PRAF2 Antibody
-
中文名稱:PRAF2兔多克隆抗體
-
貨號:CSB-PA580962
-
規格:¥1100
-
圖片:
-
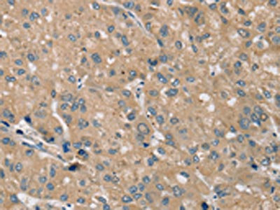
The image on the left is immunohistochemistry of paraffin-embedded Human liver cancer tissue using CSB-PA580962(PRAF2 Antibody) at dilution 1/35, on the right is treated with synthetic peptide. (Original magnification: ×200)
-
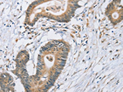
The image on the left is immunohistochemistry of paraffin-embedded Human colon cancer tissue using CSB-PA580962(PRAF2 Antibody) at dilution 1/35, on the right is treated with synthetic peptide. (Original magnification: ×200)
-
-
其他:
產品詳情
-
Uniprot No.:
-
基因名:PRAF2
-
別名:PRAF2; JM4; PRA1 family protein 2
-
宿主:Rabbit
-
反應種屬:Human,Mouse
-
免疫原:Synthetic peptide of Human PRAF2
-
免疫原種屬:Homo sapiens (Human)
-
標記方式:Non-conjugated
-
抗體亞型:IgG
-
純化方式:Antigen affinity purification
-
濃度:It differs from different batches. Please contact us to confirm it.
-
保存緩沖液:-20°C, pH7.4 PBS, 0.05% NaN3, 40% Glycerol
-
產品提供形式:Liquid
-
應用范圍:ELISA,IHC
-
推薦稀釋比:
Application Recommended Dilution ELISA 1:1000-1:2000 IHC 1:25-1:100 -
Protocols:
-
儲存條件:Upon receipt, store at -20°C or -80°C. Avoid repeated freeze.
-
貨期:Basically, we can dispatch the products out in 1-3 working days after receiving your orders. Delivery time maybe differs from different purchasing way or location, please kindly consult your local distributors for specific delivery time.
-
用途:For Research Use Only. Not for use in diagnostic or therapeutic procedures.
相關產品
靶點詳情
-
功能:May be involved in ER/Golgi transport and vesicular traffic. Plays a proapoptotic role in cerulenin-induced neuroblastoma apoptosis.
-
基因功能參考文獻:
- PRAF2 plays an essential role in neuroblastoma tumorigenesis and metastasis. PMID: 23440329
- Praf2 is a novel Bcl-xL/Bcl-2 interacting protein with the ability to modulate survival of cancer cells PMID: 21203533
- PRAF2 expression is elevated in various tumors with exceptionally high expression in malignant gliomas, and may thus presents a candidate molecular target for therapeutic intervention. PMID: 20412121
- PRAF2 (JM4) is CCR5-interacting protein, which is suggested to function in trafficking and membrane localisation of the receptor. PMID: 15757671
- CCR5-interacting PRAF2 protein is expressed in several human tissues with a possible function in ER/Golgi transport and vesicular traffic. PMID: 16481131
- PRAF2 has a role in progression of neuroblastoma PMID: 17975142
- The expression of PRAF2 in specific regions of the brain including SVs suggest an important physiological function for this novel protein, possibly by participating in multiple aspects of SV maturation, transport, and signal transmission. PMID: 18395978
顯示更多
收起更多
-
亞細胞定位:Endosome membrane; Multi-pass membrane protein.
-
蛋白家族:PRA1 family
-
組織特異性:Strong expression in the brain, small intestine, lung, spleen, and pancreas as well as in tumor tissues of the breast, colon, lung and ovary, with a weaker expression in normal tissues of the same patient. High expression in neuroblastic tumors. Strongly
-
數據庫鏈接:
Most popular with customers
-
-
YWHAB Recombinant Monoclonal Antibody
Applications: ELISA, WB, IHC, IF, FC
Species Reactivity: Human, Mouse, Rat
-
Phospho-YAP1 (S127) Recombinant Monoclonal Antibody
Applications: ELISA, WB, IHC
Species Reactivity: Human
-
-
-
-
-















