PSMB7 Antibody
-
中文名稱:PSMB7兔多克隆抗體
-
貨號:CSB-PA955584
-
規格:¥1100
-
圖片:
-
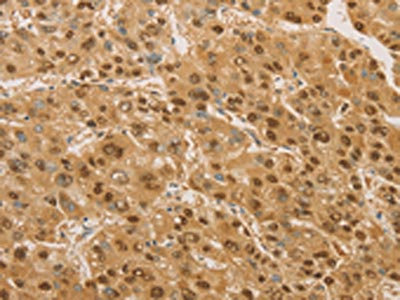
The image on the left is immunohistochemistry of paraffin-embedded Human liver cancer tissue using CSB-PA955584(PSMB7 Antibody) at dilution 1/20, on the right is treated with fusion protein. (Original magnification: ×200)
-
The image on the left is immunohistochemistry of paraffin-embedded Human colon cancer tissue using CSB-PA955584(PSMB7 Antibody) at dilution 1/20, on the right is treated with fusion protein. (Original magnification: ×200)
-
Gel: 10%SDS-PAGE, Lysate: 40 μg, Lane 1-2: Human testis tissue, mouse brain tissue, Primary antibody: CSB-PA955584(PSMB7 Antibody) at dilution 1/310, Secondary antibody: Goat anti rabbit IgG at 1/8000 dilution, Exposure time: 5 seconds
-
-
其他:
產品詳情
-
Uniprot No.:
-
基因名:PSMB7
-
別名:Macropain chain Z antibody; Multicatalytic endopeptidase complex chain Z antibody; Proteasome (prosome macropain) subunit beta type 7 antibody; Proteasome beta 7 subunit antibody; Proteasome catalytic subunit 2 antibody; Proteasome subunit alpha antibody; Proteasome subunit beta 7 antibody; Proteasome subunit beta type-7 antibody; Proteasome subunit Z antibody; PSB7_HUMAN antibody; PSMB7 antibody; PUP1 antibody; Z antibody
-
宿主:Rabbit
-
反應種屬:Human,Mouse,Rat
-
免疫原:Fusion protein of Human PSMB7
-
免疫原種屬:Homo sapiens (Human)
-
標記方式:Non-conjugated
-
抗體亞型:IgG
-
純化方式:Antigen affinity purification
-
濃度:It differs from different batches. Please contact us to confirm it.
-
保存緩沖液:-20°C, pH7.4 PBS, 0.05% NaN3, 40% Glycerol
-
產品提供形式:Liquid
-
應用范圍:ELISA,WB,IHC
-
推薦稀釋比:
Application Recommended Dilution ELISA 1:2000-1:5000 WB 1:500-1:2000 IHC 1:25-1:100 -
Protocols:
-
儲存條件:Upon receipt, store at -20°C or -80°C. Avoid repeated freeze.
-
貨期:Basically, we can dispatch the products out in 1-3 working days after receiving your orders. Delivery time maybe differs from different purchasing way or location, please kindly consult your local distributors for specific delivery time.
-
用途:For Research Use Only. Not for use in diagnostic or therapeutic procedures.
相關產品
靶點詳情
-
功能:Component of the 20S core proteasome complex involved in the proteolytic degradation of most intracellular proteins. This complex plays numerous essential roles within the cell by associating with different regulatory particles. Associated with two 19S regulatory particles, forms the 26S proteasome and thus participates in the ATP-dependent degradation of ubiquitinated proteins. The 26S proteasome plays a key role in the maintenance of protein homeostasis by removing misfolded or damaged proteins that could impair cellular functions, and by removing proteins whose functions are no longer required. Associated with the PA200 or PA28, the 20S proteasome mediates ubiquitin-independent protein degradation. This type of proteolysis is required in several pathways including spermatogenesis (20S-PA200 complex) or generation of a subset of MHC class I-presented antigenic peptides (20S-PA28 complex). Within the 20S core complex, PSMB7 displays a trypsin-like activity.
-
基因功能參考文獻:
- Studied the associations of Protein Z (PROZ G79A) and Endothelin-1 (EDN1 G5665T) polymorphisms with the clinical features of sickle cell disease (SCD) in a cohort of Egyptian children with SCD. PMID: 28548215
- reduced protein levels in patients with rheumatoid arthritis in association with disease progression PMID: 21713324
- high PSMB7 expression is associated with anthracycline resistance in breast cancer. PMID: 20010949
- Low protein Z levels but not protein Z gene G79A polymorphism are a risk factor for ischemic stroke. PMID: 18378283
- A previously unreported sporadic missense mutation within exon 8 is described in a patient with very low protein Z levels. PMID: 18462727
- PSB7, PRDX1, and SRP9 up-regulation as candidate biomarkers of colon cancer is discovered PMID: 18549262
- ZPI functions like other serpins to regulate the activity of FXa but in a manner uniquely dependent on protein Z, procoagulant membranes, and pH PMID: 18768472
- we have identified and characterized a new phosphorylated isoform of the human 20S proteasome b7 subunit and showed its differential expression in tumor vs. normal cell lines PMID: 19645816
顯示更多
收起更多
-
亞細胞定位:Cytoplasm. Nucleus.
-
蛋白家族:Peptidase T1B family
-
組織特異性:Expressed at a low level in colonic mucosa. Up-regulated in colorectal cancer tissues.
-
數據庫鏈接:
Most popular with customers
-
-
YWHAB Recombinant Monoclonal Antibody
Applications: ELISA, WB, IHC, IF, FC
Species Reactivity: Human, Mouse, Rat
-
Phospho-YAP1 (S127) Recombinant Monoclonal Antibody
Applications: ELISA, WB, IHC
Species Reactivity: Human
-
-
-
-
-















