PSMD3 Antibody
-
中文名稱:PSMD3兔多克隆抗體
-
貨號:CSB-PA938686
-
規格:¥1100
-
圖片:
-
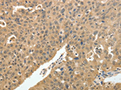
The image on the left is immunohistochemistry of paraffin-embedded Human liver cancer tissue using CSB-PA938686(PSMD3 Antibody) at dilution 1/30, on the right is treated with fusion protein. (Original magnification: ×200)
-
The image on the left is immunohistochemistry of paraffin-embedded Human ovarian cancer tissue using CSB-PA938686(PSMD3 Antibody) at dilution 1/30, on the right is treated with fusion protein. (Original magnification: ×200)
-
Gel: 10%SDS-PAGE, Lysate: 50 μg, Lane 1-3: 293T cells, Hela cells, Jurkat cells, Primary antibody: CSB-PA938686(PSMD3 Antibody) at dilution 1/400, Secondary antibody: Goat anti rabbit IgG at 1/8000 dilution, Exposure time: 30 seconds
-
-
其他:
產品詳情
-
Uniprot No.:
-
基因名:PSMD3
-
別名:26S proteasome non ATPase regulatory subunit 3 antibody; 26S proteasome non-ATPase regulatory subunit 3 antibody; 26S proteasome regulatory subunit RPN3 antibody; 26S proteasome regulatory subunit S3 antibody; OTTHUMP00000164347 antibody; P58 antibody; Proteasome (prosome, macropain) 26S subunit non ATPase 3 antibody; Proteasome subunit p58 antibody; PSMD3 antibody; PSMD3_HUMAN antibody; RPN3 antibody; S3 antibody; Tissue specific transplantation antigen 2 antibody; TSTA2 antibody
-
宿主:Rabbit
-
反應種屬:Human,Mouse
-
免疫原:Fusion protein of Human PSMD3
-
免疫原種屬:Homo sapiens (Human)
-
標記方式:Non-conjugated
-
抗體亞型:IgG
-
純化方式:Antigen affinity purification
-
濃度:It differs from different batches. Please contact us to confirm it.
-
保存緩沖液:-20°C, pH7.4 PBS, 0.05% NaN3, 40% Glycerol
-
產品提供形式:Liquid
-
應用范圍:ELISA,WB,IHC
-
推薦稀釋比:
Application Recommended Dilution ELISA 1:2000-1:5000 WB 1:200-1:1000 IHC 1:50-1:200 -
Protocols:
-
儲存條件:Upon receipt, store at -20°C or -80°C. Avoid repeated freeze.
-
貨期:Basically, we can dispatch the products out in 1-3 working days after receiving your orders. Delivery time maybe differs from different purchasing way or location, please kindly consult your local distributors for specific delivery time.
-
用途:For Research Use Only. Not for use in diagnostic or therapeutic procedures.
相關產品
靶點詳情
-
功能:Component of the 26S proteasome, a multiprotein complex involved in the ATP-dependent degradation of ubiquitinated proteins. This complex plays a key role in the maintenance of protein homeostasis by removing misfolded or damaged proteins, which could impair cellular functions, and by removing proteins whose functions are no longer required. Therefore, the proteasome participates in numerous cellular processes, including cell cycle progression, apoptosis, or DNA damage repair.
-
基因功能參考文獻:
- this study shows that haplotypes consisting of single nucleotide polymorphisms harboring PSMD3, CSF3 and MED24 genes are associated with asthma in Slovenian patients PMID: 27163155
- A strong association between genetic variant rs2305482 in PSMD3 on chromosome 17 and IFN-induced neutropenia. PMID: 25515861
- HNF1A gene was associated with C-reactive protein, and the region including PSMD3 and CSF3 genes was associated with white blood cell count. PMID: 22788528
- Our study suggests that PSMD3 variants are associated with insulin resistance in populations of different ancestries and that these relationships may also be modified by dietary factors. PMID: 23303871
- Study identified significantly white blood cell count (WBC) level associated SNPs of three separate genes GSDMA, MED24, and PSMD3 in European continent (EA) subjects. PMID: 22037903
- The significant contribution of PSMD3-CSF3 and PLCB4 loci to the regulation of neutrophil count, is demonstrated. PMID: 20172861
顯示更多
收起更多
-
蛋白家族:Proteasome subunit S3 family
-
數據庫鏈接:
Most popular with customers
-
-
YWHAB Recombinant Monoclonal Antibody
Applications: ELISA, WB, IHC, IF, FC
Species Reactivity: Human, Mouse, Rat
-
Phospho-YAP1 (S127) Recombinant Monoclonal Antibody
Applications: ELISA, WB, IHC
Species Reactivity: Human
-
-
-
-
-















