PRKAB1 Antibody
-
中文名稱:PRKAB1兔多克隆抗體
-
貨號:CSB-PA102683
-
規格:¥1100
-
圖片:
-
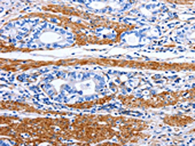
The image on the left is immunohistochemistry of paraffin-embedded Human stomach cancer tissue using CSB-PA102683(PRKAB1 Antibody) at dilution 1/15, on the right is treated with synthetic peptide. (Original magnification: ×200)
-
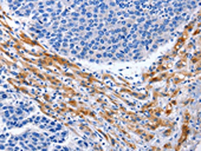
The image on the left is immunohistochemistry of paraffin-embedded Human liver cancer tissue using CSB-PA102683(PRKAB1 Antibody) at dilution 1/15, on the right is treated with synthetic peptide. (Original magnification: ×200)
-
-
其他:
產品詳情
-
Uniprot No.:
-
基因名:
-
別名:1300015D22Rik antibody; 5''-AMP-activated protein kinase subunit beta-1 antibody; 5'-AMP-activated protein kinase beta-1 subunit antibody; AAKB1_HUMAN antibody; AMP-activated protein kinase beta subunit antibody; AMP-ACTIVATED PROTEIN KINASE; NONCATALYTIC; BETA-1 antibody; AMP-activated; noncatalytic; beta-1 antibody; AMPK antibody; AMPK beta 1 chain antibody; AMPK subunit beta-1 antibody; AMPK-BETA-1 antibody; AMPKb antibody; AU021155 antibody; E430008F22 antibody; HAMPKb antibody; MGC17785 antibody; PRKAB1 antibody; Protein kinase AMP activated non catalytic subunit beta 1 antibody; protein kinase; AMP-activated; beta 1 non-catalytic subunit antibody; protein kinase; AMP-activated; noncatalytic; beta-1 antibody
-
宿主:Rabbit
-
反應種屬:Human,Mouse,Rat
-
免疫原:Synthetic peptide of Human PRKAB1
-
免疫原種屬:Homo sapiens (Human)
-
標記方式:Non-conjugated
-
抗體亞型:IgG
-
純化方式:Antigen affinity purification
-
濃度:It differs from different batches. Please contact us to confirm it.
-
保存緩沖液:-20°C, pH7.4 PBS, 0.05% NaN3, 40% Glycerol
-
產品提供形式:Liquid
-
應用范圍:ELISA,IHC
-
推薦稀釋比:
Application Recommended Dilution ELISA 1:1000-1:2000 IHC 1:10-1:50 -
Protocols:
-
儲存條件:Upon receipt, store at -20°C or -80°C. Avoid repeated freeze.
-
貨期:Basically, we can dispatch the products out in 1-3 working days after receiving your orders. Delivery time maybe differs from different purchasing way or location, please kindly consult your local distributors for specific delivery time.
-
用途:For Research Use Only. Not for use in diagnostic or therapeutic procedures.
相關產品
靶點詳情
-
功能:Non-catalytic subunit of AMP-activated protein kinase (AMPK), an energy sensor protein kinase that plays a key role in regulating cellular energy metabolism. In response to reduction of intracellular ATP levels, AMPK activates energy-producing pathways and inhibits energy-consuming processes: inhibits protein, carbohydrate and lipid biosynthesis, as well as cell growth and proliferation. AMPK acts via direct phosphorylation of metabolic enzymes, and by longer-term effects via phosphorylation of transcription regulators. Also acts as a regulator of cellular polarity by remodeling the actin cytoskeleton; probably by indirectly activating myosin. Beta non-catalytic subunit acts as a scaffold on which the AMPK complex assembles, via its C-terminus that bridges alpha (PRKAA1 or PRKAA2) and gamma subunits (PRKAG1, PRKAG2 or PRKAG3).
-
基因功能參考文獻:
- we studied the role of the beta 1 subunit in erythrocytes and observed microcytic anemia with compensatory extramedullary hematopoiesis together with splenomegaly and increased osmotic resistance. PMID: 27666489
- Salicylate activates the AMP-activated protein kinase (AMPK) by binding at the A-769662 drug binding site on the AMPK beta1-subunit PMID: 25940306
- findings suggest that the reduced expression of AMPK-beta1 confers lower AMPK activity, which enhances the oncogenic capacity of advanced-stage ovarian cancer. PMID: 24602453
- The effects of ethanol on AMPK and PP2A may result in activation of ChREBP, providing another potential mechanism for ethanol-induced hepatic steatosis. PMID: 23266705
- Data indicate that a diet high in iron improves glucose tolerance by activating AMPK through mechanisms that include deacetylation. PMID: 23515442
- LKB1 controls IRS1-dependent adipogenesis via AMPK in white adipose tissue. PMID: 23396401
- Changes in translational control of mitochondrial proteins are signaled by the activation of AMPK and general control non-derepressible kinase 2 (GCN2), leading also to the activation of autophagy. PMID: 22435535
- Phosphorylation levels of AMPK and glycolysis were up-regulated to confer an advantage of survival for MERRF skin fibroblasts. PMID: 22001850
- Adipose tissues of markedly obese insulin resistant individuals uniformly show decreased AMPK activity and increased oxidative stress compared with insulin sensitive patients. PMID: 22323564
- Adiponectin could attenuate renal dysfunction associated with mesangial cells disorders through AMPK-mTOR signal pathway. PMID: 22105511
- 1q21.1 copy number variant (CNV) results in gene function changes, specifically in the deletion containing lymphobalst cell lines, where AMPK was attenuated. PMID: 21824431
- AMPK, Akt and mTOR pathways have roles in resveratrol-enhanced prostate cancer cell response to ionizing radiation PMID: 22029423
- cisplatin-triggered activation of AMPK and subsequent suppression of mTOR activity can induce an autophagic response that protects tumour cells from cisplatin-mediated apoptotic death PMID: 20196784
- LKB1-AMPK negatively regulated mTOR function in tumor. PMID: 21859551
- NT5C1A suppression promotes AMP-activated protein kinase (AMPK) phosphorylation and metabolism in human and mouse skeletal muscle PMID: 21873433
- Inactivation of fumarate hydratase drives a metabolic shift to aerobic glycolysis in FH-de fi cient kidney tumors resulting in decreased levels of AMP-activated kinase. PMID: 21907923
- Phosphorylation of AMPK by Ulk1 represents a negative feedback circuit. PMID: 21460634
- Androgen deprivation and hypoxia augmented AMPK activation and triggered autophagy in androgen-dependent prostate cancer cells. PMID: 21554950
- Glucose deprivation resulted in activation of AMPK and inhibition of Akt phosphorylation PMID: 21570709
- Glucose restriction or treatment of human diploid fibroblasts (HDFs) with the activators of the AMPK/p53 pathway induced the expression of IFI16 protein. PMID: 21573174
- results of this study show that AMPK induces MUC5B expression through the p38 MAPK signaling pathway in airway epithelial cells. PMID: 21619869
- The connections between AMPK and FoxO3A, are reviewed. PMID: 20190568
- The aim of this study was to investigate the effects of adiponectin on StAR protein expression, steroidogenic genes, and cortisol production and to dissect the signalling cascades involved in the activation of StAR expression. PMID: 21334384
- High AMPK expression is associated with ovarian carcinoma. PMID: 21271224
- AMPK is abnormally activated in tangle- and pre-tangle-bearing neurons in Alzheimer's disease and other tauopathies. PMID: 20957377
- Endoplasmic reticulum stress triggers suppression of AMPK while increasing C/EBPbeta and pCREB expression which activates PEPCK gene transcription. PMID: 20797423
- There is a mutual suppressive interaction between AMPK and Akt. PMID: 21042744
- AMPK-mediated PLD1 activation is required for (14)C-glucose uptake through ERK stimulation PMID: 20231899
- The LKB1/AMPK/TSC tumor suppressor axis is functional in acute myeloid leukemia. PMID: 20668229
- These results suggest that the modification introduced by the laforin-malin complex could affect the subcellular distribution of AMPK beta subunits. PMID: 20534808
- Data suggest that AMPK is required for the serum starvation-related increase in insulin-stimulated glucose transport, with ATM as a possible downstream effector. PMID: 20810907
- The nuclear translocation of GAPDH might be regulated by the PI3K signaling pathway acting mainly as a nuclear export signal and the AMPK signaling pathway acting as a nuclear import signal. PMID: 20177150
- These observations support a role for AMPK in the regulation of Na+-coupled glucose transport. PMID: 20334581
- AMP-activated protein kinase inhibition mediates hepatitis C virus genome replication and lipid accumulation PMID: 20534540
- Data demonstrate that autophagy depends on the early activation of the AMP-activated protein kinase (AMPK)/mTOR-mediated pathway. PMID: 20083895
- Data showed that HDL-induced activation of AMPK is dependent on both sphingosine 1-phosphate receptors and scavenger receptor class B type I. PMID: 20018878
- Data suggest that upregulation of adipose triglyceride lipase and suppression of hormone-sensitive lipase and AMP kinase signaling mediate high-fat diet-induced alterations in lipolysis and lipid utilization in adipocytes. PMID: 20107043
- findings suggest that CCL2 hyperactivates mTORC1 through simultaneous regulation of both AMPK and Akt pathways and reveals a new network that promotes prostate cancer: CCL2-AMPK-mTORC1-survivin. PMID: 20019839
- Chlorophyll a up-regulated the AMPK and p-AMPK levels, and down-regulated the expression of PPAR-gamma. PMID: 19963029
- we will examine the evidence that AMP-activated protein kinase and SIRT1 both regulate each other and share many common target molecules--REVIEW PMID: 20103737
- These results indicate that AMPK activators facilitate the activation by TRAIL of an apoptotic cell death program through a mechanism independent of AMPK and dependent on the down-regulation of cFLIP levels. PMID: 19896469
- It is necessary to clarify the tissue-specific and stress-specific activation mechanism of AMPK--REVIEW PMID: 19911004
- AMPK is a novel and biologically significant participant with a tumor suppressive activity in the mitotic/cytokinetic phase of the cell cycle. PMID: 19844168
- Calmodulin-dependent protein kinase kinase-beta activates AMPK without forming a stable complex. There is a synergistic effects of Ca2+ and AMP. PMID: 19958286
- Data show that AMPK activation suppressed Ox-LDL-induced macrophage proliferation by suppressing GM-CSF expression and inducing cell cycle arrest. PMID: 19843515
- AMP-activated protein kinase has a role in gene expression in single islet beta-cells [review] PMID: 15289653
- Dipyridamole, an adenosine transporter inhibitor, and 5'-amino-5'-deoxyadenosine, an adenosine kinase inhibitor, blocked the effect of AICAR on the down-regulation of the insulin receptor protein, mRNA, and promoter activity. PMID: 15694368
- Reduced activation of AMPK by globular adiponectin in obese and obese type 2 diabetic subjects is not caused by reduced adiponectin receptor expression. PMID: 15769985
- it is likely that the AMPK-GDE association is a novel mechanism regulating AMPK activity and the resultant fatty acid oxidation and glucose uptake PMID: 15886229
- These results suggested that the combination of 5-FU and genistein exert a novel chemotherapeutic effect in colon cancers, and AMPK may be a regulatory molecule of COX-2 expression, further implying its involvement in cytotoxicity caused by genistein. PMID: 15896711
顯示更多
收起更多
-
蛋白家族:5'-AMP-activated protein kinase beta subunit family
-
數據庫鏈接:
Most popular with customers
-
-
YWHAB Recombinant Monoclonal Antibody
Applications: ELISA, WB, IHC, IF, FC
Species Reactivity: Human, Mouse, Rat
-
Phospho-YAP1 (S127) Recombinant Monoclonal Antibody
Applications: ELISA, WB, IHC
Species Reactivity: Human
-
-
-
-
VDAC1 Recombinant Monoclonal Antibody
Applications: ELISA, WB, IHC
Species Reactivity: Human, Mouse, Rat
-
VCP Recombinant Monoclonal Antibody
Applications: ELISA, WB, IHC, IF, IP
Species Reactivity: Human, Rat















