PROK2 Antibody
-
中文名稱:PROK2兔多克隆抗體
-
貨號:CSB-PA875716ESR2HU
-
規格:¥440
-
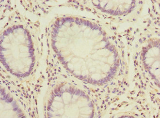
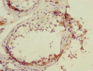
圖片:
-
其他:
產品詳情
-
產品名稱:Rabbit anti-Homo sapiens (Human) PROK2 Polyclonal antibody
-
Uniprot No.:
-
基因名:PROK2
-
別名:BV8 antibody; Bv8 homolog antibody; MIT1 antibody; PK2 antibody; PROK2 antibody; PROK2_HUMAN antibody; Prokineticin-2 antibody; Protein Bv8 homolog antibody
-
宿主:Rabbit
-
反應種屬:Human
-
免疫原:Recombinant Human Prokineticin-2 protein (20-129AA)
-
免疫原種屬:Homo sapiens (Human)
-
標記方式:Non-conjugated
-
克隆類型:Polyclonal
-
抗體亞型:IgG
-
純化方式:Antigen Affinity Purified
-
濃度:It differs from different batches. Please contact us to confirm it.
-
保存緩沖液:PBS with 0.02% sodium azide, 50% glycerol, pH7.3.
-
產品提供形式:Liquid
-
應用范圍:ELISA, IHC
-
推薦稀釋比:
Application Recommended Dilution IHC 1:20-1:200 -
Protocols:
-
儲存條件:Upon receipt, store at -20°C or -80°C. Avoid repeated freeze.
-
貨期:Basically, we can dispatch the products out in 1-3 working days after receiving your orders. Delivery time maybe differs from different purchasing way or location, please kindly consult your local distributors for specific delivery time.
-
用途:For Research Use Only. Not for use in diagnostic or therapeutic procedures.
相關產品
靶點詳情
-
功能:May function as an output molecule from the suprachiasmatic nucleus (SCN) that transmits behavioral circadian rhythm. May also function locally within the SCN to synchronize output. Potently contracts gastrointestinal (GI) smooth muscle.
-
基因功能參考文獻:
- The results indicate that PK2 over-production perpetuates psoriatic symptoms by creating PK-2-IL-1 vicious loop. PK2 is a central player in psoriasis and a promising psoriasis-specific target. PMID: 27887936
- Prokineticin-2 is correlated with various cardiometabolic risk factors. PMID: 26728949
- Data suggest that prokineticins (PROK1 and PROK2) and prokineticin receptors (PROKR1 and PROKR2) act as main regulators of physiological functions of ovary, uterus, placenta, and testis. [REVIEW] PMID: 26574895
- Suggest PROK2 as an angiogenic growth factor in colorectal cancer. PMID: 26317645
- study found a novel mutation in PROK2 in two male siblings presenting normosmic congenital hypogonadotropic hypogonadism, in whom a mutation in the GNRHR gene had been previously described, suggesting the possibility of a digenic inheritance PMID: 25531638
- PROK2 significantly increased in human fetal ovary across gestation. PMID: 26192875
- EG-VEGF, BV8, and PROKR2 gene expression is approximately five, four, and two times higher in cystic fibrosis lungs compared with controls. PMID: 26047640
- No abnormalities were found in the patient group for the PROKR2 and GNRH1genes. In addition, no genomic rearrangements were identified in the healthy control individuals for the described genes PMID: 24002956
- PROK2 signaling in humans is not required for central circadian pacemaker function. PMID: 24423319
- A novel role of BV8 in promoting oncogenesis intrinsic to malignant cells of myeloid origin. PMID: 23548897
- We could not implicate the ligand PROK2 in congenital hypopituitarism and septo-optic dysplasia. PMID: 23386640
- Three PROKR2 mutations previously described in Kallmann syndrome and one new PROK2 mutation were found in patients with isolated congenital anosmia. PMID: 23082007
- Induction of Bv8 expression by granulocyte colony-stimulating factor in CD11b+Gr1+ cells: key role of Stat3 signaling. PMID: 22528488
- Data suggest that elevated prokineticin 2 levels, as a consequence of gastrointestinal tract inflammation, induce visceral pain via prokineticin receptors. PMID: 22050240
- Patients with this genetic form of Kallmann syndrome have been reported to have a possible increased prevalence of obesity and sleep disorders, which may be related to the role of PROK2 in food intake and circadian rhythms (Review) PMID: 20389090
- Review. Role of prokineticins in inflammatory and contractile pathways at parturition in humans. PMID: 20172976
- Male patients carrying biallelic mutations in PROK2 or PROKR2 have a less variable and on average a more severe reproductive phenotype than patients carrying monoallelic mutations in these genes. PMID: 20022991
- Prokineticin 2 transmits the behavioural circadian rhythm of the suprachiasmatic nucleus. PMID: 12024206
- Bv8 and EG-VEGF, along with other factors such as VEGF-A, may maintain the integrity and also regulate proliferation of the blood vessels in the testis PMID: 12604792
- Paracrine role for the PKs and their receptors in endometrial vascular function. PMID: 15126578
- potentially modulates growth, survival, and function of cells of the innate and adaptive immune systems, possibly through autocrine or paracrine signaling mechanisms PMID: 15548611
- study demonstrated that prokineticin 1 and 2 and their receptors are expressed in human prostate and that their levels increased with prostate malignancy PMID: 16763065
- These findings reveal that insufficient prokineticin-signaling through PROKR2 leads to abnormal development of the olfactory system and reproductive axis in man. PMID: 17054399
- Homozygous loss-of-function PROK2 mutations cause both Kallmann syndrome and normosmic idiopathic hypogonadotropic hypogonadism PMID: 17959774
- The identification of PROK2 biallelic mutations, that is, a missense mutation, p.R73C, and a frameshift mutation, c.163delA, in two out of 273 patients presenting as sporadic cases, is reported. PMID: 18285834
- PK2/Bv8 expression decreases as the liver evolves towards cancer and does not correlate with HCC angiogenesis PMID: 18300343
- Loss-of-function mutations in PROK2 and PROKR2 underlie both Kallmann syndrome (KS) and normosmic idiopathic hypogonadotropic hypogonadism (IHH). PMID: 18559922
- Loss-of-function mutations in the genes encoding prokineticin-2 or prokineticin receptor-2 cause autosomal recessive Kallmann syndrome. PMID: 18682503
- no mutations found in Kallmann syndrome PMID: 18723471
- Bv8 expression is regulated by several cytokines in a cell type-specific fashion PMID: 19336519
顯示更多
收起更多
-
相關疾病:Hypogonadotropic hypogonadism 4 with or without anosmia (HH4)
-
亞細胞定位:Secreted.
-
蛋白家族:AVIT (prokineticin) family
-
組織特異性:Expressed in the testis and, at low levels, in the small intestine.
-
數據庫鏈接:
Most popular with customers
-
Phospho-YAP1 (S127) Recombinant Monoclonal Antibody
Applications: ELISA, WB, IHC
Species Reactivity: Human
-
-
-
-
-
-
-















