PTPMT1 Antibody
-
中文名稱:PTPMT1兔多克隆抗體
-
貨號:CSB-PA819889LA01HU
-
規格:¥440
-
圖片:
-
Western Blot
Positive WB detected in: Rat heart tisue, Rat kidney tissue
All lanes: PTPMT1 antibody at 3µg/ml
Secondary
Goat polyclonal to rabbit IgG at 1/50000 dilution
Predicted band size: 23, 16, 17 kDa
Observed band size: 23 kDa -
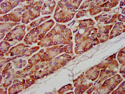
IHC image of CSB-PA819889LA01HU diluted at 1:1200 and staining in paraffin-embedded human pancreatic tissue performed on a Leica BondTM system. After dewaxing and hydration, antigen retrieval was mediated by high pressure in a citrate buffer (pH 6.0). Section was blocked with 10% normal goat serum 30min at RT. Then primary antibody (1% BSA) was incubated at 4°C overnight. The primary is detected by a biotinylated secondary antibody and visualized using an HRP conjugated SP system.
-
-
其他:
產品詳情
-
產品名稱:Rabbit anti-Homo sapiens (Human) PTPMT1 Polyclonal antibody
-
Uniprot No.:
-
基因名:PTPMT1
-
別名:DUSP23 antibody; FLJ46081 antibody; MOSP antibody; NB4 apoptosis/differentiation related protein antibody; Phosphatidylglycerophosphatase and protein-tyrosine phosphatase 1 antibody; Phosphoinositide lipid phosphatase antibody; PLIP antibody; PNAS 129 antibody; protein tyrosine phosphatase mitochondrial 1 antibody; Protein-tyrosine phosphatase mitochondrial 1 antibody; pten like phosphatase antibody; PTEN-like phosphatase antibody; PTPM1_HUMAN antibody; Ptpmt1 antibody
-
宿主:Rabbit
-
反應種屬:Human, Rat
-
免疫原:Recombinant Human Phosphatidylglycerophosphatase and protein-tyrosine phosphatase 1 protein (28-201AA)
-
免疫原種屬:Homo sapiens (Human)
-
標記方式:Non-conjugated
本頁面中的產品,PTPMT1 Antibody (CSB-PA819889LA01HU),的標記方式是Non-conjugated。對于PTPMT1 Antibody,我們還提供其他標記。見下表:
-
克隆類型:Polyclonal
-
抗體亞型:IgG
-
純化方式:>95%, Protein G purified
-
濃度:It differs from different batches. Please contact us to confirm it.
-
保存緩沖液:Preservative: 0.03% Proclin 300
Constituents: 50% Glycerol, 0.01M PBS, PH 7.4 -
產品提供形式:Liquid
-
應用范圍:ELISA, WB, IHC
-
推薦稀釋比:
Application Recommended Dilution WB 1:500-1:5000 IHC 1:1000-1:2000 -
Protocols:
-
儲存條件:Upon receipt, store at -20°C or -80°C. Avoid repeated freeze.
-
貨期:Basically, we can dispatch the products out in 1-3 working days after receiving your orders. Delivery time maybe differs from different purchasing way or location, please kindly consult your local distributors for specific delivery time.
-
用途:For Research Use Only. Not for use in diagnostic or therapeutic procedures.
相關產品
靶點詳情
-
功能:Lipid phosphatase which dephosphorylates phosphatidylglycerophosphate (PGP) to phosphatidylglycerol (PG). PGP is an essential intermediate in the biosynthetic pathway of cardiolipin, a mitochondrial-specific phospholipid regulating the membrane integrity and activities of the organelle. Has also been shown to display phosphatase activity toward phosphoprotein substrates, specifically mediates dephosphorylation of mitochondrial proteins, thereby playing an essential role in ATP production. Has probably a preference for proteins phosphorylated on Ser and/or Thr residues compared to proteins phosphorylated on Tyr residues. Probably involved in regulation of insulin secretion in pancreatic beta cells. May prevent intrinsic apoptosis, probably by regulating mitochondrial membrane integrity.
-
基因功能參考文獻:
- A key role for HIF-2alpha-induced Ptpmt1 up-regulation in proliferation, survival and glucose metabolism of erythroleukemia cells. PMID: 26898802
- our data support a model in which MK-STYX controls apoptosis by negatively regulating PTPMT1. PMID: 24709986
- Our data suggest that inhibition of PTPMT1 causes a metabolic crisis in cancer cells that induces cell death, and may be a mechanism by which cancer cells can be sensitized to currently available therapies. PMID: 23326511
-
亞細胞定位:Mitochondrion inner membrane; Peripheral membrane protein; Matrix side.
-
蛋白家族:Protein-tyrosine phosphatase family, Non-receptor class dual specificity subfamily
-
數據庫鏈接:
Most popular with customers
-
-
YWHAB Recombinant Monoclonal Antibody
Applications: ELISA, WB, IHC, IF, FC
Species Reactivity: Human, Mouse, Rat
-
Phospho-YAP1 (S127) Recombinant Monoclonal Antibody
Applications: ELISA, WB, IHC
Species Reactivity: Human
-
-
-
-
-















