PSMD9 Antibody
-
中文名稱:PSMD9兔多克隆抗體
-
貨號:CSB-PA212713
-
規格:¥1100
-
圖片:
-
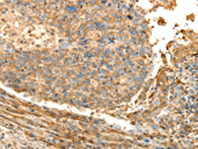
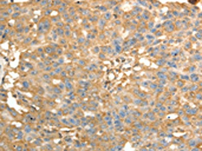
The image on the left is immunohistochemistry of paraffin-embedded Human liver cancer tissue using CSB-PA212713(PSMD9 Antibody) at dilution 1/40, on the right is treated with fusion protein. (Original magnification: ×200)
-
The image on the left is immunohistochemistry of paraffin-embedded Human ovarian cancer tissue using CSB-PA212713(PSMD9 Antibody) at dilution 1/40, on the right is treated with fusion protein. (Original magnification: ×200)
-
Gel: 12%SDS-PAGE, Lysate: 40 μg, Lane 1-3: Jurkat cells, A549 cells, Human fetal kidney tissue, Primary antibody: CSB-PA212713(PSMD9 Antibody) at dilution 1/750, Secondary antibody: Goat anti rabbit IgG at 1/8000 dilution, Exposure time: 10 seconds
-
-
其他:
產品詳情
-
Uniprot No.:
-
基因名:PSMD9
-
別名:26S proteasome non ATPase regulatory subunit 9 antibody; 26S proteasome non-ATPase regulatory subunit 9 antibody; 26S proteasome regulatory subunit p27 antibody; Homolog of rat Bridge 1 antibody; MGC8644 antibody; p27 antibody; Proteasome (prosome macropain) 26S subunit non ATPase 9 antibody; Proteasome 26S non ATPase regulatory subunit 9 antibody; Proteasome 26S subunit non ATPase 9 antibody; PSMD 9 antibody; Psmd9 antibody; PSMD9_HUMAN antibody; Rpn4 antibody
-
宿主:Rabbit
-
反應種屬:Human,Mouse,Rat
-
免疫原:Fusion protein of Human PSMD9
-
免疫原種屬:Homo sapiens (Human)
-
標記方式:Non-conjugated
-
抗體亞型:IgG
-
純化方式:Antigen affinity purification
-
濃度:It differs from different batches. Please contact us to confirm it.
-
保存緩沖液:-20°C, pH7.4 PBS, 0.05% NaN3, 40% Glycerol
-
產品提供形式:Liquid
-
應用范圍:ELISA,WB,IHC
-
推薦稀釋比:
Application Recommended Dilution ELISA 1:2000-1:5000 WB 1:500-1:2000 IHC 1:50-1:200 -
Protocols:
-
儲存條件:Upon receipt, store at -20°C or -80°C. Avoid repeated freeze.
-
貨期:Basically, we can dispatch the products out in 1-3 working days after receiving your orders. Delivery time maybe differs from different purchasing way or location, please kindly consult your local distributors for specific delivery time.
-
用途:For Research Use Only. Not for use in diagnostic or therapeutic procedures.
相關產品
靶點詳情
-
功能:Acts as a chaperone during the assembly of the 26S proteasome, specifically of the base subcomplex of the PA700/19S regulatory complex (RC). During the base subcomplex assembly is part of an intermediate PSMD9:PSMC6:PSMC3 module, also known as modulator trimer complex; PSMD9 is released during the further base assembly process.
-
基因功能參考文獻:
- These data suggest that Schistosoma japonicum Sjp40 might inhibit hepatic stellate cell activation by promoting cellular senescence via SKP2/P27 signaling pathway. PMID: 28325896
- human epidermal growth factor receptor 2 (HER-2) levels, were correlated well with TSP50/p-Samd2/3 and TSP50/p27 expression status. Thus, our studies revealed a novel regulatory mechanism underlying TSP50-induced cell proliferation and provided a new favorable intervention target for the treatment of breast cancer PMID: 28650473
- Furthermore, inhibition of COPS5 resulted in an elevation of Akt expression and sensitized SOC cells to Akt inhibitor MK2206. Suppression of COPS5 and Akt offers a potential strategy for the treatment of SOC. PMID: 28919423
- Loss of p27 associated with risk for endometrial carcinoma arising in the setting of obesity. PMID: 26917264
- p53 immunopositivity was more frequent in SCC (65%) than in VC (23%) (P=0.001). VC had lower p53 as compared with well-differentiated SCC and SCC without lymph node metastasis. No significant difference was seen in pRb, p16, and p27 expression PMID: 26447892
- The PSMD9 intronic SNPs rs74421874 (IVS3+nt460 G>A) and rs3825172 (IVS3+nt437 C>T) remain significantly associated with insomnia only when taking into account anxiety -and not depression- as covariate. PMID: 26166263
- recurrence rate of p27 and/or PTEN-negative patients was higher than that of the positive ones,that should be followed up closely after treatment PMID: 26191286
- The present study provided the first evidences that miR-1470 mediated lapatinib induced p27 upregulation by targeting c-jun. PMID: 25545366
- Staining intensities of cell cycle inhibitors p27 and p57 significantly increased in all parts of preeclamptic placentas compared to control PMID: 24852133
- PSMD9 expression predicts radiotherapy response in breast cancer. PMID: 24673853
- Expression of Hath1, Muc2, cyclin D1 and p27 in the xenograft tumors was also detected. PMID: 23464457
- Describe PSMD9 gene SNPs in linkage to generalized anxiety disorder in type 2 diabetic families. PMID: 24648162
- The PSMD9 single nucleotide polymorphism(SNP)s IVS3+nt460, IVS3+nt437, and 197G are in linkage with overweight condition and waist circumference in Italians. PMID: 23282078
- Our results suggest that tuberin and p27 are aberrantly expressed in malignant breast tissue PMID: 23689538
- Surprisingly, we found that GRP/GRP-R differentially induced expressions of p21 and p27. Silencing GRP/GRP-R decreased p21, but it increased p27 expressions in neuroblastoma cells. PMID: 23618860
- PSMD9 IVS3+nt460 A>G and +nt437 C>T and exon 5 E197G A>G single nucleotide polymorphisms studied and/or any variants in linkage disequilibrium with them are linked to depression in our type 2 diabetes Italian families. PMID: 22934761
- the PSMD9 IVS3 + nt460, IVS3 + nt437, E197G SNPs are linked via the recessive model to microvascular pathology of type 2 diabetes (T2D) in Italians PMID: 22015693
- PSMD9 gene SNPs are linked to elevated blood pressure/hypertension in Italian families with type 2 diabetes. PMID: 21871126
- This study is the first to demonstrate the expression of Bridge-1 in human breast carcinomas. Bridge-1 expression is increased by activin A stimulation and itself seems to influence activin A signaling by affecting the expression of Smad2, 3 and 4. PMID: 21448710
- overexpression of Jab1, cytoplasmic p27, and pSer10p27 proteins is correlated with poor outcome in patients with glioma PMID: 21837501
- Brief Report: PSMD9 SNPs show linkage to carpal tunnel syndrome in Italian type 2 diabetics. PMID: 21862167
- genetic association studies in a population in Italy: SNPs in PSMD9 are strongly linked to diabetic neuropathy in subjects with type 2 diabetes; these associations show significance for an additive model-based inheritance. PMID: 21813292
- In summary, the PSMD9 IVS3+nt460, IVS3+nt437, E197G SNPs are linked to diabetic retinopathy and non-diabetic retinopathy in Italians. PMID: 21728808
- Data show that the PSMD9 IVS3 + nt460, IVS3 + nt437, E197G T2D risk SNPs are in linkage with diabetic nephropathy. PMID: 21439668
- PSMD9 SNPs IVS3 + nt460 A >G, IVS3 + nt437 C > T and E197G A > G are linked to the hypercholesterolemia phenotype in Italian type 2 diabetes families. PMID: 21554682
- PSMD9 IVS3+nt460A/G, +nt437C/T and exon E197G A/G SNPs are linked to coronary artery disease, stroke/TIA and macrovascular pathology of type 2 diabetes in Italians. PMID: 21496327
- Analysis of Gem-resistant sub lines also showed that loss of UBE2M and increased p27(Kip1) expression were associated with the acquisition of drug resistance. PMID: 21477582
- Cul1 regulates melanoma cell growth and cell cycle progression through degradation of p27 PMID: 20878082
- The expression of p53 and p27 was not related to HPV genotype in cervical carcinomas PMID: 19657726
- Show that the MODY3 mutation and the PSMD9 IVS3 + nt460A/IVS3 + nt437T/G197 SNPs are risk factors for type 2 diabetes in Italian families. PMID: 20069546
- Presence is associated with high nuclear grade, large tumor size, and poor prognosis for glioma patients. PMID: 12778072
- The researchers found evidence of increased positive identification of p27 following neoadjuvant therapy in colorectal cancer patients, p27 was a good predictor of FR in the pre-radiation biopsy, and p27(+) markers in specimens lived longer at 3 years. PMID: 17360176
- PSMD9 gene variants contribute rarely to late-onset type 2 diabetes in Italians. PMID: 17516568
- 8679o 78y PMID: 18694622
- We report a direct correlation between cyclin D3 and p27 expression in gastrointestinal stromal tumors. PMID: 18701138
- Bortezomib arrests the proliferation of hepatocellular carcinoma cells HepG2 and JHH6 by differentially affecting p27 level. PMID: 19041685
- In RCC, p27 is phosphorylated at T157 of the NLS, with increasing tumor grade associated with cytoplasmic p27. PMID: 19118035
- PSMD9 gene in the NIDDM2 locus is linked to type 2 diabetes in Italians. PMID: 19877155
顯示更多
收起更多
-
蛋白家族:Proteasome subunit p27 family
-
組織特異性:Expressed in all tissues tested, highly expressed in liver and kidney.
-
數據庫鏈接:
Most popular with customers
-
-
YWHAB Recombinant Monoclonal Antibody
Applications: ELISA, WB, IHC, IF, FC
Species Reactivity: Human, Mouse, Rat
-
Phospho-YAP1 (S127) Recombinant Monoclonal Antibody
Applications: ELISA, WB, IHC
Species Reactivity: Human
-
-
-
-
-















