solved is a crystal structure of the native PTPN12 catalytic domain with the catalytic cysteine (residue 231) in dual conformation (phosphorylated and unphosphorylated). PMID: 29278368
- this study, with a relative large population, showed that PTPN12 eQTL SNP may interact with HBV mutation on HCC risk. PMID: 27075395
- MyoVa-Ca(2+) channel interactions are required for proper long-range axon growth in developing spinal cord in vivo. PMID: 27134172
- PTP-PEST regulates EphA3 activation both by affecting cytoskeletal remodelling and through its direct action as a PTP controlling EphA3 phosphorylation. PMID: 26644181
- Study suggests that PTPN12 expression is a valuable prognostic biomarker for non-small cell lung cancer. PMID: 25868976
- PTPN12 expression decreases in human renal cell carcinoma PMID: 26537073
- The decrease expression of PTPN12 might be important in conferring a more aggressive behavior in NPC. Thus, PTPN12 expression may be used as a novel independent prognostic biomarker for patients with NPC. PMID: 25663493
- PTPN12 is potentially a methylation-silenced TSG for breast cancer that may play an important role in breast carcinogenesis and could potentially serve as an independent prognostic factor for invasive breast cancer patients. PMID: 23044628
- Decreased expression of PTPN12 correlates with tumor recurrence and poor survival of patients with hepatocellular carcinoma. PMID: 24475046
- these data suggest that PTP-PEST affects epithelial cell motility by controlling the distribution and phosphorylation of p120 and its availability to control Rho GTPase activity. PMID: 24284071
- The involvement of PTPN12 in the antioxidant response of breast cancer cells suggests that PTPN12 may represent a novel therapeutic target for this disease PMID: 23435421
- Overexpression of PTPN12 inhibited proliferation and migration in OSCC cells. PMID: 23733313
- MRNAs of PTPN12, MSH6, and ZEB1 orthologous genes from different animal species have binding sites for hsa-miR-1279 which consist of homologous oligonucleotides encoding similar human oligopeptides PMID: 23957009
- High expression of PTPN12 is associated with favorable disease free survival in esophageal squamous cell carcinoma patients. PMID: 22429674
- activated Ras induces extracellular signal-regulated kinase 1 and 2-dependent phosphorylation of PTP-PEST at S571, which recruits PIN1 to bind to PTP-PEST PMID: 21876001
- Using a genetic screen, study identifies the PTPN12 tyrosine phosphatase as a tumor suppressor in PMID: 21376233
- PTP-PEST functions as a suppressor of epithelial cell motility by controlling Rho GTPase activity and the assembly of adherens junctions. PMID: 20519451
- PTP-PEST actively contributes to the cellular apoptotic response and reveal the importance of caspases as regulators of PTPs in apoptosis. PMID: 17130234
- These data demonstrate that LPXN forms a signaling complex with Pyk2, c-Src, and PTP-PEST to regulate migration of prostate cancer cells. PMID: 17329398
- No association was detected between individual PTPN12 tag SNPs and GD but preliminary evidence suggests PTPN12 confers an increased risk of mild/moderate ophthalmopathy (NOSPECS classes 2-4) and that PTPN12 interacts with the TSHR. PMID: 17608818
顯示更多
收起更多
-
亞細胞定位:Cytoplasm. Cell junction, focal adhesion. Cell projection, podosome.
-
蛋白家族:Protein-tyrosine phosphatase family, Non-receptor class 4 subfamily
-
數據庫鏈接:
Most popular with customers
-
YWHAB Recombinant Monoclonal Antibody
Applications: ELISA, WB, IHC, IF, FC
Species Reactivity: Human, Mouse, Rat
-
Phospho-YAP1 (S127) Recombinant Monoclonal Antibody
Applications: ELISA, WB, IHC
Species Reactivity: Human
-
-
-
-
-
-















