PRKN Antibody
-
中文名稱:PRKN兔多克隆抗體
-
貨號:CSB-PA017451LA01HU
-
規格:¥440
-
圖片:
-
Western Blot
Positive WB detected in: HepG2 whole cell lysate, SH-SY5Y whole cell lysate, Jurkat whole cell lysate
All lanes: PRKN antibody at 3µg/ml
Secondary
Goat polyclonal to rabbit IgG at 1/50000 dilution
Predicted band size: 52, 49, 24, 31, 43, 36, 44, 47 kDa
Observed band size: 52 kDa -
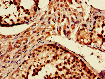
IHC image of CSB-PA017451LA01HU diluted at 1:600 and staining in paraffin-embedded human testis tissue performed on a Leica BondTM system. After dewaxing and hydration, antigen retrieval was mediated by high pressure in a citrate buffer (pH 6.0). Section was blocked with 10% normal goat serum 30min at RT. Then primary antibody (1% BSA) was incubated at 4°C overnight. The primary is detected by a biotinylated secondary antibody and visualized using an HRP conjugated SP system.
-
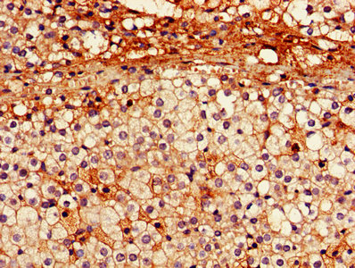
IHC image of CSB-PA017451LA01HU diluted at 1:600 and staining in paraffin-embedded human adrenal gland tissue performed on a Leica BondTM system. After dewaxing and hydration, antigen retrieval was mediated by high pressure in a citrate buffer (pH 6.0). Section was blocked with 10% normal goat serum 30min at RT. Then primary antibody (1% BSA) was incubated at 4°C overnight. The primary is detected by a biotinylated secondary antibody and visualized using an HRP conjugated SP system.
-
Immunofluorescent analysis of PC-3 cells using CSB-PA017451LA01HU at dilution of 1:100 and Alexa Fluor 488-congugated AffiniPure Goat Anti-Rabbit IgG(H+L)
-
-
其他:
產品詳情
-
產品名稱:Rabbit anti-Homo sapiens (Human) PRKN Polyclonal antibody
-
Uniprot No.:
-
基因名:
-
別名:AR JP antibody; E3 ubiquitin ligase antibody; E3 ubiquitin protein ligase parkin antibody; E3 ubiquitin-protein ligase parkin antibody; FRA6E antibody; LPRS 2 antibody; LPRS2 antibody; PARK 2 antibody; Park2 antibody; Parkin 2 antibody; Parkinson disease (autosomal recessive juvenile) 2 antibody; Parkinson disease (autosomal recessive; juvenile) 2; parkin antibody; Parkinson disease protein 2 antibody; Parkinson juvenile disease protein 2 antibody; Parkinson protein 2 E3 ubiquitin protein ligase antibody; Parkinson protein 2; E3 ubiquitin protein ligase (parkin) antibody; PDJ antibody; PRKN 2 antibody; PRKN antibody; PRKN2 antibody; PRKN2_HUMAN antibody; Ubiquitin E3 ligase PRKN antibody
-
宿主:Rabbit
-
反應種屬:Human
-
免疫原:Recombinant Human E3 ubiquitin-protein ligase parkin protein (1-465AA)
-
免疫原種屬:Homo sapiens (Human)
-
標記方式:Non-conjugated
本頁面中的產品,PRKN Antibody (CSB-PA017451LA01HU),的標記方式是Non-conjugated。對于PRKN Antibody,我們還提供其他標記。見下表:
-
克隆類型:Polyclonal
-
抗體亞型:IgG
-
純化方式:>95%, Protein G purified
-
濃度:It differs from different batches. Please contact us to confirm it.
-
保存緩沖液:Preservative: 0.03% Proclin 300
Constituents: 50% Glycerol, 0.01M PBS, PH 7.4 -
產品提供形式:Liquid
-
應用范圍:ELISA, WB, IHC, IF
-
推薦稀釋比:
Application Recommended Dilution WB 1:500-1:5000 IHC 1:500-1:1000 IF 1:50-1:500 -
Protocols:
-
儲存條件:Upon receipt, store at -20°C or -80°C. Avoid repeated freeze.
-
貨期:Basically, we can dispatch the products out in 1-3 working days after receiving your orders. Delivery time maybe differs from different purchasing way or location, please kindly consult your local distributors for specific delivery time.
-
用途:For Research Use Only. Not for use in diagnostic or therapeutic procedures.
相關產品
靶點詳情
-
功能:Functions within a multiprotein E3 ubiquitin ligase complex, catalyzing the covalent attachment of ubiquitin moieties onto substrate proteins. Substrates include SYT11 and VDAC1. Other substrates are BCL2, CCNE1, GPR37, RHOT1/MIRO1, MFN1, MFN2, STUB1, SNCAIP, SEPTIN5, TOMM20, USP30, ZNF746, MIRO1 and AIMP2. Mediates monoubiquitination as well as 'Lys-6', 'Lys-11', 'Lys-48'-linked and 'Lys-63'-linked polyubiquitination of substrates depending on the context. Participates in the removal and/or detoxification of abnormally folded or damaged protein by mediating 'Lys-63'-linked polyubiquitination of misfolded proteins such as PARK7: 'Lys-63'-linked polyubiquitinated misfolded proteins are then recognized by HDAC6, leading to their recruitment to aggresomes, followed by degradation. Mediates 'Lys-63'-linked polyubiquitination of a 22 kDa O-linked glycosylated isoform of SNCAIP, possibly playing a role in Lewy-body formation. Mediates monoubiquitination of BCL2, thereby acting as a positive regulator of autophagy. Protects against mitochondrial dysfunction during cellular stress, by acting downstream of PINK1 to coordinate mitochondrial quality control mechanisms that remove and replace dysfunctional mitochondrial components. Depending on the severity of mitochondrial damage and/or dysfunction, activity ranges from preventing apoptosis and stimulating mitochondrial biogenesis to regulating mitochondrial dynamics and eliminating severely damaged mitochondria via mitophagy. Activation and recruitment onto the outer membrane of damaged/dysfunctional mitochondria (OMM) requires PINK1-mediated phosphorylation of both PRKN and ubiquitin. After mitochondrial damage, functions with PINK1 to mediate the decision between mitophagy or preventing apoptosis by inducing either the poly- or monoubiquitination of VDAC1, respectively; polyubiquitination of VDAC1 promotes mitophagy, while monoubiquitination of VDAC1 decreases mitochondrial calcium influx which ultimately inhibits apoptosis. When cellular stress results in irreversible mitochondrial damage, promotes the autophagic degradation of dysfunctional depolarized mitochondria (mitophagy) by promoting the ubiquitination of mitochondrial proteins such as TOMM20, RHOT1/MIRO1, MFN1 and USP30. Preferentially assembles 'Lys-6'-, 'Lys-11'- and 'Lys-63'-linked polyubiquitin chains, leading to mitophagy. The PINK1-PRKN pathway also promotes fission of damaged mitochondria by PINK1-mediated phosphorylation which promotes the PRKN-dependent degradation of mitochondrial proteins involved in fission such as MFN2. This prevents the refusion of unhealthy mitochondria with the mitochondrial network or initiates mitochondrial fragmentation facilitating their later engulfment by autophagosomes. Regulates motility of damaged mitochondria via the ubiquitination and subsequent degradation of MIRO1 and MIRO2; in motor neurons, this likely inhibits mitochondrial intracellular anterograde transport along the axons which probably increases the chance of the mitochondria undergoing mitophagy in the soma. Involved in mitochondrial biogenesis via the 'Lys-48'-linked polyubiquitination of transcriptional repressor ZNF746/PARIS which leads to its subsequent proteasomal degradation and allows activation of the transcription factor PPARGC1A. Limits the production of reactive oxygen species (ROS). Regulates cyclin-E during neuronal apoptosis. In collaboration with CHPF isoform 2, may enhance cell viability and protect cells from oxidative stress. Independently of its ubiquitin ligase activity, protects from apoptosis by the transcriptional repression of p53/TP53. May protect neurons against alpha synuclein toxicity, proteasomal dysfunction, GPR37 accumulation, and kainate-induced excitotoxicity. May play a role in controlling neurotransmitter trafficking at the presynaptic terminal and in calcium-dependent exocytosis. May represent a tumor suppressor gene.
-
基因功能參考文獻:
- work provides a framework for the mechanisms of parkin's loss-of-function, indicating an interplay between ARJP-associated substitutions and phosphorylation of its Ubl domain. PMID: 29530980
- Data show that E3 ubiquitin-protein ligase parkin (Parkin) undergoes a conformational change upon phosphorylation. PMID: 28276439
- carnosic acid induces parkin by enhancing the ubiquitination of ARTS, leading to induction of XIAP. PMID: 28224479
- PARK2 promoter SNP's rs2276201 and rs9347683 are shown to be significantly associated with the risk of colorectal cancer development PMID: 30296568
- Increased levels of Parkin are detected in lens epithelial cells exposed to H2O2-oxidative stress. Parkin translocates to mitochondria of lens epithelial cells upon H2O2-oxidative stress exposure. Parkin ubiquitin ligase activity is required for clearance of damaged mitochondria in lens epithelial cells exposed to H2O2-oxidative stress. PMID: 27702626
- Examined the enzymatic activity of Parkin with M458L mutation. We show that the M458L mutant retains its autoubiquitination potential in vitro but not in cells. M458L mutant fails to protect the mitochondria against hydrogen peroxide, leading to cell death. PMID: 29223129
- The results demonstrate that Nix can serve as an alternative mediator of mitophagy to maintain mitochondrial turnover, identifying Nix as a promising target for neuroprotective treatment in PINK1/Parkin-related Parkinson's disease. PMID: 28281653
- Female patients with PARK2 polymorphism had significantly higher risk of VTE recurrence PMID: 29671165
- Studies indicate a functional PTEN-induced putative kinase 1)(PINK1)/E3 ubiquitin protein ligase (parkin) mitophagy pathway in neurons [Review]. PMID: 29085955
- indings indicate that PRKN mutations are associated with large global gene expression changes as observed in fibroblasts from PRKN-Parkinson's disease patients PMID: 29501959
- parkin deficiency induces synaptotagmin-11 accumulation and PD-like neurotoxicity in mouse models, which is reversed by SYT11 knockdown in the SNpc or knockout of SYT11 restricted to dopaminergic neuron PMID: 29311685
- Parkin expression is inversely correlated with HIF-1alpha expression and metastasis in breast cancer. Results reveal an important mechanism for Parkin in tumor suppression and HIF-1alpha regulation. PMID: 29180628
- mitochondrial dysfunction activates the PINK1/Parkin signaling and mitophagy in renal tubular epithelial cells under albumin overload condition. PMID: 29494565
- The authors demonstrate that RABGEF1, the upstream factor of the endosomal Rab GTPase cascade, is recruited to damaged mitochondria via ubiquitin binding downstream of Parkin. RABGEF1 directs the downstream Rab proteins, RAB5 and RAB7A, to damaged mitochondria, whose associations are further regulated by mitochondrial Rab-GAPs. PMID: 29360040
- DNAJ proteins keep Parkin C289G mutant protein in a soluble, degradation-competent form. PMID: 27713507
- S-nitrosylated PINK1 decreases Parkin translocation to mitochondrial membranes PMID: 29166608
- Parkinsonism associated with Parkin gene mutation is one of the most common familial forms of Parkinson Disease, which is characterized by early onset of symptoms, slow progression, elective dopaminergic neuronal loss and the absence of Lewy bodies. PMID: 28523222
- A transcriptional repressor network including THAP domain containing 11 protein (THAP11) was identified and negatively regulates endogenous PARKIN abundance. PMID: 29269392
- Study explored the role of parkin proteins in Parkinson's disease (PD) neurodegeneration by analyzing their expression profile in an in vitro model exposed to divers neurotoxins. Results showed that up- or down-regulation of specific splice isoforms may be a direct effect of toxin exposure. Moreover, the isoforms may exert different actions in neurodegeneration via modulation of different molecular pathways. PMID: 28688199
- Mutations in the PARK2 gene were detected in four of the six tested families with a history of early-onset Parkinson disease. PMID: 28913705
- This study showed that the heterozygous Parkin mutation carriers show subtle motor abnormalities when a detailed, specialized motor examination is applied and compared to mutation-negative matched control subjects. PMID: 28716427
- The methylation of SNCA and PARK2 promoter regions were significantly lower in early-onset Parkinson's disease patients compared to control group. Methylation status of the SNCA might be associated with positive family history of Parkinson's disease. PMID: 28830306
- Show that the C-terminal GTPase of the Parkin primary substrates Miro1 and Miro2 are necessary and sufficient for efficient ubiquitination. We present several new X-ray crystal structures of both Miro1 and Miro2 that reveal substrate recognition and ubiquitin transfer to be specific to particular protein domains and lysine residues. PMID: 27605430
- This study showed that the manganese exposure among smelters may lead to a reduced expression of PARK2. PMID: 28826884
- parkin-dependent targeting of misregulated BAX on the mitochondria provides substantial protection against BAX apoptotic activity. PMID: 28760928
- This study indicated that heterozygous deletions and duplications can play an important role in the pathogenesis of Parkinson's disease and can be considered as dominant mutations with low penetrance. PMID: 27798970
- Parkin was found to interact with p53; however, this was abolished in Parkin KO mice model, which prevented p53 degradation reducing inflammatory arthritis. PMID: 28395174
- These findings unveil an important role of Parkin in protecting genome stability through positively regulating translesion DNA synthesis (TLS) upon UV damage, providing a novel mechanistic link between Parkin deficiency and predisposition to skin cancers in PD patients. PMID: 28430587
- Thus, the present study indicated that parkin knockout inhibits neural stem cell differentiation by JNK-dependent proteasomal degradation of p21. PMID: 28656059
- Parkin hyper-activation by pUb(S57) demonstrates the first PINK1-independent route to active parkin, revealing the roles of multiple ubiquitin phosphorylation sites in governing parkin stimulation and catalytic activity. PMID: 28689991
- the results of this study suggest that mutations on specific genes (PARK2 and LRRK2) compromising basal ganglia functioning may be subtly related to language-processing mechanisms. PMID: 28205494
- This study identified five microRNAs that play a role in the etiology of Parkinson's disease likely by modifying expression of PRKN and additional genes required for normal cellular function. PMID: 27717584
- MicroRNA-181a has a role in suppressing parkin-mediated mitophagy and sensitizing neuroblastoma cells to mitochondrial uncoupler-induced apoptosis PMID: 27281615
- Findings suggest that PARK2 might have a tumor suppressor role in the development of chronic obstructive pulmonary disease (COPD) and lung cancer. PMID: 27329585
- Here we review the evidence supporting PINK1/Parkin mitophagy in vivo and its causative role in neurodegeneration, and outline outstanding questions for future investigations. PMID: 28213158
- Although PARK2 may be a pathological factor for neurodevelopmental disorders , likely not all variants are pathogenic, and a conclusive assessment of PARK2 variant pathogenicity requires an accurate analysis of their location within the coding region and encoded functional domains. PMID: 27824727
- VPS35 regulates parkin substrate AIMP2 toxicity by facilitating lysosomal clearance of AIMP2. PMID: 28383562
- Results show that HERC5 mediates covalent ISG15 conjugation to parkin in mammalian cells and that ISG15 is conjugated to the Lys349 and Lys369 residues of parkin. This ISGylation increases the ubiquitin E3 ligase activity of parkin. Also, some familial Parkinson's disease-associated missense mutations of parkin display defective ISGylation. PMID: 27534820
- an impaired PINK1-PARK2-mediated neuroimmunology pathway contributes to septic death. PMID: 27754761
- This work provided strong new evidence that PARK2 participates to the regulatory networks associated with oxidative phosphorylation and suggested that PARK2 genetic variations could act as a trans regulator of OXPHOS gene macrophage expression in humans. PMID: 27558669
- REVIEW: role of parkin in modulating excitatory and dopaminergic synapse functions PMID: 28335015
- The effects of variants in the Parkin, PINK1, and DJ-1 genes along with evidence for their pathogenicity have been summarized. (Review) PMID: 26965687
- Parkin is a potential link between melanoma and Parkinson's disease PMID: 27297116
- these results unveil a novel functional coupling between Parkin and the CaV2.2 channels. PMID: 28957379
- These results demonstrate the feasibility of using UbFluor for quantitative studies of the biochemistry of RBR E3s and for high-throughput screening of small-molecule activators or inhibitors of PARKIN and other RBR E3 ligases. PMID: 28710279
- data suggest that ROS may act as a trigger for the induction of Parkin/PINK1-dependent mitophagy. PMID: 28848050
- The proportions of some phospholipids and glycosphingolipids were altered in the lipid profiles of parkin-mutant skin fibroblasts obtained from Parkinson disease patients. PMID: 28109117
- Adipogenic process can be dissected into 3 stages according to the participation of PARL-PINK1-Parkin system. Findings reveal the sequential adipogenic events directed by PARL-PINK1-Parkin system, add more evidence supporting the convergence of pathogenesis leading to neurodegenerative and metabolic disease PMID: 28641777
- These results highlight the combined effects of Parkin and PGC-1alpha in the maintenance of mitochondrial homeostasis in dopaminergic neurons. These two factors synergistically control the quality and function of mitochondria, which is important for the survival of neurons in Parkinson's disease. PMID: 28053050
- Data suggest that inactivation of cytosolic parkin in dopaminergic neurons of the substantia nigra contributes to neurodegeneration in sporadic Parkinson disease. [REVIEW] PMID: 28860335
顯示更多
收起更多
-
相關疾病:Parkinson disease (PARK); Parkinson disease 2 (PARK2)
-
亞細胞定位:Cytoplasm, cytosol. Nucleus. Endoplasmic reticulum. Mitochondrion. Mitochondrion outer membrane. Cell projection, neuron projection. Cell junction, synapse, postsynaptic density. Cell junction, synapse, presynapse.
-
蛋白家族:RBR family, Parkin subfamily
-
組織特異性:Highly expressed in the brain including the substantia nigra. Expressed in heart, testis and skeletal muscle. Expression is down-regulated or absent in tumor biopsies, and absent in the brain of PARK2 patients. Overexpression protects dopamine neurons fro
-
數據庫鏈接:
Most popular with customers
-
-
YWHAB Recombinant Monoclonal Antibody
Applications: ELISA, WB, IHC, IF, FC
Species Reactivity: Human, Mouse, Rat
-
Phospho-YAP1 (S127) Recombinant Monoclonal Antibody
Applications: ELISA, WB, IHC
Species Reactivity: Human
-
-
-
-
-















