PRTFDC1 Antibody
-
中文名稱:PRTFDC1兔多克隆抗體
-
貨號:CSB-PA889092LA01HU
-
規格:¥440
-
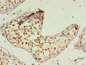
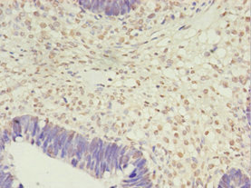
圖片:
-
其他:
產品詳情
-
產品名稱:Rabbit anti-Homo sapiens (Human) PRTFDC1 Polyclonal antibody
-
Uniprot No.:
-
基因名:PRTFDC1
-
別名:FLJ11888 antibody; HHGP antibody; OTTHUMP00000019332 antibody; Phosphoribosyl transferase domain containing 1 antibody; phosphoribosyltransferase domain containing protein 1 antibody; Phosphoribosyltransferase domain-containing protein 1 antibody; PRDC1_HUMAN antibody; prtfdc1 antibody; Uncharacterized protein PRTFDC1 antibody
-
宿主:Rabbit
-
反應種屬:Human
-
免疫原:Recombinant Human Phosphoribosyltransferase domain-containing protein 1 (2-225AA)
-
免疫原種屬:Homo sapiens (Human)
-
標記方式:Non-conjugated
本頁面中的產品,PRTFDC1 Antibody (CSB-PA889092LA01HU),的標記方式是Non-conjugated。對于PRTFDC1 Antibody,我們還提供其他標記。見下表:
-
克隆類型:Polyclonal
-
抗體亞型:IgG
-
純化方式:>95%, Protein G purified
-
濃度:It differs from different batches. Please contact us to confirm it.
-
保存緩沖液:Preservative: 0.03% Proclin 300
Constituents: 50% Glycerol, 0.01M PBS, PH 7.4 -
產品提供形式:Liquid
-
應用范圍:ELISA, IHC
-
推薦稀釋比:
Application Recommended Dilution IHC 1:20-1:200 -
Protocols:
-
儲存條件:Upon receipt, store at -20°C or -80°C. Avoid repeated freeze.
-
貨期:Basically, we can dispatch the products out in 1-3 working days after receiving your orders. Delivery time maybe differs from different purchasing way or location, please kindly consult your local distributors for specific delivery time.
-
用途:For Research Use Only. Not for use in diagnostic or therapeutic procedures.
相關產品
靶點詳情
-
功能:Has low, barely detectable phosphoribosyltransferase activity (in vitro). Binds GMP, IMP and alpha-D-5-phosphoribosyl 1-pyrophosphate (PRPP). Is not expected to contribute to purine metabolism or GMP salvage.
-
基因功能參考文獻:
- We found evidence for PRTFDC1 as a potential novel PTSD gene, a finding that awaits further replication. PMID: 25456346
- These results demonstrate that PRTFDC1 is a genetic modifier of HPRT-deficiency in the mouse. PMID: 21818316
- The PRTFDC1 structure has been determined at 1.7 A resolution with bound GMP. The overall structure and GMP binding mode are very similar to that observed for HPRT. PMID: 21054786
- epigenetic silencing of PRTFDC1 by hypermethylation of the CpG island leads to a loss of PRTFDC1 function, which might be involved in squamous cell oral carcinogenesis. PMID: 17599052
-
蛋白家族:Purine/pyrimidine phosphoribosyltransferase family
-
數據庫鏈接:
Most popular with customers
-
-
YWHAB Recombinant Monoclonal Antibody
Applications: ELISA, WB, IHC, IF, FC
Species Reactivity: Human, Mouse, Rat
-
Phospho-YAP1 (S127) Recombinant Monoclonal Antibody
Applications: ELISA, WB, IHC
Species Reactivity: Human
-
-
-
-
-















