PRKD1 Antibody
-
中文名稱:PRKD1兔多克隆抗體
-
貨號:CSB-PA139203
-
規格:¥1100
-
圖片:
-
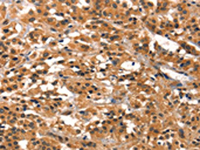
The image on the left is immunohistochemistry of paraffin-embedded Human gastic cancer tissue using CSB-PA139203(PRKD1 Antibody) at dilution 1/15, on the right is treated with synthetic peptide. (Original magnification: ×200)
-
The image on the left is immunohistochemistry of paraffin-embedded Human thyroid cancer tissue using CSB-PA139203(PRKD1 Antibody) at dilution 1/15, on the right is treated with synthetic peptide. (Original magnification: ×200)
-
Gel: 6%SDS-PAGE, Lysate: 40 μg, Lane: 293T cells, Primary antibody: CSB-PA139203(PRKD1 Antibody) at dilution 1/250, Secondary antibody: Goat anti rabbit IgG at 1/8000 dilution, Exposure time: 10 minutes
-
-
其他:
產品詳情
-
Uniprot No.:
-
基因名:
-
別名:KPCD1_HUMAN antibody; nPKC D1 antibody; nPKC mu antibody; nPKC-D1 antibody; nPKC-mu antibody; nPKCD1 antibody; nPKCmu antibody; PKC antibody; PKC MU antibody; PKCM antibody; PKCmu antibody; PKD 1 antibody; PKD antibody; PKD1 antibody; PRKCM antibody; PRKD 1 antibody; Prkd1 antibody; Protein kinase C mu antibody; Protein kinase C mu type antibody; Protein kinase D antibody; Protein kinase D1 antibody; Serine/threonine protein kinase D1 antibody; Serine/threonine-protein kinase D1 antibody
-
宿主:Rabbit
-
反應種屬:Human,Mouse,Rat
-
免疫原:Synthetic peptide of Human PRKD1
-
免疫原種屬:Homo sapiens (Human)
-
標記方式:Non-conjugated
-
抗體亞型:IgG
-
純化方式:Antigen affinity purification
-
濃度:It differs from different batches. Please contact us to confirm it.
-
保存緩沖液:-20°C, pH7.4 PBS, 0.05% NaN3, 40% Glycerol
-
產品提供形式:Liquid
-
應用范圍:ELISA,WB,IHC
-
推薦稀釋比:
Application Recommended Dilution ELISA 1:1000-1:2000 WB 1:200-1:1000 IHC 1:25-1:100 -
Protocols:
-
儲存條件:Upon receipt, store at -20°C or -80°C. Avoid repeated freeze.
-
貨期:Basically, we can dispatch the products out in 1-3 working days after receiving your orders. Delivery time maybe differs from different purchasing way or location, please kindly consult your local distributors for specific delivery time.
-
用途:For Research Use Only. Not for use in diagnostic or therapeutic procedures.
相關產品
靶點詳情
-
功能:Serine/threonine-protein kinase that converts transient diacylglycerol (DAG) signals into prolonged physiological effects downstream of PKC, and is involved in the regulation of MAPK8/JNK1 and Ras signaling, Golgi membrane integrity and trafficking, cell survival through NF-kappa-B activation, cell migration, cell differentiation by mediating HDAC7 nuclear export, cell proliferation via MAPK1/3 (ERK1/2) signaling, and plays a role in cardiac hypertrophy, VEGFA-induced angiogenesis, genotoxic-induced apoptosis and flagellin-stimulated inflammatory response. Phosphorylates the epidermal growth factor receptor (EGFR) on dual threonine residues, which leads to the suppression of epidermal growth factor (EGF)-induced MAPK8/JNK1 activation and subsequent JUN phosphorylation. Phosphorylates RIN1, inducing RIN1 binding to 14-3-3 proteins YWHAB, YWHAE and YWHAZ and increased competition with RAF1 for binding to GTP-bound form of Ras proteins (NRAS, HRAS and KRAS). Acts downstream of the heterotrimeric G-protein beta/gamma-subunit complex to maintain the structural integrity of the Golgi membranes, and is required for protein transport along the secretory pathway. In the trans-Golgi network (TGN), regulates the fission of transport vesicles that are on their way to the plasma membrane. May act by activating the lipid kinase phosphatidylinositol 4-kinase beta (PI4KB) at the TGN for the local synthesis of phosphorylated inositol lipids, which induces a sequential production of DAG, phosphatidic acid (PA) and lyso-PA (LPA) that are necessary for membrane fission and generation of specific transport carriers to the cell surface. Under oxidative stress, is phosphorylated at Tyr-463 via SRC-ABL1 and contributes to cell survival by activating IKK complex and subsequent nuclear translocation and activation of NFKB1. Involved in cell migration by regulating integrin alpha-5/beta-3 recycling and promoting its recruitment in newly forming focal adhesion. In osteoblast differentiation, mediates the bone morphogenetic protein 2 (BMP2)-induced nuclear export of HDAC7, which results in the inhibition of HDAC7 transcriptional repression of RUNX2. In neurons, plays an important role in neuronal polarity by regulating the biogenesis of TGN-derived dendritic vesicles, and is involved in the maintenance of dendritic arborization and Golgi structure in hippocampal cells. May potentiate mitogenesis induced by the neuropeptide bombesin or vasopressin by mediating an increase in the duration of MAPK1/3 (ERK1/2) signaling, which leads to accumulation of immediate-early gene products including FOS that stimulate cell cycle progression. Plays an important role in the proliferative response induced by low calcium in keratinocytes, through sustained activation of MAPK1/3 (ERK1/2) pathway. Downstream of novel PKC signaling, plays a role in cardiac hypertrophy by phosphorylating HDAC5, which in turn triggers XPO1/CRM1-dependent nuclear export of HDAC5, MEF2A transcriptional activation and induction of downstream target genes that promote myocyte hypertrophy and pathological cardiac remodeling. Mediates cardiac troponin I (TNNI3) phosphorylation at the PKA sites, which results in reduced myofilament calcium sensitivity, and accelerated crossbridge cycling kinetics. The PRKD1-HDAC5 pathway is also involved in angiogenesis by mediating VEGFA-induced specific subset of gene expression, cell migration, and tube formation. In response to VEGFA, is necessary and required for HDAC7 phosphorylation which induces HDAC7 nuclear export and endothelial cell proliferation and migration. During apoptosis induced by cytarabine and other genotoxic agents, PRKD1 is cleaved by caspase-3 at Asp-378, resulting in activation of its kinase function and increased sensitivity of cells to the cytotoxic effects of genotoxic agents. In epithelial cells, is required for transducing flagellin-stimulated inflammatory responses by binding and phosphorylating TLR5, which contributes to MAPK14/p38 activation and production of inflammatory cytokines. May play a role in inflammatory response by mediating activation of NF-kappa-B. May be involved in pain transmission by directly modulating TRPV1 receptor. Plays a role in activated KRAS-mediated stabilization of ZNF304 in colorectal cancer (CRC) cells. Regulates nuclear translocation of transcription factor TFEB in macrophages upon live S.enterica infection.
-
基因功能參考文獻:
- PKD1 not only regulates the hypoxic glycolytic metabolism of cancer cells via regulation of the expression of HIF-1alpha and glycolytic enzymes. PMID: 29901206
- these results describe a novel mechanism governing PRKD1 gene expression in pancreatic ductal adenocarcinoma and provide a functional link between oncogenic KRas, NF-kappaB and expression of PRKD1. PMID: 27649783
- p110alpha subunit of PI3K and PKD mediate YAP activation in response to insulin and neurotensin in pancreatic cancer cells. Inhibitors of PI3K or PKD disrupt crosstalk between insulin receptor and GPCR signaling systems by blocking YAP/TEAD-regulated gene expression in pancreatic cancer cells PMID: 28360038
- High PRKD1 expression is associated with drug resistance in breast cancer. PMID: 26895471
- Our findings directly associate the AR/NCOA1 complex with PRKD1 regulation and cellular migration and support the concept of therapeutic inhibition of NCOA1 in prostate cancer. PMID: 27255895
- None of the Polymorphous low-grade adenocarcinoma (PLGA) lacking PRKD1 somatic mutations or PRKD gene family rearrangements harboured somatic mutations in the kinase domains of the PRKD2 or PRKD3 genes. PMID: 26426580
- A single nucleotide polymorphism located within the fourth intron of PRKD1 (rs57803087) was strongly associated with DPP-4 inhibitor response in patients with type 2 diabetes PMID: 28160554
- Mutation in PRKD1 gene is associated with congenital heart defects. PMID: 27479907
- Bradykinin stimulates myofibroblast migration through protein kinase D-mediated activation of COX-2 and Hsp27. PMID: 28032559
- Lysophosphatidic acid/PKD-1 signaling leads to nuclear accumulation of histone deacetylase 7, where it interacts with forkhead box protein O1 to suppress endothelial CD36 transcription and mediates silencing of antiangiogenic switch, resulting in proangiogenic and proarteriogenic reprogramming. PMID: 27013613
- This study discovered and characterized a novel, highly conserved N-terminal domain, comprising 92 amino acids, which mediates dimerization of Protein Kinase D (PKD) isoforms, PKD1, PKD2, and PKD3 monomers. PMID: 27662904
- MC stimulation by physical contact with T cells results in PKD activation, leading to the phosphorylation of p38, degranulation and release of cytokines. Understanding the molecular events associated with T cell-induced MC activation might lead to therapeutic approaches for controlling T cell-mediated inflammatory processes in which MC participate. PMID: 28049203
- Data suggest the role of the phospholipase C epsilon-Protein kinase D-PEA15 protein-ribosomal S6 kinase-IkappaB-NF-kappa B pathway in facilitating inflammation and inflammation-associated carcinogenesis in the colon. PMID: 27053111
- PRKD1 Mutation is not associated with Solid Tumors and Leukemias. PMID: 26518775
- Knockdown of PKD1 did not affect NMDAR internalization but prevented the phosphorylation and inhibition of remaining surface NMDARs and NMDAR-mediated synaptic functions. PMID: 26584860
- Studies indicate that the loss of protein kinase D PKD1 is thought to promote invasion and metastasis, while PKD2 and upregulated PKD3 to be positive regulators of proliferation. PMID: 26253275
- it is highly possible that PKD1 plays a critical role in signal transduction from the PKC pathway to the tyrosine kinase pathway PMID: 26338704
- Positional mapping of PRKD1, NRP1 and PRDM1 as novel candidate disease genes in truncus arteriosus PMID: 25713110
- Protein kinase D is increased and activated in lung epithelial cells and macrophages in idiopathic pulmonary fibrosis. PMID: 25000413
- a positive relationship between L1 and pPKD1 in both cultured cerebellar neurons and human cerebellar tissue, suggesting that L1 functions in the modulation of PKD1 phosphorylation. PMID: 25445362
- our results demonstrate that PKD1 signaling plays a cell survival role during early stages of oxidative stress in dopaminergic neurons PMID: 24806360
- Results demonstrate a putative tumor-suppressor function of PKD1 in colon tumorigenesis via modulation of beta-catenin functions in cells. PMID: 25149539
- PRKD1 is aberrantly methylated and silenced in its expression in invasive breast cancer. PMID: 23971832
- A novel and recurrent gene rearrangements in PRKD1-3 primarily in cribriform adenocarcinoma of minor salivary gland is described, suggesting a possible pathogenetic dichotomy from "classic" polymorphous low-grade adenocarcinoma. PMID: 24942367
- PRKD1 hotspot mutations encoding p.Glu710Asp in 72.9% of polymorphous low-grade adenocarcinomas, but not in other salivary gland tumors. PMID: 25240283
- PKD1 may impair cancer cell motility and invasive properties by specific interaction with SSH1L at the cell periphery and phosphorylation of the Ser-978 substrate motif. PMID: 24336522
- PRKD1 mRNA was significantly upregulated in esophageal squamous cell carcinoma compared to non-tumorous tissue. PMID: 23621299
- Protein kinase D1 is essential for Ras-induced senescence and tumor suppression by regulating senescence-associated inflammation. PMID: 24828530
- High PRKD1 along with positive nodal status correlate with the recurrence of primary laryngeal cancer. PMID: 23950933
- This review addresses the role of PKD in the organization of the actin cytoskeleton with a particular emphasis on the substrates associated with this function. PKD regulates cancer cell migration and invasion. [review] PMID: 23688773
- PKD1 directly phosphorylates VASP at two serine residues, Ser-157 and Ser-322. These phosphorylations occur in response to RhoA activation and mediate VASP re-localization from focal contacts to the leading edge region. PMID: 23846685
- These results suggest that respiratory syncytial virus-induced airway epithelial barrier disruption involves PKD-dependent actin cytoskeletal remodeling, possibly dependent on cortactin activation. PMID: 23926335
- These results indicate that PKD is downstream of PLD and suggest that PKD is one of the mechanisms through which PLD promotes aldosterone production in response to AngII in adrenal glomerulosa cells. PMID: 23178798
- Neuregulin mediates F-actin-driven cell migration through inhibition of protein kinase D1 via Rac1 protein PMID: 23148218
- The PKD pathway couples receptor tyrosine kinase signaling to an integrin switch via Rabaptin-5 phosphorylation. PMID: 22975325
- The role of PKD is found to mediate the regulation of vascular morphogenesis. PMID: 22855295
- Snail1 and its phosphorylation at Ser-11 were required and sufficient to control PKD1-mediated anchorage-independent growth and anchorage-dependent proliferation of different tumor cells PMID: 22791710
- CERT is at a convergence point of non-vesicular and vesicular transport processes and plays a central role within the PKD signaling network at the Golgi complex. (Review) PMID: 22226883
- PKCmicro isoform is an important factor in the abnormal growth of vascular endothelial cells induced by 1,2-dimethylthdrazine. PMID: 22664730
- PKD1 overexpression increases the aggressiveness of MCF-7 breast cancer cells through enhancing their oncogenic properties PMID: 22245102
- Results describe PKD as a novel Vps34 kinase that functions as an effecter of autophagy under oxidative stress. PMID: 22095288
- Protein kinase D regulates RhoA activity via phosphorylation rhotekin at Ser-435. PMID: 22228765
- Data showed that regulation of SNAI1 through PKD1 occurs in vivo in normal breast ductal tissue and is decreased or lost in invasive ductal carcinoma. PMID: 22276203
- it is increasingly apparent that PKD1 is a key player in the regulation of cardiac hypertrophy, most likely through its effect on the transcriptional regulation of fetal gene programming via the phosphorylation of HDAC5. [Review] PMID: 22260707
- downregulation of PKD1 expression may determine the behavior of gastric tumor cells, which promotes invasive phenotype and could result in general poor prognosis. PMID: 22217708
- agonist-dependent increases in diacylglycerol accumulation lead to the activation of protein kinase C and PKC-dependent phosphorylation of PKD1 at two conserved serine residues in the activation loop; this modification increases PKD1 catalytic activity PMID: 22188925
- PAR(1) and PAR(2) are involved in WM9 cell proliferation and secretion of IL-8 by activation of PKD1. PMID: 21993564
- serine 1884 is essential for the regulation of hCaV1.2 by PKD PMID: 22100296
- protein kinase D activity is essential for exercise-induced MEF2-dependent skeletal muscle remodelling in vivo PMID: 21848513
- PolyI:C-dependent barrier disruption is mediated by disassembly of epithelial apical junctions, which is dependent on PKD signaling PMID: 21996340
顯示更多
收起更多
-
相關疾病:Congenital heart defects and ectodermal dysplasia (CHDED)
-
亞細胞定位:Cytoplasm. Cell membrane. Golgi apparatus, trans-Golgi network. Note=Translocation to the cell membrane is required for kinase activation.
-
蛋白家族:Protein kinase superfamily, CAMK Ser/Thr protein kinase family, PKD subfamily
-
數據庫鏈接:
Most popular with customers
-
YWHAB Recombinant Monoclonal Antibody
Applications: ELISA, WB, IHC, IF, FC
Species Reactivity: Human, Mouse, Rat
-
Phospho-YAP1 (S127) Recombinant Monoclonal Antibody
Applications: ELISA, WB, IHC
Species Reactivity: Human
-
-
-
-
-
-















