PSMD6 Antibody
-
中文名稱:PSMD6兔多克隆抗體
-
貨號:CSB-PA953040
-
規格:¥1100
-
圖片:
-
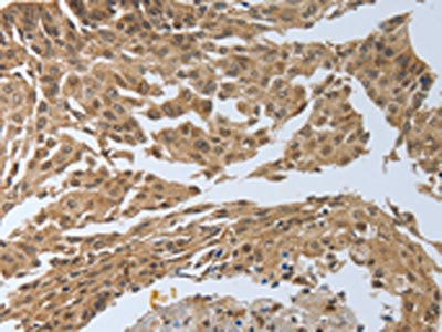
The image on the left is immunohistochemistry of paraffin-embedded Human cervical cancer tissue using CSB-PA953040(PSMD6 Antibody) at dilution 1/40, on the right is treated with synthetic peptide. (Original magnification: ×200)
-
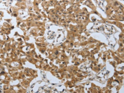
The image on the left is immunohistochemistry of paraffin-embedded Human lung cancer tissue using CSB-PA953040(PSMD6 Antibody) at dilution 1/40, on the right is treated with synthetic peptide. (Original magnification: ×200)
-
Gel: 10%SDS-PAGE, Lysate: 40 μg, Lane 1-4: Hela cells, 293T cells, NIH/3T3 cells, Jurkat cells, Primary antibody: CSB-PA953040(PSMD6 Antibody) at dilution 1/650, Secondary antibody: Goat anti rabbit IgG at 1/8000 dilution, Exposure time: 1 minute
-
-
其他:
產品詳情
-
Uniprot No.:
-
基因名:PSMD6
-
別名:26S proteasome non-ATPase regulatory subunit 6 antibody; 26S proteasome regulatory subunit RPN7 antibody; 26S proteasome regulatory subunit S10 antibody; Breast cancer-associated protein SGA-113M antibody; KIAA0107 antibody; p42A antibody; P44S10 antibody; PFAAP4 antibody; Phosphonoformate immuno-associated protein 4 antibody; Proteasome (prosome; macropain) 26S subunit; non-ATPase; 6 antibody; Proteasome regulatory particle subunit p44S10 antibody; PSMD6 antibody; PSMD6_HUMAN antibody; Rpn7 antibody; S10 antibody; SGA-113M antibody
-
宿主:Rabbit
-
反應種屬:Human,Mouse
-
免疫原:Synthetic peptide of Human PSMD6
-
免疫原種屬:Homo sapiens (Human)
-
標記方式:Non-conjugated
-
抗體亞型:IgG
-
純化方式:Antigen affinity purification
-
濃度:It differs from different batches. Please contact us to confirm it.
-
保存緩沖液:-20°C, pH7.4 PBS, 0.05% NaN3, 40% Glycerol
-
產品提供形式:Liquid
-
應用范圍:ELISA,WB,IHC
-
推薦稀釋比:
Application Recommended Dilution ELISA 1:2000-1:10000 WB 1:500-1:2000 IHC 1:50-1:200 -
Protocols:
-
儲存條件:Upon receipt, store at -20°C or -80°C. Avoid repeated freeze.
-
貨期:Basically, we can dispatch the products out in 1-3 working days after receiving your orders. Delivery time maybe differs from different purchasing way or location, please kindly consult your local distributors for specific delivery time.
-
用途:For Research Use Only. Not for use in diagnostic or therapeutic procedures.
相關產品
靶點詳情
-
功能:Component of the 26S proteasome, a multiprotein complex involved in the ATP-dependent degradation of ubiquitinated proteins. This complex plays a key role in the maintenance of protein homeostasis by removing misfolded or damaged proteins, which could impair cellular functions, and by removing proteins whose functions are no longer required. Therefore, the proteasome participates in numerous cellular processes, including cell cycle progression, apoptosis, or DNA damage repair.
-
基因功能參考文獻:
- Suggest AK124742 and PSMD6 as a new lncRNA-messenger RNA gene pair in human cumulus cells that may be considered as potential biomarkers to aid embryo selection. PMID: 25670720
- we observed that the PSMD6 variant rs831571 might be associated with the therapeutic efficacy of rosiglitazone and repaglinide in Chinese patients with type 2 diabetes. PMID: 26024304
- interaction of Rpn7 with DNA damage response foci in situ mediates the protection of DNA damage foci from premature resolution. PMID: 22473755
-
蛋白家族:Proteasome subunit S10 family
-
數據庫鏈接:
Most popular with customers
-
-
YWHAB Recombinant Monoclonal Antibody
Applications: ELISA, WB, IHC, IF, FC
Species Reactivity: Human, Mouse, Rat
-
Phospho-YAP1 (S127) Recombinant Monoclonal Antibody
Applications: ELISA, WB, IHC
Species Reactivity: Human
-
-
-
-
-















