PSMB4 Antibody
-
中文名稱:PSMB4兔多克隆抗體
-
貨號:CSB-PA01374A0Rb
-
規格:¥440
-
圖片:
-
Western blot
All lanes: Proteasome subunit beta type-4 Antibody at 2μg/ml + EC109 whole cell lysate
Secondary
Goat polyclonal to rabbit IgG at 1/15000 dilution
Predicted band size: 30 kDa
Observed band size: 75 kDa -
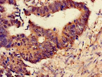
Immunohistochemistry of paraffin-embedded human colon cancer using CSB-PA01374A0Rb at dilution of 1:100
-
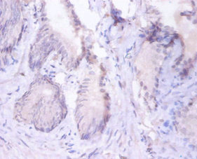
Immunohistochemistry of paraffin-embedded human prostate tissue using CSB-PA01374A0Rb at dilution of 1:100
-
Immunofluorescent analysis of MCF-7 cells using CSB-PA01374A0Rb at dilution of 1:100 and Alexa Fluor 488-congugated AffiniPure Goat Anti-Rabbit IgG(H+L)
-
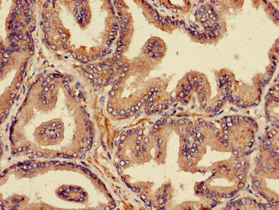
Immunohistochemistry of paraffin-embedded human prostate cancer using CSB-PA01374A0Rb at dilution of 1:100
-
-
其他:
產品詳情
-
產品名稱:Rabbit anti-Homo sapiens (Human) PSMB4 Polyclonal antibody
-
Uniprot No.:
-
基因名:PSMB4
-
別名:26 kDa prosomal protein antibody; HN3 antibody; HsBPROS26 antibody; HSN3 antibody; Macropain beta chain antibody; Multicatalytic endopeptidase complex beta chain antibody; PROS-26 antibody; PROS26 antibody; Proteasome (prosome macropain) subunit beta type 4 antibody; Proteasome beta 4 subunit antibody; Proteasome beta chain antibody; Proteasome chain 3 antibody; Proteasome subunit beta 4 antibody; Proteasome subunit beta type 4 antibody; Proteasome subunit beta type-4 antibody; Proteasome subunit HsN3 antibody; PSB4_HUMAN antibody; PSMB 4 antibody; PSMB4 antibody
-
宿主:Rabbit
-
反應種屬:Human
-
免疫原:Recombinant Human Proteasome subunit beta type-4 protein (46-264AA)
-
免疫原種屬:Homo sapiens (Human)
-
標記方式:Non-conjugated
本頁面中的產品,PSMB4 Antibody (CSB-PA01374A0Rb),的標記方式是Non-conjugated。對于PSMB4 Antibody,我們還提供其他標記。見下表:
-
克隆類型:Polyclonal
-
抗體亞型:IgG
-
純化方式:>95%, Protein G purified
-
濃度:It differs from different batches. Please contact us to confirm it.
-
保存緩沖液:Preservative: 0.03% Proclin 300
Constituents: 50% Glycerol, 0.01M PBS, PH 7.4 -
產品提供形式:Liquid
-
應用范圍:ELISA, WB, IHC, IF
-
推薦稀釋比:
Application Recommended Dilution WB 1:500-1:2000 IHC 1:20-1:200 IF 1:50-1:200 -
Protocols:
-
儲存條件:Upon receipt, store at -20°C or -80°C. Avoid repeated freeze.
-
貨期:Basically, we can dispatch the products out in 1-3 working days after receiving your orders. Delivery time maybe differs from different purchasing way or location, please kindly consult your local distributors for specific delivery time.
-
用途:For Research Use Only. Not for use in diagnostic or therapeutic procedures.
相關產品
靶點詳情
-
功能:Non-catalytic component of the 20S core proteasome complex involved in the proteolytic degradation of most intracellular proteins. This complex plays numerous essential roles within the cell by associating with different regulatory particles. Associated with two 19S regulatory particles, forms the 26S proteasome and thus participates in the ATP-dependent degradation of ubiquitinated proteins. The 26S proteasome plays a key role in the maintenance of protein homeostasis by removing misfolded or damaged proteins that could impair cellular functions, and by removing proteins whose functions are no longer required. Associated with the PA200 or PA28, the 20S proteasome mediates ubiquitin-independent protein degradation. This type of proteolysis is required in several pathways including spermatogenesis (20S-PA200 complex) or generation of a subset of MHC class I-presented antigenic peptides (20S-PA28 complex). SMAD1/OAZ1/PSMB4 complex mediates the degradation of the CREBBP/EP300 repressor SNIP1.
-
基因功能參考文獻:
- High PSMB4 expression is associated with breast cancer. PMID: 30066880
- PSMB4 knockdown decreased the expression levels of MMP2, MMP9 and cathepsin B and decreased proliferation, migration and invasion abilities in human GBM cells. PMID: 29414809
- We further identified miR-148b as a negative regulator of proteasome beta-4 subunit. Enforced expression of miR-148b resulted in vitro growth inhibition of melanoma cells, whereas this inhibition was further abolished by enforced expression of proteasome beta-4 subunit PMID: 28656878
- Our findings implied that PSMB4 is involved in the progression of EOC (epithelial ovarian cancer) and could serve as potential therapeutical target of EOC. These data suggested that PSMB4 may promote cell proliferation via the NF-kappaB-target gene in EOC (epithelial ovarian cancer) PMID: 26439929
- Taken together, our results demonstrated that PSMB4 regulated MM cell growth in part by activating NF-kappaB-miR-21 signaling, which may represent promising targets for novel specific therapies. PMID: 25656574
- Data indicate that recruitment of proteasomes into mutant huntingtin (mHTT) protein initiated inclusion bodies (IBs) was observed when the PSMB4-GFP was co-expressed with mHTT. PMID: 24291262
- proteasome subunit beta type 4 (PSMB4), the beta7 subunit of the 20S core complex, was identified as a direct binding partner of CRBN. PMID: 23026050
- While 26 proteasome dysfunction is observed in Parkinson's disease (PD), diverse mutations in the parkin gene are linked to early-onset autosomal-recessive forms of familial PD. PMID: 20810900
顯示更多
收起更多
-
亞細胞定位:Cytoplasm. Nucleus.
-
蛋白家族:Peptidase T1B family
-
數據庫鏈接:
Most popular with customers
-
-
YWHAB Recombinant Monoclonal Antibody
Applications: ELISA, WB, IHC, IF, FC
Species Reactivity: Human, Mouse, Rat
-
Phospho-YAP1 (S127) Recombinant Monoclonal Antibody
Applications: ELISA, WB, IHC
Species Reactivity: Human
-
-
-
-
-















