PSEN1 Antibody
-
中文名稱:PSEN1兔多克隆抗體
-
貨號:CSB-PA018846EA01HU
-
規格:¥440
-
圖片:
-
Western Blot
Positive WB detected in: MCF-7 whole cell lysate
All lanes: PSEN1 antibody at 3μg/ml
Secondary
Goat polyclonal to rabbit IgG at 1/50000 dilution
Predicted band size: 53, 43, 22, 47, 49 kDa
Observed band size: 53 kDa -
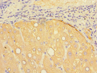
Immunohistochemistry of paraffin-embedded human liver tissue using CSB-PA018846EA01HU at dilution of 1:100
-
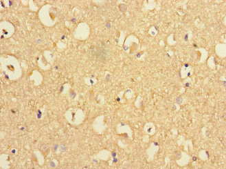
Immunohistochemistry of paraffin-embedded human brain tissue using CSB-PA018846EA01HU at dilution of 1:100
-
-
其他:
產品詳情
-
產品名稱:Rabbit anti-Homo sapiens (Human) PSEN1 Polyclonal antibody
-
Uniprot No.:
-
基因名:
-
別名:AD3 antibody; Ad3h antibody; FAD antibody; Homo Sapiens Clone CC44 Senilin 1 antibody; Presenilin-1 CTF12 antibody; Protein S182 antibody; PS 1 antibody; PS-1 antibody; PS1-CTF12 antibody; PSEN1 antibody; PSN1_HUMAN antibody; PSNL1 antibody; S182 antibody
-
宿主:Rabbit
-
反應種屬:Human
-
免疫原:Recombinant Human Presenilin-1 protein (4-218AA)
-
免疫原種屬:Homo sapiens (Human)
-
標記方式:Non-conjugated
本頁面中的產品,PSEN1 Antibody (CSB-PA018846EA01HU),的標記方式是Non-conjugated。對于PSEN1 Antibody,我們還提供其他標記。見下表:
-
克隆類型:Polyclonal
-
抗體亞型:IgG
-
純化方式:>95%, Protein G purified
-
濃度:It differs from different batches. Please contact us to confirm it.
-
保存緩沖液:Preservative: 0.03% Proclin 300
Constituents: 50% Glycerol, 0.01M PBS, PH 7.4 -
產品提供形式:Liquid
-
應用范圍:ELISA, WB, IHC
-
推薦稀釋比:
Application Recommended Dilution WB 1:2000-1:10000 IHC 1:20-1:200 -
Protocols:
-
儲存條件:Upon receipt, store at -20°C or -80°C. Avoid repeated freeze.
-
貨期:Basically, we can dispatch the products out in 1-3 working days after receiving your orders. Delivery time maybe differs from different purchasing way or location, please kindly consult your local distributors for specific delivery time.
-
用途:For Research Use Only. Not for use in diagnostic or therapeutic procedures.
相關產品
靶點詳情
-
功能:Catalytic subunit of the gamma-secretase complex, an endoprotease complex that catalyzes the intramembrane cleavage of integral membrane proteins such as Notch receptors and APP (amyloid-beta precursor protein). Requires the presence of the other members of the gamma-secretase complex for protease activity. Plays a role in Notch and Wnt signaling cascades and regulation of downstream processes via its role in processing key regulatory proteins, and by regulating cytosolic CTNNB1 levels. Stimulates cell-cell adhesion via its interaction with CDH1; this stabilizes the complexes between CDH1 (E-cadherin) and its interaction partners CTNNB1 (beta-catenin), CTNND1 and JUP (gamma-catenin). Under conditions of apoptosis or calcium influx, cleaves CDH1. This promotes the disassembly of the complexes between CDH1 and CTNND1, JUP and CTNNB1, increases the pool of cytoplasmic CTNNB1, and thereby negatively regulates Wnt signaling. Required for normal embryonic brain and skeleton development, and for normal angiogenesis. Mediates the proteolytic cleavage of EphB2/CTF1 into EphB2/CTF2. The holoprotein functions as a calcium-leak channel that allows the passive movement of calcium from endoplasmic reticulum to cytosol and is therefore involved in calcium homeostasis. Involved in the regulation of neurite outgrowth. Is a regulator of presynaptic facilitation, spike transmission and synaptic vesicles replenishment in a process that depends on gamma-secretase activity. It acts through the control of SYT7 presynaptic expression.
-
基因功能參考文獻:
- Report confirmed that PSEN1 Thr116Ile mutation was causative of an autosomal dominant early onset Alzheimer's disease. In silico predictions were performed to estimate the possible role of mutation, and confirmed that it could disturb the HL-I loop, resulting in significant possible disturbances in secretase functions. PMID: 30200536
- Data indicate a novel role for PS1 in regulating TREM2 intracellular trafficking and pathophysiological function. PMID: 29611543
- A subset of early-onset Alzheimer's disease is inherited as an autosomal-dominant trait and is associated with mutations in the genes encoding presenilin 1. PMID: 29175279
- We describe here the generation of functional astrocytes from induced pluripotent stem cells (iPSCs) derived from AD patients with PSEN1 DeltaE9 mutation, as well as healthy and gene-corrected isogenic controls. PMID: 29153989
- The data of this study suggest a deficiency of PE and LPC levels in the temporal cortex from Alzheimer's Disease-PSEN1(E280A) and Sporadic Alzheimer's Disease brains with respect to healthy brains. PMID: 29125487
- 3 distinct conformations of gamma-secretase (open, semiopen, and closed) differ by tilting of helices 2 and 3 of PS1, directly controlling active site availability. The semiopen conformation shows the best fit of Abeta peptides, i.e., longer residence before release and by inference more trimming. The closed, hydrophobic conformation is largely inactive and the open conformation is active but provides less optimal inte... PMID: 28841371
- Dominant negative effect of the loss-of-function gamma-secretase mutants on the wild-type enzyme through heterooligomerization has been demonstrated. PMID: 29078389
- phosphorylation of PS1 at Ser367 does not affect gamma-secretase activity, but has a dramatic effect on Abeta levels in vivo PMID: 28533411
- This study demonstrated that the Precuneus cortex brain wave in PSEN1 E280A Family at Risk of Developing Alzheimer's disease. PMID: 28550254
- The results show that in cognitively normal young adults carrying presenilin-1mutations had different spontaneous brain activity patterns without cerebral structural differences. PMID: 28987665
- PSEN1 gene polymorphisms in Caucasian Alzheimer's disease PMID: 28821390
- A case control study confirms PSEN1 rs17125721 as a risk factor for familial AD in Brazil. PMID: 28554858
- PS1 increases the level of U1snRNA accompanied with the adverse change of Abeta level, AD-related tau cytoskeletal pathology, and SH-SY5Y cell apoptosis. PMID: 28577205
- Study reports a novel PSEN1 K311R mutation in two Chinese families with late-onset Alzheimer's disease. The mutation was located within the hydrophilic loop domain of PSEN1 C-terminal cytoplasmic loop and enhanced Abeta42 production and tau phosphorylation in HEK293-APP695wt cells. PMID: 28269784
- Induced pluripotent stem cells derived from somatic cells of familial Alzheimer disease patients carrying PSEN1 mutations exhibit premature neuronal differentiation with decreased proliferation and increased apoptosis. PMID: 27926491
- This study shown that PSEN1 is decreased in Alzheimer's Disease platelets PMID: 27858713
- Whole-exome sequencing of 238 African American subjects identified 6 rare missense variants within the early-onset Alzheimer's disease (AD) genes, which were observed in AD cases but never among controls. These variants were analyzed in an independent cohort of 300 African American subjects, which indicated that a PSEN2 and PSEN1 novel rare variants, may contribute to AD risk in this population. PMID: 28106563
- that reduction in the synaptotagmin 1 level and presenilin 1-synaptotagmin 1 interactions in AD brain may present molecular underpinning of the pathogenic presenilin 1 conformation PMID: 28193235
- Here, comprehensive analysis using FRET-based imaging reveals that activity-driven and Protein Kinase A-mediated PS1 phosphorylation at three domains (domain 1: T74, domain 2: S310 and S313, domain 3: S365, S366, and S367), with S367 being critical, is responsible for the PS1 pathogenic 'closed' conformation, and resulting increase in the Abeta42/40 ratio. PMID: 28132667
- One family harbored a novel mutation in PSEN1:p.Phe283Leu. MRI demonstrated severe parietal, perirolandic, and temporal atrophy, with relative sparing of frontal and ipsilateral hippocampal regions. Autopsy confirmed pure AD pathology. PMID: 27743520
- Study examined the presence of causative and low frequency coding variants in the Alzheimer disease (AD), Frontotemporal lobar degeneration, Amyotrophic lateral sclerosis and Parkinson disease Mendelian genes, in over 450 families with clinical history of AD and over 11,710 sporadic cases and cognitive normal participants from North America.Only PSEN1 and PINK1 showed consistent association with AD cases. PMID: 29091718
- Cultured hippocampal neurons expressing mutant PS1 had attenuated CCE that was associated with destabilized dendritic spines, which were rescued by either gamma-secretase inhibition or overexpression of STIM1. PMID: 27601731
- PSEN1 mutations responsible for early-onset Alzheimer's disease with extrapyramidal phenotype. PMID: 28131463
- A novel mutation in exon 7 of presenilin 1 (Leu232Pro) was discovered in a Korean patient with early-onset Alzheimer's disease. PMID: 28532645
- PSEN1 pathogenic mutation M84V is found in autosomal dominant Alzheimer's disease. PMID: 28532646
- The authors demonstrate that pathological PS1 loss-of-function impinges on neurite formation through a selective APP gain-of-function that could impact on axodendritic connectivity and contribute to aberrant axonal sprouting observed in Alzheimer's disease patients. PMID: 27196744
- early-onset Alzheimer's disease is caused by a novel N135Y mutation in PSEN1. PMID: 27793474
- PSEN1 rare variants collectively show a significant association with the brain atrophy in regions preferentially affected by late-onset Alzheimer's disease PMID: 27535542
- Tspan3 is a central endocytic membrane component regulating the expression of ADAM10, presenilin and the amyloid precursor protein. PMID: 27818272
- Familial Alzheimer's disease-associated PS1 mutations induce disease pathogenesis by increasing Abeta42/Abeta40 ratio. PMID: 27836335
- a novel mutation PSEN1 c.1156T>A, p.F386I was detected in a Chinese family with FAD. The mutation cosegregates with affected family members suggesting a mutagenic and probably pathogenic effect. PMID: 27816212
- proapoptotic signaling pathways c-Jun NH2-terminal kinase and p38 mitogen-activated protein kinase maintained PSEN1-mediated negative regulation in K239N but not in E120G-bearing cells PMID: 27498054
- increased mitochondrial calcium due to the gain-of-function enhancement of IP3R channels in the cells expressing PS1-M146L leads to the opening of permeability transition pore in high conductance state. PMID: 27184076
- Its mutants increase neurodegeneration by inhibiting the ability of neurons to use cellular factors as protective agents against toxic insults. PMID: 27143420
- The search for the genetic factors contributing to Alzheimer disease (AD) has evolved tremendously throughout the years. It started from the discovery of fully penetrant mutations in Amyloid precursor protein, Presenilin 1, and Presenilin 2 as a cause of autosomal dominant AD PMID: 26312828
- The authors now show that the very little Abeta generated by PS1 L435F mutant consists primarily of Abeta43, a highly amyloidogenic species which was overlooked in previous studies of this mutant. PMID: 26988102
- APP + PS1 double transgenic rats had altered serum Abeta42 and Abeta42/Abeta40 levels, brain histopathology and cognitive behavior. APP rat brain had many histopathogical abnormalities that are often seen in Alzheimer's disease brains, but their memory did not show significant impairment during the behavioral testing. APP + PS1 rats showed brain pathology as well as reduced memory retention compared to the APP and the ... PMID: 27388605
- we revealed the structural dynamics of the transmembrane domains of presenilin during the formation of the complex and its proteolytic process. The SCAM provides new insights into the relationship between the structure and activity of presenilin, and is useful for probing the protein dynamics of the membrane-embedded enzymes PMID: 28065263
- gamma-Secretase is a multimeric membrane protease involved in processing of the amyloid precursor protein with high clinical relevance as mutations in its catalytic subunit (Presenilin) cause early-onset Alzheimer's disease PMID: 28065273
- Using purified PSEN1/Aph1A gamma-secretase and the APPC99-3XFLAG substrate, authors show that substrate shortening progressively destabilizes the consecutive enzyme-substrate complexes that characterize the sequential gamma-secretase processing of APP; present a unifying model for how PSEN or APP mutations enhance amyloidogenic Abeta production, suggests that environmental factors may increase Alzheimer's Disease risk. PMID: 28753424
- Findings do not provide significant support for presenilin 1 (PSEN1) E318G as a risk factor for Alzheimer's disease (AD) in apolipoprotein E4 (APOEepsilon4) carriers. PMID: 27357204
- The N-terminal fragment of the catalytic subunit presenilin was determined as principal substrate-binding site. PMID: 27220847
- Data show that presenilin 1 (PS1)/anterior-pharynx-defective protein 1 (Aph1b), presenilin 2 (PS2)/Aph1aL, PS2/Aph1aS and PS2/anterior pharynx defective 1 homolog B (Aph1b) gamma-secretase produced amyloid beta peptide (Abeta) with a higher Abeta42+Abeta43-to-Abeta40 (Abeta42(43)/Abeta40) ratio than the other gamma-secretases. PMID: 27608597
- PSEN1 mutations are associated with specific AD phenotype. PMID: 27777022
- association of PS1 carboxyl peptide (residues 445-467, HL9) with DREAM is calcium dependent and stabilized by a cluster of three aromatic residues: F462 and F465 from PS1 and F252 from DREAM. PMID: 27009418
- Obstructive Sleep Apnea, and particularly Obstructive Sleep Apnea+Obesity, are associated with increased plasma levels of Alzheimer Disease biomarkers, which decline upon treatment of OSA in a representative, yet not all- encompassing subset of patients, suggesting that OSA may accelerate AD-related processes even in early childhood. PMID: 27070140
- This review reveled that Mutations in APP and PS-1 and PS-2 genes that are associated with early-onset, autosomal, dominantly inherited AD PMID: 27135718
- Mice overexpressing the Swedish (K594M/N595L) mutation of human APP together with PS1 deleted in exon 9 were used in this study which traces age- and brain region-specific changes of glucose metabolic disorder, learning, and memory dysfunction in early Alzheimer's Disease using 18)F-labed fluorodeoxyglucose ((18)F-FDG) microPET. PMID: 27763550
- Three early-onset Alzheimer's disease (EOAD) causative genes (APP, PSEN1, and PSEN2) were discovered in Asian countries. Most of the EOAD-associated mutations have been detected in PSEN1, and several novel PSEN1 mutations were recently identified in patients from various parts of the world, including Asia.[review] PMID: 27799753
- Data show that valproic acid (VPA) treatment enhanced gender-dependent learning and memory impairment in the human amyloid beta precursor protein/presenilin 1 (APP/PS1) double transgenic mice. PMID: 27614317
顯示更多
收起更多
-
相關疾?。?/div>Alzheimer disease 3 (AD3); Frontotemporal dementia (FTD); Cardiomyopathy, dilated 1U (CMD1U); Acne inversa, familial, 3 (ACNINV3)亞細胞定位:Endoplasmic reticulum. Endoplasmic reticulum membrane; Multi-pass membrane protein. Golgi apparatus membrane; Multi-pass membrane protein. Cytoplasmic granule. Cell membrane; Multi-pass membrane protein. Cell projection, growth cone. Early endosome. Early endosome membrane; Multi-pass membrane protein. Cell projection, neuron projection. Cell projection, axon. Cell junction, synapse.蛋白家族:Peptidase A22A family組織特異性:Detected in azurophile granules in neutrophils and in platelet cytoplasmic granules (at protein level). Expressed in a wide range of tissues including various regions of the brain, liver, spleen and lymph nodes.數據庫鏈接:
Most popular with customers
-
-
YWHAB Recombinant Monoclonal Antibody
Applications: ELISA, WB, IHC, IF, FC
Species Reactivity: Human, Mouse, Rat
-
Phospho-YAP1 (S127) Recombinant Monoclonal Antibody
Applications: ELISA, WB, IHC
Species Reactivity: Human
-
-
-
-
-















