PTP4A2 Antibody
-
中文名稱:PTP4A2兔多克隆抗體
-
貨號:CSB-PA613277LA01HU
-
規格:¥440
-
圖片:
-
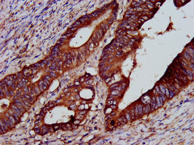
IHC image of CSB-PA613277LA01HU diluted at 1:200 and staining in paraffin-embedded human colon cancer performed on a Leica BondTM system. After dewaxing and hydration, antigen retrieval was mediated by high pressure in a citrate buffer (pH 6.0). Section was blocked with 10% normal goat serum 30min at RT. Then primary antibody (1% BSA) was incubated at 4°C overnight. The primary is detected by a biotinylated secondary antibody and visualized using an HRP conjugated SP system.
-
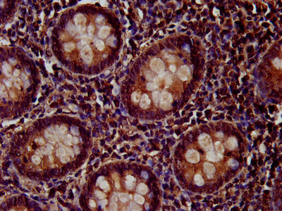
IHC image of CSB-PA613277LA01HU diluted at 1:200 and staining in paraffin-embedded human appendix tissue performed on a Leica BondTM system. After dewaxing and hydration, antigen retrieval was mediated by high pressure in a citrate buffer (pH 6.0). Section was blocked with 10% normal goat serum 30min at RT. Then primary antibody (1% BSA) was incubated at 4°C overnight. The primary is detected by a biotinylated secondary antibody and visualized using an HRP conjugated SP system.
-
Immunofluorescence staining of Hela cells with CSB-PA613277LA01HU at 1:66, counter-stained with DAPI. The cells were fixed in 4% formaldehyde, permeabilized using 0.2% Triton X-100 and blocked in 10% normal Goat Serum. The cells were then incubated with the antibody overnight at 4°C. The secondary antibody was Alexa Fluor 488-congugated AffiniPure Goat Anti-Rabbit IgG(H+L).
-
-
其他:
產品詳情
-
產品名稱:Rabbit anti-Homo sapiens (Human) PTP4A2 Polyclonal antibody
-
Uniprot No.:
-
基因名:PTP4A2
-
別名:PTP4A2 antibody; PRL2 antibody; PTPCAAX2 antibody; BM-008 antibody; Protein tyrosine phosphatase type IVA 2 antibody; EC 3.1.3.48 antibody; HU-PP-1 antibody; OV-1 antibody; PTP(CAAXII) antibody; Protein-tyrosine phosphatase 4a2 antibody; Protein-tyrosine phosphatase of regenerating liver 2 antibody; PRL-2 antibody
-
宿主:Rabbit
-
反應種屬:Human
-
免疫原:Recombinant Human Protein tyrosine phosphatase type IVA 2 protein (1-164AA)
-
免疫原種屬:Homo sapiens (Human)
-
標記方式:Non-conjugated
本頁面中的產品,PTP4A2 Antibody (CSB-PA613277LA01HU),的標記方式是Non-conjugated。對于PTP4A2 Antibody,我們還提供其他標記。見下表:
-
克隆類型:Polyclonal
-
抗體亞型:IgG
-
純化方式:>95%, Protein G purified
-
濃度:It differs from different batches. Please contact us to confirm it.
-
保存緩沖液:Preservative: 0.03% Proclin 300
Constituents: 50% Glycerol, 0.01M PBS, pH 7.4 -
產品提供形式:Liquid
-
應用范圍:ELISA, IHC, IF
-
推薦稀釋比:
Application Recommended Dilution IHC 1:200-1:500 IF 1:50-1:200 -
Protocols:
-
儲存條件:Upon receipt, store at -20°C or -80°C. Avoid repeated freeze.
-
貨期:Basically, we can dispatch the products out in 1-3 working days after receiving your orders. Delivery time maybe differs from different purchasing way or location, please kindly consult your local distributors for specific delivery time.
-
用途:For Research Use Only. Not for use in diagnostic or therapeutic procedures.
相關產品
靶點詳情
-
功能:Protein tyrosine phosphatase which stimulates progression from G1 into S phase during mitosis. Promotes tumors. Inhibits geranylgeranyl transferase type II activity by blocking the association between RABGGTA and RABGGTB.
-
基因功能參考文獻:
- identified a critical role for PRL2 phosphatase in the proliferation and survival of human AML cells. Further, we demonstrated that PRL2 is essential for the leukemogenic potential of AML1-ETO9a in vivo PMID: 28220038
- Our findings highlight the important role of miR-29c in regulating CRC EMT via GSK-3b/b-catenin signaling by targeting GNA13 and PTP4A and provide new insights into the metastatic basis of colorectal cancer PMID: 25193986
- PTP4A2 expression is correlated with overall survival in progestin receptor-positive breast carcinomas. PMID: 23568563
- Results suggest a model in which PRL-2 promotes cell migration and invasion through an ERK1/2-dependent signaling pathway. PMID: 21765462
- PRL-2 plays an important role in lung cancer and can be a biomarker of lung cancer, substituting for the function of other PRLs. PMID: 21993571
- Overexpression of the protein tyrosine phosphatase PRL-2 correlates with breast tumor formation and progression. PMID: 20841483
- Mouse pre-B-cells transfected with human PRL-2 had higher growth responses to Epo or IL-3, shorter cell cycle, less Epo requirement for survival, more cell migration, less cell adhesion, change to an immature cell morphology, & more Bmi-1 expression. PMID: 20226699
- PRL-2 can promote cell adhesion and invasion activity of human hepatocellular carcinoma cells. PMID: 17666324
- PRL-2 mRNA expression was not significantly higher in malignant compared to benign breast tissue. PMID: 16832410
- PRL-2 was expressed heavily in almost every tissue and cell type examined. Widespread expression of PRL-2 in multiple organ systems suggests an important functional role for these enzymes in normal tissue homeostasis. PMID: 16957164
顯示更多
收起更多
-
亞細胞定位:Cell membrane. Early endosome. Cytoplasm.
-
蛋白家族:Protein-tyrosine phosphatase family
-
組織特異性:Ubiquitously expressed, with highest levels in skeletal muscle, heart and thymus. Overexpressed in prostate tumor tissue.
-
數據庫鏈接:
Most popular with customers
-
-
YWHAB Recombinant Monoclonal Antibody
Applications: ELISA, WB, IHC, IF, FC
Species Reactivity: Human, Mouse, Rat
-
Phospho-YAP1 (S127) Recombinant Monoclonal Antibody
Applications: ELISA, WB, IHC
Species Reactivity: Human
-
-
-
-
-















