PRKAA1 (Ab-174/172) Antibody
-
中文名稱:PRKAA1 (Ab-174/172)兔多克隆抗體
-
貨號:CSB-PA913725
-
規格:¥2024
-
圖片:
-
Western blot analysis of extracts from A549, HepG2 and 3T3 cells using AMPKa1/AMPKa2(Ab-174/172) Antibody.
-
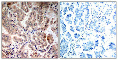
Immunohistochemical analysis of paraffin-embedded human breast carcinoma tissue using AMPKa1/AMPKa2(Ab-174/172) Antibody(left) or the same antibody preincubated with blocking peptide(right).
-
Immunofluorescence staining of methanol-fixed Hela cells using AMPKa1/AMPKa2(Ab-174/172) Antibody.
-
-
其他:
產品詳情
-
產品名稱:Rabbit anti-Homo sapiens (Human) PRKAA1 Polyclonal antibody
-
Uniprot No.:
-
基因名:
-
宿主:Rabbit
-
反應種屬:Human,Mouse,Rat
-
免疫原:Peptide sequence around aa. 172~176/170~174 (L-R-T-S-C) derived from Human AMPKa1/AMPKa2.
-
免疫原種屬:Homo sapiens (Human)
-
克隆類型:Polyclonal
-
純化方式:Antibodies were produced by immunizing rabbits with synthetic peptide and KLH conjugates. Antibodies were purified by affinity-chromatography using epitope-specific peptide.
-
濃度:It differs from different batches. Please contact us to confirm it.
-
產品提供形式:Liquid
-
應用范圍:ELISA,WB,IHC,IF
-
推薦稀釋比:
Application Recommended Dilution WB 1:500-1:1000 IHC 1:50-1:200 IF 1:100-1:200 -
Protocols:
-
儲存條件:Upon receipt, store at -20°C or -80°C. Avoid repeated freeze.
-
貨期:Basically, we can dispatch the products out in 1-3 working days after receiving your orders. Delivery time maybe differs from different purchasing way or location, please kindly consult your local distributors for specific delivery time.
-
用途:For Research Use Only. Not for use in diagnostic or therapeutic procedures.
相關產品
靶點詳情
-
功能:Catalytic subunit of AMP-activated protein kinase (AMPK), an energy sensor protein kinase that plays a key role in regulating cellular energy metabolism. In response to reduction of intracellular ATP levels, AMPK activates energy-producing pathways and inhibits energy-consuming processes: inhibits protein, carbohydrate and lipid biosynthesis, as well as cell growth and proliferation. AMPK acts via direct phosphorylation of metabolic enzymes, and by longer-term effects via phosphorylation of transcription regulators. Also acts as a regulator of cellular polarity by remodeling the actin cytoskeleton; probably by indirectly activating myosin. Regulates lipid synthesis by phosphorylating and inactivating lipid metabolic enzymes such as ACACA, ACACB, GYS1, HMGCR and LIPE; regulates fatty acid and cholesterol synthesis by phosphorylating acetyl-CoA carboxylase (ACACA and ACACB) and hormone-sensitive lipase (LIPE) enzymes, respectively. Regulates insulin-signaling and glycolysis by phosphorylating IRS1, PFKFB2 and PFKFB3. AMPK stimulates glucose uptake in muscle by increasing the translocation of the glucose transporter SLC2A4/GLUT4 to the plasma membrane, possibly by mediating phosphorylation of TBC1D4/AS160. Regulates transcription and chromatin structure by phosphorylating transcription regulators involved in energy metabolism such as CRTC2/TORC2, FOXO3, histone H2B, HDAC5, MEF2C, MLXIPL/ChREBP, EP300, HNF4A, p53/TP53, SREBF1, SREBF2 and PPARGC1A. Acts as a key regulator of glucose homeostasis in liver by phosphorylating CRTC2/TORC2, leading to CRTC2/TORC2 sequestration in the cytoplasm. In response to stress, phosphorylates 'Ser-36' of histone H2B (H2BS36ph), leading to promote transcription. Acts as a key regulator of cell growth and proliferation by phosphorylating TSC2, RPTOR and ATG1/ULK1: in response to nutrient limitation, negatively regulates the mTORC1 complex by phosphorylating RPTOR component of the mTORC1 complex and by phosphorylating and activating TSC2. In response to nutrient limitation, promotes autophagy by phosphorylating and activating ATG1/ULK1. In that process also activates WDR45. In response to nutrient limitation, phosphorylates transcription factor FOXO3 promoting FOXO3 mitochondrial import. AMPK also acts as a regulator of circadian rhythm by mediating phosphorylation of CRY1, leading to destabilize it. May regulate the Wnt signaling pathway by phosphorylating CTNNB1, leading to stabilize it. Also has tau-protein kinase activity: in response to amyloid beta A4 protein (APP) exposure, activated by CAMKK2, leading to phosphorylation of MAPT/TAU; however the relevance of such data remains unclear in vivo. Also phosphorylates CFTR, EEF2K, KLC1, NOS3 and SLC12A1.
-
基因功能參考文獻:
- Silencing of TRPC5 and inhibition of autophagy reverses adriamycin drug resistance in breast carcinoma via CaMKKbeta/AMPKalpha/mTOR pathway. PMID: 28600513
- genetic inhibition of AMPK in the ventromedial nucleus of the hypothalamus (VMH) protects against high-fat diet (HFD)-induced obesity by increasing brown adipose tissue (BAT) thermogenesis and subsequently energy expenditure. PMID: 30104247
- Astragalus polysaccharide (APS) improved insulin sensitivity by enhancing glucose uptake, possibly through AMPK activation. These results suggested that APS might be a therapeutic candidate for insulin resistance. PMID: 30347867
- This case-control study provided the evidence that rs13361707CC, rs10074991GG, rs461404GG, and rs154268CC are associated with increased gastric cancer risk, especially for NCGC, and that patients with rs10074991 G or rs13361707 C allele have a poor OS. PMID: 30253744
- In brief, TAK1 can function as direct AMPK upstream kinase in specific contexts and in response to a subset of TAK1 activating stimuli. Further research is needed to define the intricate signals that are conditional for TAK1 to phosphorylate and activate AMPKalpha at T172. [review] PMID: 30111748
- Low p-AMPK expression is associated with prostate cancer. PMID: 29566977
- In terms of the mechanism, GL-V9 could promote the expression and activity of AMPK, leading to the decrease of G6PD and the increase of p-ACC. Thus, the level of PPP was suppressed, whereas FAO was highly enhanced. PMID: 29702405
- AS-IV reduced the growth, invasion, migration, and angiogenesis of lung cancer by blocking the M2 polarization of macrophages partially through the AMPK signaling pathway, which appears to play an important role in AS-IV's ability to inhibit the metastasis of lung cancer. PMID: 30157903
- It is an intracellular central metabolic sensor as well as a regulator, has been demonstrated to play significant roles in the contracting skeletal muscles, suggesting that AMPK should be one of the key molecules mediating metabolic effects during physical exercise. PMID: 30270274
- Our results showed that administration of Hcy reduced the SIRT1/AMPK/PGC-1alpha signaling in chondrocytes, leading to mitochondrial dysfunction as a result of increased oxidative stress and apoptosis PMID: 29413962
- Further study suggested that empagliflozin exerted its effects through inhibition of mitochondrial fission in an adenosine monophosphate (AMP)-activated protein kinase (AMPK)-dependent manner PMID: 29306791
- Berberine (BBR), an effective suppressor of SREBP1 and lipogenesis regulated through reactive oxygen species (ROS)/AMPK pathway, selectively inhibited the growth of G-R nonsmall cell lung cancer cells and rheumatoid arthritis patiens but not that of normal cells PMID: 28665143
- The knockdown of AMPK also revealed significant cytotoxicity in hypoxiamimicking conditions. These results clearly demonstrated that autophagy, especially mitophagy, was induced by the AMPK pathway when hepatocellular carcinoma cells were subjected to hypoxic conditions and played an important role in the adaptation of these cells to such conditions. PMID: 29484444
- Our results found that, in the mice with T2D and AD, the activators of PPARg/AMPK signaling pathway significantly increased the expression level of IDE, and decreased the accumulation of Ab40 and Ab42, as well as alleviated the spatial learning and recognition impairments. PMID: 29222348
- these results demonstrate that AMPK downregulation is not a triggering factor in fatty liver development but in contrast, establish the therapeutic impact of pharmacological AMPK re-activation in the treatment of fatty liver disease. PMID: 29343420
- AMPK played an important role in regulating cell migration, matrix contraction, and MMP production in nasal polyp-derived fibroblasts (NPDF). PMID: 29122080
- Proteomic analysis discovers that a novel E3 ligase, RNF44, accounts for ubiquitin-proteasome system of AMPK-alpha1 degradation in BRAF inhibitor-resistant melanoma cells. PMID: 29094484
- In conclusion, in the present study, mitophagy was activated and played a crucial role in cardioprotection under chronic hypoxia. AMPK was involved in mitophagy regulation, thereby providing a potential therapeutic target for heart diseases associated with chronic hypoxia. PMID: 29115402
- Our findings, focusing on energy balance, provide a mechanistic understanding of the promising effect of early insulin initiation on lipotoxicity. Insulin, by recovering UCP3 activity, alleviated energy surfeit and potentiated AMPK-mediated lipid homeostasis in skeletal muscle cells following exposure to PA and in gastrocnemius of mice fed HFD. PMID: 29039450
- identify a patient with hypotonia, weakness, delayed milestones and neurological impairment since birth harbouring a novel homozygous mutation in the AMPK catalytic alpha-subunit 1, encoded by the PRKAA1 gene. The homozygous mutation p.S487L in isoform 1 present in the patient is in a cryptic residue for AMPK activity. PMID: 29526819
- the present study showed that tetrandrine induced autophagy in human bladder cancer cells by regulating the AMPK/mTOR signaling pathway, which contributed to the apoptosis induction by tetrandrine, indicating that tetrandrine may be a potential anticancer candidate for the treatment of bladder cancer, and autophagy may be a possible mechanism for cancer therapy. PMID: 29048631
- this study found that upregulation of MACC1 in ESCC was associated with lymph node metastasis of patients, and MACC1 regulated ESCC cell proliferation, apoptosis, migration and invasion mainly through AMPK-ULK1 induced autophagy PMID: 28791376
- CTRP9 inhibits the cholesterol-induced Vascular smooth muscle cell phenotype switch and cell dysfunction by activating PRKAA1. PMID: 28524645
- we have identified a novel mechanism for DIM- and ring-DIM-induced protective autophagy, via induction of AEG-1 and subsequent activation of AMPK. Our findings could facilitate the development of novel drug therapies for prostate cancer that include selective autophagy inhibitors as adjuvants. PMID: 28923415
- AMPK-PGC-1a control of mitochondrial reactive oxygen species regulates Warburg metabolism. PMID: 28978464
- Low expression of AMPK is associated with uterine cervical neoplasms. PMID: 28560405
- The meta-analysis reveals that the PRKAA1 rs13361707 T>C polymorphism has a significant relationship with increased gastric cancer risk. PMID: 29620653
- These results strongly suggest that AMPK can activate ORP150 through FOXO1 pathway and confer protection against endoplasmic reticulum stress - induced apoptosis of airway epithelial cells following exposure to cigarette smoke extract. PMID: 29448096
- These findings revealed that prosurvival autophagy was one of the mechanisms involved in the resistance acute myeloid leukemia (AML) leukemia stem cells to JQ1. Targeting the AMPK/ULK1 pathway or inhibition of autophagy could be an effective therapeutic strategy for combating resistance to BET inhibitors in AML and other types of cancerof cancer PMID: 27864418
- These findings collectively indicate that ALR negatively regulates the autophagy process through an association with the AMPK/mTOR signaling pathway. Autophagy inhibit apoptosis and play a protective role under conditions of oxidative stress. PMID: 28466106
- Our data indicated that miR-451 relays environmental signals by upregulating the activity of AMPK signaling, thereby modulating the activation of mTOR and Rac1/cofilin which, in turn, play key roles in glioma cell proliferation and migration, respectively. Our results highlight the need to consider opposing roles of a therapeutic target which, while suppressing tumor cell proliferation, could also promote cell infiltratio PMID: 28440461
- Data show that miR-135b selectively targets the AMPK phosphatase Ppm1e. PMID: 27661114
- We found that activation of AMPK by all fluorinated N,N-diarylureas (FND) compounds at micromolar levels significantly inhibited the cell-cycle progression and subsequent cellular proliferation. PMID: 28258165
- Our data suggest that AMPK regulates ATM expression and partially regulates radiosensitivity under hypoxia and nutrient starvation. The molecular mechanism underlying the induction of ATM expression by AMPK remains to be elucidated. PMID: 29284117
- These results suggest that berberine-induced activation of AMPK may contribute to hepatic FGF21 expression via NUR77. PMID: 29247651
- AMPK enhances intestinal barrier function and epithelial differentiation via promoting CDX2 expression, which is partially mediated by altered histone modifications in the Cdx2 promoter. PMID: 28234358
- activation of AMPK upregulated Smad6 and Smurf1 and thereby enhanced their interactions, resulting in its proteosome-dependent degradation of ALK2. PMID: 28847510
- Lack of mitochondrial DNA impairs chemical hypoxia-induced autophagy in liver tumor cells through reactive oxygen species-AMPK-ULK1 signaling dysregulation independently of HIF-1A. PMID: 27687210
- Data indicate that nesfatin-1/NUCB-2 enhanced migration, invasion and epithelial-mesenchymal transition (EMT) in colon cancer cells through LKB1/AMPK/TORC1/ZEB1 pathways in vitro and in vivo. PMID: 27150059
- Taken together, these results demonstrate that piperine enhance osteoblast differentiation through AMPK phosphorylation in MC3T3-E1 cells. PMID: 29203239
- AMP-activated protein kinase (AMPK) regulates autophagy by phosphorylating BECN1 at Thr388 PMID: 27304906
- activation of AMPK might be a stress response of host cells to restrict virus production through promotion of autophagic degradation PMID: 27305174
- The results suggest that SESN2 increases degradation of HIF-1A via AMPK-PHD regulation that contributes to inhibition of in vitro and in vivo tumorigenesis. PMID: 27840318
- These results demonstrate that Poly(ADP-ribosyl)ation of AMPK is a key early signal to efficiently convey extracellular nutrient perturbations with downstream events needed for the cell to optimize autophagic commitment before autophagosome formation. PMID: 27689873
- Data show that oxidative stress and MAP kinase phosphatase 3 (MKP3) inhibition play a critical role in procyanidin B2 3,3''-di-O-gallate (B2G2)-induced cell death in prostate cancer (PCa) cells through sustained activation of both ERK1/2 and AMPKalpha. PMID: 28876465
- vitamin C and edaravone effectively protected macrophages from stress-induced cytotoxicity, accompanied by downregulated SIRT3 expression and AMPK phosphorylation, and decreased level of autophagy response. Taken together, we conclude that a SIRT3/AMPK/autophagy network orchestrates in the protective effect of resveratrol in macrophages. PMID: 27021965
- This review discusses the current understanding of the molecular and physiological regulation of AMPK and its metabolic and physiological functions. In addition discussed are the mechanisms underlying the versatile roles of AMPK in diabetes and cancer. [review] PMID: 27416781
- MAGEA6 promotes glioma cell survival possibly via targeting AMPKalpha1. PMID: 29024810
- Depletion of glycolytic intermediates led to a consistent decrease in TXNIP expression in response to 1,25(OH)2D3, an effect that coincided with the activation of AMPK signaling and a reduction in c-MYC expression. PMID: 28651973
- Here, theauthors identify GIV/Girdin as a novel effector of AMPK, whose phosphorylation at a single site is both necessary and sufficient for strengthening mammalian epithelial tight junctions and preserving cell polarity and barrier function in the face of energetic stress. PMID: 27813479
顯示更多
收起更多
-
亞細胞定位:Cytoplasm. Nucleus. Note=In response to stress, recruited by p53/TP53 to specific promoters.
-
蛋白家族:Protein kinase superfamily, CAMK Ser/Thr protein kinase family, SNF1 subfamily
-
數據庫鏈接:
Most popular with customers
-
-
YWHAB Recombinant Monoclonal Antibody
Applications: ELISA, WB, IHC, IF, FC
Species Reactivity: Human, Mouse, Rat
-
Phospho-YAP1 (S127) Recombinant Monoclonal Antibody
Applications: ELISA, WB, IHC
Species Reactivity: Human
-
-
-
-
-















