PREX2 Antibody
-
中文名稱:PREX2兔多克隆抗體
-
貨號:CSB-PA741122LA01HU
-
規格:¥440
-
圖片:
-
Western Blot
Positive WB detected in: Mouse brain tissue
All lanes: PREX2 antibody at 3.4μg/ml
Secondary
Goat polyclonal to rabbit IgG at 1/50000 dilution
Predicted band size: 183, 172, 113 kDa
Observed band size: 183, 113 kDa -
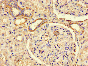
Immunohistochemistry of paraffin-embedded human kidney tissue using CSB-PA741122LA01HU at dilution of 1:100
-
Immunofluorescent analysis of HepG2 cells using CSB-PA741122LA01HU at dilution of 1:100 and Alexa Fluor 488-congugated AffiniPure Goat Anti-Rabbit IgG(H+L)
-
-
其他:
產品詳情
-
產品名稱:Rabbit anti-Homo sapiens (Human) PREX2 Polyclonal antibody
-
Uniprot No.:
-
基因名:
-
別名:4 antibody; 5)-dependent Rac exchanger 2 antibody; 5-trisphosphate-dependent Rac exchanger 2 protein antibody; 6230420N16Rik antibody; DEP domain-containing protein 2 antibody; DEP.2 antibody; DEPDC2 antibody; FLJ12987 antibody; P-Rex2 antibody; Phosphatidylinositol 3 antibody; phosphatidylinositol 3,4,5-trisphosphate-dependent Rac exchanger 2 antibody; phosphatidylinositol 3,4,5-trisphosphate-dependent Rac exchanger 2 protein antibody; phosphatidylinositol-3,4,5-trisphosphate-dependent Rac exchange factor 2 antibody; PREX2 antibody; PREX2_HUMAN antibody; PtdIns(3 antibody; PtdIns(3,4,5)-dependent Rac exchanger 2 antibody
-
宿主:Rabbit
-
反應種屬:Human, Mouse
-
免疫原:Recombinant Human Phosphatidylinositol 3,4,5-trisphosphate-dependent Rac exchanger 2 protein (1417-1592AA)
-
免疫原種屬:Homo sapiens (Human)
-
標記方式:Non-conjugated
本頁面中的產品,PREX2 Antibody (CSB-PA741122LA01HU),的標記方式是Non-conjugated。對于PREX2 Antibody,我們還提供其他標記。見下表:
-
克隆類型:Polyclonal
-
抗體亞型:IgG
-
純化方式:>95%, Protein G purified
-
濃度:It differs from different batches. Please contact us to confirm it.
-
保存緩沖液:Preservative: 0.03% Proclin 300
Constituents: 50% Glycerol, 0.01M PBS, PH 7.4 -
產品提供形式:Liquid
-
應用范圍:ELISA, WB, IHC, IF
-
推薦稀釋比:
Application Recommended Dilution WB 1:2000-1:5000 IHC 1:20-1:200 IF 1:50-1:200 -
Protocols:
-
儲存條件:Upon receipt, store at -20°C or -80°C. Avoid repeated freeze.
-
貨期:Basically, we can dispatch the products out in 1-3 working days after receiving your orders. Delivery time maybe differs from different purchasing way or location, please kindly consult your local distributors for specific delivery time.
-
用途:For Research Use Only. Not for use in diagnostic or therapeutic procedures.
相關產品
靶點詳情
-
功能:Functions as a RAC1 guanine nucleotide exchange factor (GEF), activating Rac proteins by exchanging bound GDP for free GTP. Its activity is synergistically activated by phosphatidylinositol 3,4,5-trisphosphate and the beta gamma subunits of heterotrimeric G protein. Mediates the activation of RAC1 in a PI3K-dependent manner. May be an important mediator of Rac signaling, acting directly downstream of both G protein-coupled receptors and phosphoinositide 3-kinase.
-
基因功能參考文獻:
- Study demonstrates that miR-637 inhibites melanoma cell proliferation by activation of AKT signaling pathway and induces apoptosis through regulation of Bcl-2/Bax expression via targeting P-REX2a. PMID: 30213289
- MiR-338-3p suppresses the TNF-alpha-induced lipogenesis in sebocytes by targeting PREX2a and down-regulating PI3K/AKT signaling. PMID: 28597147
- complex signaling mechanisms that involve PREX2, PI3K/AKT/PTEN and downstream epigenetic machinery to deregulate expression of key cell cycle regulators PMID: 27111337
- PREX2 was identified as a frequently mutated gene in human melanoma. .. mutation of PREX2 can accelerate human melanoma growth. PMID: 28100393
- The rapid tumor onset observed in this replication attempt, compared to the original study, makes the detection of accelerated tumor growth in PREX2 expressing NRAS(G12D) melanocytes extremely difficult. PMID: 28100394
- Elevated PREX2 protein expression is associated with pathogenesis of hepatocellular carcinoma. PMID: 28205209
- knockdown of PREX2a may effectively inhibit the malignant phenotype of glioma. PMID: 26795161
- The results of the present study suggested that PREX2a may act as an oncogene in osteosarcoma via the inhibition of PTEN activity and activation of PI3K signaling. PMID: 26718453
- findings identify PREX2 as a mediator of NRAS-mutant melanoma development that acts through the PI3K/PTEN/Akt pathway to regulate gene expression of a cell cycle regulator PMID: 26884185
- second messengers activate the Rac1 signal, which sets in motion a cascade whereby PAKs phosphorylate and negatively regulate PREX2 to decrease Rac1 activation. PMID: 26438819
- PREX2 mutants are likely selected in cancer to escape PTEN-mediated inhibition of invasion. PMID: 25829446
- CXCL9 is involved in the invasion ability of hepatocellular carcinoma cells possibly through up-regulation of its potential effector PREX2. PMID: 25151370
- Results demonstrate that miR-338-3p affects gastric cancer progression through PTEN-AKT signaling by targeting P-Rex2a in gastric cancer cells PMID: 24375644
- P-REX2 PH-domain-mediated inhibition of PTEN has a role in regulating insulin sensitivity and glucose homeostasis PMID: 24367090
- MiR-338-3p affects the PTEN/Akt pathway by down-regulating PREX2a. PMID: 24140344
- Analysis of whole-genome sequence data identified PREX2 (phosphatidylinositol-3,4,5-trisphosphate-dependent Rac exchange factor 2)--a PTEN-interacting protein and negative regulator of PTEN in breast cancer--as a significantly mutated gene with a mutation frequency of approximately 14% in an independent extension cohort of 107 human melanomas PMID: 22622578
- suggests that aberrant control of PTEN by P-REX2a may represent a key tumorigenic mechanism, in agreement with recent studies supporting the pathological relevance of several other proposed PTEN regulators PMID: 19861688
- P-REX2 may serve as a novel link between Rac activation and the PI-3 kinase pathway. PMID: 15304342
- P-Rex2 is a 183 kDa protein that activates the small GTPase Rac and is regulated by phosphatidylinositol (3,4,5)-trisphosphate. PMID: 15304343
- the pleckstrin homology domain of the Dbl family guanine nucleotide exchange factor P-Rex2 has a role in substrate specificity and recognition PMID: 15897194
- identified P-REX2a as a PTEN-interacting protein; P-REX2a inhibited PTEN lipid phosphatase activity & stimulated the PI3K pathway only in the presence of PTEN; P-REX2a is a component of the PI3K pathway that can antagonize PTEN in cancer cells PMID: 19729658
顯示更多
收起更多
-
組織特異性:Isoform 1 is highly expressed in skeletal muscle, heart and placenta, absent from peripheral blood leukocytes. Isoform 2 is expressed in skeletal muscle, kidney, small intestine, and placenta. Isoform 3 is expressed in the heart.
-
數據庫鏈接:
Most popular with customers
-
-
Phospho-YAP1 (S127) Recombinant Monoclonal Antibody
Applications: ELISA, WB, IHC
Species Reactivity: Human
-
-
-
-
-
-















