PTGER2 Antibody
-
中文名稱:PTGER2兔多克隆抗體
-
貨號:CSB-PA928051
-
規格:¥1100
-
圖片:
-
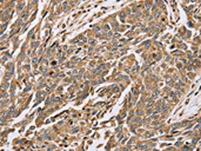
The image on the left is immunohistochemistry of paraffin-embedded Human ovarian cancer tissue using CSB-PA928051(PTGER2 Antibody) at dilution 1/45, on the right is treated with synthetic peptide. (Original magnification: ×200)
-
The image on the left is immunohistochemistry of paraffin-embedded Human lung cancer tissue using CSB-PA928051(PTGER2 Antibody) at dilution 1/45, on the right is treated with synthetic peptide. (Original magnification: ×200)
-
Gel: 10%SDS-PAGE, Lysate: 40 μg, Lane 1-2: Mouse liver tissue, Mouse lung tissue, Primary antibody: CSB-PA928051(PTGER2 Antibody) at dilution 1/200, Secondary antibody: Goat anti rabbit IgG at 1/8000 dilution, Exposure time: 10 seconds
-
-
其他:
產品詳情
-
Uniprot No.:
-
基因名:
-
別名:PTGER2; Prostaglandin E2 receptor EP2 subtype; PGE receptor EP2 subtype; PGE2 receptor EP2 subtype; Prostanoid EP2 receptor
-
宿主:Rabbit
-
反應種屬:Human,Mouse
-
免疫原:Synthetic peptide of Human PTGER2
-
免疫原種屬:Homo sapiens (Human)
-
標記方式:Non-conjugated
-
抗體亞型:IgG
-
純化方式:Antigen affinity purification
-
濃度:It differs from different batches. Please contact us to confirm it.
-
保存緩沖液:-20°C, pH7.4 PBS, 0.05% NaN3, 40% Glycerol
-
產品提供形式:Liquid
-
應用范圍:ELISA,WB,IHC
-
推薦稀釋比:
Application Recommended Dilution ELISA 1:2000-1:5000 WB 1:200-1:1000 IHC 1:50-1:200 -
Protocols:
-
儲存條件:Upon receipt, store at -20°C or -80°C. Avoid repeated freeze.
-
貨期:Basically, we can dispatch the products out in 1-3 working days after receiving your orders. Delivery time maybe differs from different purchasing way or location, please kindly consult your local distributors for specific delivery time.
-
用途:For Research Use Only. Not for use in diagnostic or therapeutic procedures.
相關產品
靶點詳情
-
功能:Receptor for prostaglandin E2 (PGE2). The activity of this receptor is mediated by G(s) proteins that stimulate adenylate cyclase. The subsequent raise in intracellular cAMP is responsible for the relaxing effect of this receptor on smooth muscle.
-
基因功能參考文獻:
- EP receptor levels were enhanced in human PASMCs and in lung sections from PAH patients compared to controls. Thus, EP receptors represent a novel therapeutic target for treprostinil, highlighting key pharmacological differences between prostacyclin mimetics used in pulmonary arterial hypertension. PMID: 30103548
- PGE2 produced by mesenchymal stem cells contributes to maintenance of self-renewal capacity through EP2 in an autocrine manner, and PGE2 secretion is down-regulated by cell-to-cell contact. PMID: 27230257
- this study shows that prostaglandin E2 restrains human Treg cell differentiation via E prostanoid receptor 2-protein kinase A signaling PMID: 28963072
- in breast cancer cells overexpression of S1P3 and its activation by S1P has pro-inflammatory and pro-metastatic potential by inducing COX-2 expression and PGE2 signaling via EP2 and EP4. PMID: 27616330
- EP2 and EP3 receptors are involved in tolerance induction through IL-10 production by tol-DCs. PMID: 28630103
- This is the first report that PGE2 -induced uPAR expression, which stimulates invasiveness of human gastric cancer AGS cells, is mediated by the EP2 receptor-dependent Src/EGFR/JNK1/2, Erk1/2/AP-1, and Src/EGFR/JNK1/2, Erk1/2/NF-kappaB cascades. PMID: 27377703
- These results indicate that the ICL2 region of the EP2 receptor is its potential interaction site with Galphas, and that the aromatic side chain moiety at position 143 is a determinant for the accessibility of the ICL2 to the Galphas protein. PMID: 28336329
- EP2 receptor activation protects against endoplasmic reticulum stress-dependent mitochondrial apoptosis through down-regulation of p53. PMID: 27321910
- that the expression of ERG in prostate cancer is linked to the expression of IL-6 mediated by the prostanoid receptor EP2 PMID: 27012192
- mPGES-1 is downregulated via EGR1 and has a role in caffeine inhibition on PGE2 synthesis of HBx hepatocytes PMID: 26538827
- Altered expression of EP2 in patients with aspirin-exacerbated respiratory disease contributes to deficient induction of IL-1RI, reducing the capacity of IL-1beta to increase COX-2 and mPGES-1 expression, which results in low PGE2 production PMID: 26560040
- Reduced EP2 receptor expression results in resistance to the antiproliferative effects of EP2 signaling in nasal polyp fibroblasts from subjects with AERD and support a role for EP2 signaling in the aberrant growth of nasal polyp tissue. PMID: 26051534
- Intracellular EP2 prostanoid receptor promotes cancer-related phenotypes in PC3 prostate cancer cells. PMID: 25828575
- In adjusted models, gestations were 3.3 days longer (95%CI 0.6, 6.0) for each interquartile range of PTGER2 DNA methylation. PMID: 24827772
- data show a protective role for the PGE2 receptors EP(2) and EP(4) following osmotic changes, through the reduction of human mast cell activity caused by calcium influx impairment and MAP kinase inhibition. PMID: 25329458
- mediates inhibitory effect of Prostaglandin E2 on nasal fibroblast migration PMID: 24980222
- Overall, our results demonstrate that p53 is a negative regulator of aromatase in the breast and its inhibition by PGE2 provides a novel mechanism for aromatase regulation in obesity and breast cancer. PMID: 25634217
- PGE2 markedly enhanced Huh-7 cell invasion and migration ability by upregulating the expression level of Snail protein, and EP2 receptor played an important role in this process. PMID: 24626807
- Overexpression of EP2 was more observed in esophageal squamous cell carcinoma than in the control group. Overexpression of EP2 ESCC tissues might play an important role in carcinogenesis and the progression of ESCC. PMID: 24883443
- EP2/cAMP/protein kinase A pathway mediates the stimulatory effect of PGEs on angiogenesis essential for tissue injury healing via the induction of CREB activity and VEGF expression. PMID: 25059824
- In Th17 cells, RORC repressed EP2 by directly silencing PTGER2 transcription, and knock down of RORC restored EP2 expression in Th17 cells. PMID: 24812667
- The 15-PGDH gene is a MiTF-CX target gene in cervical stromal cells and is down-regulated by PGE2 through EP2 receptors. PMID: 24471568
- human albumin solution infusions may be used to reduce circulating PGE2 levels, attenuating immune suppression and reducing the risk of infection in patients with acutely decompensated cirrhosis or ESLD. PMID: 24728410
- cyclic tensile force activates ERK1/2 and p38 MAP kinase signaling pathways, and induces COX-2 expression, which is responsible for the sequential PGE2 biosynthesis and release, and mediates the increase in BMP-2 expression at the transcriptional level. PMID: 24561081
- Elastogenesis is spatially regulated by PGE-EP4 signaling in the ductus arteriosus. PMID: 24146253
- Although human lung mast cells may express both EP2 and EP4 receptors, the principal mechanism by which PGE2 inhibits mediator release in mast cells is by activating EP2 receptors. PMID: 23786281
- Data suggest that elevated PGE2 (prostaglandin E2) in peri-implantation uterine lumen stimulates conceptus PTGER2 expression, which in turn promotes trophoblast adhesion via integrins and synthesis/secretion of embryonic signal estradiol-17. PMID: 23861370
- Loss of function of EP2- and EP4-mediated PGE2 signaling inhibits adhesion of human endometriotic epithelial and stromal cells through integrin-mediated mechanisms. PMID: 23242524
- PGE(2) coordinates control of IL-23 release in a dose-dependent manner by differential use of EP(2) and EP(4) receptors in LPS-activated MoDCs. PMID: 23337716
- The expression of the EP2 receptor and Bcl-2 was significantly increased. PMID: 23069790
- Targeted interference of EP2/EP4 signal to RalA.GTP may provide benefit to patients diagnosed with advanced kidney cancer. PMID: 22580611
- This review article presents a short overview of experimental approaches aimed at manipulation of signaling via EP2 and EP4 receptors that could have therapeutic utility. PMID: 22706114
- HB9 binds to the prostaglandin E receptor 2 promoter and inhibits intracellular cAMP mobilization in leukemic cells. PMID: 23048027
- Although EP2 methylation status is inversely correlated to expression levels in established breast cancer cell lines, we could not identify that such a correlation existed in tumour-associated stroma cells. PMID: 22929011
- Single nucleotide polymorphism in PTGER2 associated with multiple adenomas. PMID: 22551900
- Indomethacin has a potential antagonizing effect on human EP(2) receptors. PMID: 22329897
- morin inhibited the production of NO and PGE(2). PMID: 22244821
- This study suggested that antipsychotics showing association with PGE2-mediated respons. PMID: 22099390
- EP2 receptor FuEP2/Ex2 may have a role in suppressing endometrial cancer cell growth PMID: 21419570
- PGE2 induces IL-6 in orbital fibroblasts through EP2 receptors and increased gene promoter activity PMID: 21209948
- Data show that inhibition of PGE2 receptors EP2 and EP4 suppresses expression and/or activity of MMP1, MMP2, MMP3, MMP7 and MMP9 proteins and increases expression of TIMP1, TIMP2, TIMP3, and TIMP4 proteins. PMID: 21111772
- Data suggest that early embryonic signals may regulate fetal-maternal crosstalk in the human endometrium by inducing CXCR4 expression via the PGE-PTGER2-mediated induction of the EGFR, PI3K and ERK1/2 pathways. PMID: 20705717
- Data demonstrate that down-regulation of PTGER2 and consequent PGE2 resistance are both mediated by DNA hypermethylation; increased Akt signal transduction is a novel mechanism that promotes DNA hypermethylation during fibrogenesis. PMID: 20889571
- miR-16 and miR-21 are directly regulated by the transcription factor NF-kappaB and yet nicotine-promoted cell proliferation is mediated via EP2/4 receptors. PMID: 21081469
- Prostaglandin E2 receptor subtype EP2 and EP4 regulated gene expression profiling in ciliary smooth muscle cells. PMID: 20551148
- The mRNA levels of EP2 implicated pathways differed significantly in gliomas according to the histological type. PMID: 20382140
- E prostanoid (EP) 2 and EP3 have roles in cAMP/protein kinase A- and PI3-K/Akt-dependent NF-kappaB activation during shear-induced interleukin-6 synthesis in chondrocytes PMID: 20516073
- analysis of expression of serum vitamin D receptor, cyclooxygenase-2, and 15-hydroxyprostaglandin dehydrogenase in benign and malignant ovarian tissue and 25-hydroxycholecalciferol and prostaglandin E2 in ovarian cancer patients PMID: 20304053
- EP1 and EP4 subtypes of prostaglandin E receptors (but not EP2 and EP3 receptors) may be involved in regulation of paracellular permeability in differentiated Caco-2 cell cultures. PMID: 20484658
- EP2 is a novel transcriptional target of Wnt3a in dermal papilla cells of human scalp hair follicles PMID: 20347274
顯示更多
收起更多
-
亞細胞定位:Cell membrane; Multi-pass membrane protein.
-
蛋白家族:G-protein coupled receptor 1 family
-
組織特異性:Placenta and lung.
-
數據庫鏈接:
Most popular with customers
-
-
YWHAB Recombinant Monoclonal Antibody
Applications: ELISA, WB, IHC, IF, FC
Species Reactivity: Human, Mouse, Rat
-
Phospho-YAP1 (S127) Recombinant Monoclonal Antibody
Applications: ELISA, WB, IHC
Species Reactivity: Human
-
-
-
-
-















