PRPF40A Antibody
-
中文名稱:PRPF40A兔多克隆抗體
-
貨號:CSB-PA018769LA01HU
-
規格:¥440
-
圖片:
-
Western Blot
Positive WB detected in: U251 whole cell lysate, Hela whole cell lysate, 293T whole cell lysate
All lanes: PRPF40A antibody at 2.7μg/ml
Secondary
Goat polyclonal to rabbit IgG at 1/50000 dilution
Predicted band size: 109, 106, 107, 11 kDa
Observed band size: 109 kDa -
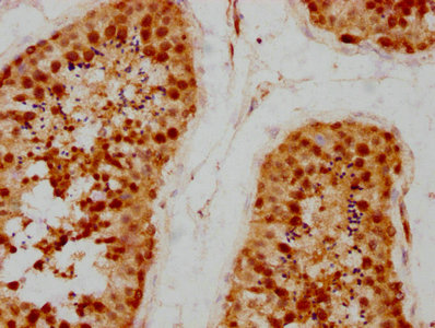
IHC image of CSB-PA018769LA01HU diluted at 1:200 and staining in paraffin-embedded human testis tissue performed on a Leica BondTM system. After dewaxing and hydration, antigen retrieval was mediated by high pressure in a citrate buffer (pH 6.0). Section was blocked with 10% normal goat serum 30min at RT. Then primary antibody (1% BSA) was incubated at 4°C overnight. The primary is detected by a biotinylated secondary antibody and visualized using an HRP conjugated SP system.
-
-
其他:
產品詳情
-
產品名稱:Rabbit anti-Homo sapiens (Human) PRPF40A Polyclonal antibody
-
Uniprot No.:
-
基因名:PRPF40A
-
別名:Fas ligand associated factor 1 antibody; Fas ligand-associated factor 1 antibody; FBP 11 antibody; FBP11 antibody; FLAF 1 antibody; FLAF1 antibody; FNBP 3 antibody; Formin binding protein 11 antibody; Formin binding protein 3 antibody; Formin-binding protein 11 antibody; Formin-binding protein 3 antibody; HIP-10 antibody; HIP10 antibody; Huntingtin interacting protein A antibody; Huntingtin interacting protein HYPA antibody; Huntingtin yeast partner A antibody; Huntingtin-interacting protein 10 antibody; Huntingtin-interacting protein A antibody; HYPA antibody; NY REN 6 antibody; NY REN 6 antigen antibody; PR40A_HUMAN antibody; Pre mRNA processing factor 40 homolog A antibody; Pre-mRNA-processing factor 40 homolog A antibody; PRP40 pre mRNA processing factor 40 homolog A (S cerevisiae) antibody; PRP40 pre mRNA processing factor 40 homolog A (yeast) antibody; PRP40 pre mRNA processing factor 40 homolog A antibody; PRPF 40A antibody; PRPF40A antibody; Renal carcinoma antigen NY-REN-6 antibody
-
宿主:Rabbit
-
反應種屬:Human
-
免疫原:Recombinant Human Pre-mRNA-processing factor 40 homolog A protein (120-266AA)
-
免疫原種屬:Homo sapiens (Human)
-
標記方式:Non-conjugated
本頁面中的產品,PRPF40A Antibody (CSB-PA018769LA01HU),的標記方式是Non-conjugated。對于PRPF40A Antibody,我們還提供其他標記。見下表:
-
克隆類型:Polyclonal
-
抗體亞型:IgG
-
純化方式:>95%, Protein G purified
-
濃度:It differs from different batches. Please contact us to confirm it.
-
保存緩沖液:Preservative: 0.03% Proclin 300
Constituents: 50% Glycerol, 0.01M PBS, pH 7.4 -
產品提供形式:Liquid
-
應用范圍:ELISA, WB, IHC
-
推薦稀釋比:
Application Recommended Dilution WB 1:500-1:5000 IHC 1:200-1:500 -
Protocols:
-
儲存條件:Upon receipt, store at -20°C or -80°C. Avoid repeated freeze.
-
貨期:Basically, we can dispatch the products out in 1-3 working days after receiving your orders. Delivery time maybe differs from different purchasing way or location, please kindly consult your local distributors for specific delivery time.
-
用途:For Research Use Only. Not for use in diagnostic or therapeutic procedures.
相關產品
靶點詳情
-
功能:Binds to WASL/N-WASP and suppresses its translocation from the nucleus to the cytoplasm, thereby inhibiting its cytoplasmic function. Plays a role in the regulation of cell morphology and cytoskeletal organization. Required in the control of cell shape and migration. May play a role in cytokinesis. May be involved in pre-mRNA splicing.
-
基因功能參考文獻:
- our data revealed that COL1A1, UCP2, and PRPF40A are novel players implicated in the complex network of hypoxia response in non-small cell lung cancer PMID: 28258342
- Multidisciplinary approach showed that HsPrp40Ap interacts with centrin in vitro, supporting a coupled functional role for these proteins in pre-mRNA splicing. PMID: 28636910
- Study of native domain FF3-71 from human HYPA/FBP11 and the truncated version FF3-60 with C-terminal helix being deleted by molecular dynamics simulations. PMID: 22408419
- Interaction with polyglutamine-expanded huntingtin alters cellular distribution and RNA processing of huntingtin yeast two-hybrid protein A (HYPA). PMID: 21566141
- an atomic-resolution structure of an "invisible" folding intermediate of a small protein module: the FF domain; structure reveals non-native elements preventing formation of native conformation in the carboxyl-terminal part of the protein PMID: 20829478
- Data describe the structure of an FF domain from HYPA/FBP11, which differs from those of other phosphopeptide-binding domains and represents a novel phosphopeptide-binding fold. PMID: 12381297
- Results suggest an essential role of WW/FF domain-containing factors such as FBP11 and CA150 in pre-mRNA splicing that likely occurs in concert with transcription in vivo. PMID: 15456888
- NAKAP-HypA scaffold is a potential nuclear docking site for huntingtin protein and may contribute to the nuclear accumulation of huntingtin observed in HD. PMID: 16391387
- FBP11 binding mechanism underlies the molecular pathology of severe neurological disorders, e.g., Rett syndrome and Huntington disease. PMID: 17065151
顯示更多
收起更多
-
亞細胞定位:Nucleus speckle. Nucleus matrix.
-
蛋白家族:PRPF40 family
-
組織特異性:Expressed in the brain cortex (at protein level). Widely expressed.
-
數據庫鏈接:
Most popular with customers
-
-
YWHAB Recombinant Monoclonal Antibody
Applications: ELISA, WB, IHC, IF, FC
Species Reactivity: Human, Mouse, Rat
-
Phospho-YAP1 (S127) Recombinant Monoclonal Antibody
Applications: ELISA, WB, IHC
Species Reactivity: Human
-
-
-
-
-















