PRMT3 Antibody
-
中文名稱:PRMT3兔多克隆抗體
-
貨號:CSB-PA948631
-
規格:¥1100
-
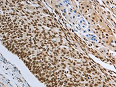
圖片:
-
The image on the left is immunohistochemistry of paraffin-embedded Human cervical cancer tissue using CSB-PA948631(PRMT3 Antibody) at dilution 1/30, on the right is treated with synthetic peptide. (Original magnification: ×200)
-
The image on the left is immunohistochemistry of paraffin-embedded Human colon cancer tissue using CSB-PA948631(PRMT3 Antibody) at dilution 1/30, on the right is treated with synthetic peptide. (Original magnification: ×200)
-
-
其他:
產品詳情
-
Uniprot No.:
-
基因名:
-
別名:2010005E20Rik antibody; 2410018A17Rik antibody; AL033309 antibody; ANM3_HUMAN antibody; Heterogeneous nuclear ribonucleoprotein methyltransferase 1-like 3 antibody; Heterogeneous nuclear ribonucleoprotein methyltransferase like 3 antibody; Heterogeneous nuclear ribonucleoprotein methyltransferase like protein 3 antibody; Heterogeneous nuclear ribonucleoprotein methyltransferase-like protein 3 antibody; HMT1 hnRNP methyltransferase like 3 antibody; HMT1 hnRNP methyltransferase like 3 S. cerevisiae antibody; HMT1-like 3 antibody; hnRNP methyltransferase like 3 antibody; HRMT1L3 antibody; PRMT 3 antibody; PRMT3 antibody; Protein arginine methyltransferase 3 antibody; Protein arginine N methyltransferase 3 antibody; Protein arginine N-methyltransferase 3 antibody
-
宿主:Rabbit
-
反應種屬:Human
-
免疫原:Synthetic peptide of Human PRMT3
-
免疫原種屬:Homo sapiens (Human)
-
標記方式:Non-conjugated
-
抗體亞型:IgG
-
純化方式:Antigen affinity purification
-
濃度:It differs from different batches. Please contact us to confirm it.
-
保存緩沖液:-20°C, pH7.4 PBS, 0.05% NaN3, 40% Glycerol
-
產品提供形式:Liquid
-
應用范圍:ELISA,IHC
-
推薦稀釋比:
Application Recommended Dilution ELISA 1:2000-1:10000 IHC 1:50-1:200 -
Protocols:
-
儲存條件:Upon receipt, store at -20°C or -80°C. Avoid repeated freeze.
-
貨期:Basically, we can dispatch the products out in 1-3 working days after receiving your orders. Delivery time maybe differs from different purchasing way or location, please kindly consult your local distributors for specific delivery time.
-
用途:For Research Use Only. Not for use in diagnostic or therapeutic procedures.
相關產品
靶點詳情
-
功能:Protein-arginine N-methyltransferase that catalyzes both the monomethylation and asymmetric dimethylation of the guanidino nitrogens of arginine residues in target proteins, and therefore falls into the group of type I methyltransferases. May regulate retinoic acid synthesis and signaling by inhibiting ALDH1A1 retinal dehydrogenase activity.
-
基因功能參考文獻:
- Findings uncover the existence of an extra-ribosomal complex consisting of PDCD2L, RPS2, and PRMT3 and support a role for PDCD2L in the late maturation of 40S ribosomal subunits. PMID: 27697862
- This work profilies substrates of protein arginine N-methyltransferase 3 with S-adenosyl-L-methionine analogues. PMID: 24320160
- Mutational defects in PRMT3 is not the cause of frontotemporal lobar degeneration. PMID: 23635657
- results show that protein arginine methyl transferase (PRMT)-3 and -5 methylate NaV1.5 in vitro, interact with NaV1.5 in human embryonic kidney (HEK) cells, and increase NaV1.5 current density PMID: 23912080
- The crystal structure of PRMT3 in complex with an inhibitor as well as kinetic analysis reveals an allosteric site of inhibition. PMID: 22795084
- release of VHL30 from the E3 ligase complex, promotes the binding of VHL30 to a protein arginine methyltransferase, PRMT3 PMID: 21942715
- The Tyr87Cys and Tyr87Glu-PRMT3 variants had markedly decreased affinity to ribosomal protein S2 and, consequently, reduced enzymatic activity compared to the wild-type enzyme. PMID: 21059412
- PRMT3 is a ribosomal protein methyltransferase that affects the cellular level of ribosomal subunits. PMID: 15175657
- DAL-1/4.1B protein significantly inhibits PRMT3 methylation of cellular substrates, which may affect mechanism through which DAL-1/4.1B affects tumor cell growth. PMID: 15334060
- Type I Arginine Methyltransferases PRMT1 and PRMT-3 Act Distributively PMID: 19158082
- results suggest that the pathological mutation in the PABPN1 gene alters the protein conformation and induces a preferential interaction with type I PRMTs and Hsp70 chaperones PMID: 19641605
顯示更多
收起更多
-
亞細胞定位:Cytoplasm.
-
蛋白家族:Class I-like SAM-binding methyltransferase superfamily, Protein arginine N-methyltransferase family
-
數據庫鏈接:
Most popular with customers
-
-
YWHAB Recombinant Monoclonal Antibody
Applications: ELISA, WB, IHC, IF, FC
Species Reactivity: Human, Mouse, Rat
-
Phospho-YAP1 (S127) Recombinant Monoclonal Antibody
Applications: ELISA, WB, IHC
Species Reactivity: Human
-
-
-
-
-















