PPP2R5C Antibody
-
中文名稱:PPP2R5C兔多克隆抗體
-
貨號:CSB-PA619761ESR1HU
-
規格:¥440
-
圖片:
-
Western blot
All lanes: PPP2R5C antibody at 1.31μg/ml
Lane 1: MM231 whole cell lysate
Lane 2: K562 whole cell lysate
Secondary
Goat polyclonal to rabbit IgG at 1/10000 dilution
Predicted band size: 62, 53, 57, 63, 65 kDa
Observed band size: 62 kDa -
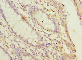
Immunohistochemistry of paraffin-embedded human colon cancer using CSB-PA619761ESR1HU at dilution of 1:100
-
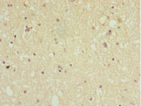
Immunohistochemistry of paraffin-embedded human brain tissue using CSB-PA619761ESR1HU at dilution of 1:100
-
-
其他:
產品詳情
-
產品名稱:Rabbit anti-Homo sapiens (Human) PPP2R5C Polyclonal antibody
-
Uniprot No.:
-
基因名:
-
別名:2A5G_HUMAN antibody; B' alpha regulatory subunit antibody; B56G antibody; KIAA0044 antibody; MGC23064 antibody; PP2A B subunit B' gamma isoform antibody; PP2A B subunit B56 gamma isoform antibody; PP2A B subunit isoform B' gamma antibody; PP2A B subunit isoform B''-gamma antibody; PP2A B subunit isoform B56-gamma antibody; PP2A B subunit isoform PR61-gamma antibody; PP2A B subunit isoform R5-gamma antibody; PP2A B subunit PR61 gamma isoform antibody; PP2A B subunit R5 gamma isoform antibody; Ppp2r5c antibody; PR61G antibody; Protein phosphatase 2 regulatory subunit B (B56) gamma isoform antibody; Protein phosphatase 2 regulatory subunit B' gamma antibody; Protein phosphatase 2; regulatory subunit B'; gamma isoform antibody; Renal carcinoma antigen NY REN 29 antibody; Renal carcinoma antigen NY-REN-29 antibody; Serine/threonine protein phosphatase 2A 56 kDa regulatory subunit gamma isoform antibody; Serine/threonine-protein phosphatase 2A 56 kDa regulatory subunit gamma isoform antibody
-
宿主:Rabbit
-
反應種屬:Human
-
免疫原:Recombinant Human Serine/threonine-protein phosphatase 2A 56 kDa regulatory subunit gamma isoform protein (1-320AA)
-
免疫原種屬:Homo sapiens (Human)
-
標記方式:Non-conjugated
-
克隆類型:Polyclonal
-
抗體亞型:IgG
-
純化方式:Antigen Affinity Purified
-
濃度:It differs from different batches. Please contact us to confirm it.
-
保存緩沖液:PBS with 0.02% sodium azide, 50% glycerol, pH7.3.
-
產品提供形式:Liquid
-
應用范圍:ELISA, WB, IHC
-
推薦稀釋比:
Application Recommended Dilution WB 1:1000-1:5000 IHC 1:20-1:200 -
Protocols:
-
儲存條件:Upon receipt, store at -20°C or -80°C. Avoid repeated freeze.
-
貨期:Basically, we can dispatch the products out in 1-3 working days after receiving your orders. Delivery time maybe differs from different purchasing way or location, please kindly consult your local distributors for specific delivery time.
-
用途:For Research Use Only. Not for use in diagnostic or therapeutic procedures.
相關產品
靶點詳情
-
功能:The B regulatory subunit might modulate substrate selectivity and catalytic activity, and also might direct the localization of the catalytic enzyme to a particular subcellular compartment. The PP2A-PPP2R5C holoenzyme may specifically dephosphorylate and activate TP53 and play a role in DNA damage-induced inhibition of cell proliferation. PP2A-PPP2R5C may also regulate the ERK signaling pathway through ERK dephosphorylation.
-
基因功能參考文獻:
- PPP2R5C deletion or EGFR mutation that could be responsible for IER3/pERK overexpression was found in at least 8 cases (67% or more) of lung adenocarcinoma. PMID: 26986830
- our data suggest that hepatic PPP2R5C represents an important factor in the functional wiring of energy metabolism and the maintenance of a metabolically healthy state. PMID: 26440364
- propose that the mechanism for proliferation inhibition and increased apoptosis of K562 cells following PPP2R5C suppression may be related to the alteration of expression profiles of BRAF, AKT2, AKT3, NFKB2 and STAT3 genes PMID: 25888193
- Differential expression of the transcripts PPP2R5C connects ubiquitin-proteasome system with infection-inflammation in preterm births and preterm premature rupture of membranes. PMID: 25884766
- KIF4A and PP2A-B56G and -B56E create a spatially restricted negative feedback loop counteracting Aurora B in anaphase. PMID: 25512391
- Data indicate that the regulatory PP2A subunit B56gamma mediates suppression of NF-kappaB resulting in increased NF-kappaB target gene expression in T cells. PMID: 24719332
- Results show that mutations lost B56gamma tumor-suppressive activity by two distinct mechanisms: one is by disrupting interactions with the PP2A AC core and the other with B56gamma-PP2A substrates (p53 and unknown proteins). PMID: 23723076
- PPP2R5C-siRNA treatment altered gene expression profiles in malignant T cells PMID: 23941244
- structural insight into the PP2A holoenzyme assembly and emphasizes the importance of HEAT repeat 1 in B56gamma-PP2A tumor-suppressive function PMID: 22315229
- Overexpression of PPP2R5C in T-cell malignancy as well as in myeloid leukemia cells might relate to its proliferation and differentiation. PMID: 21548944
- ataxia-telangiectasia mutated (ATM) directly phosphorylates and specifically regulates B56gamma3, B56gamma2 and B56delta, after DNA damage. PMID: 21460856
- the dynamic nuclear distribution of the B56gamma3 regulatory subunit controls nuclear PP2A activity, which regulates cell cycle controllers, such as p27, to restrain cell cycle progression, and may be responsible for the tumor suppressor function of PP2A PMID: 20448040
- a mechanistic basis for the p53-dependent and -independent functions of B56gamma-PP2A PMID: 20473327
- B56gamma1 alters the dynamic assembly/disassembly process of nuclear speckles in heart cells. PMID: 15778281
- Dihydroxyphenylethanol induces apoptosis by activating serine/threonine protein phosphatase PP2A PMID: 16524888
- B56gamma, mediates DNA damage-induced dephosphorylation of p53 at Thr55. PMID: 17245430
- PP2A-B56gamma1 phosphatase complexes have a role in cardiac local signaling PMID: 17663574
- show an important link between ATM activity and the tumor-suppressive function of B56gamma-protein phosphatase 2A PMID: 17967874
顯示更多
收起更多
-
亞細胞定位:Nucleus. Chromosome, centromere.
-
蛋白家族:Phosphatase 2A regulatory subunit B56 family
-
組織特異性:Highest levels in heart, skeletal muscle and brain. Lower levels in pancreas, kidney, lung and placenta. Very low levels in liver.
-
數據庫鏈接:
Most popular with customers
-
-
YWHAB Recombinant Monoclonal Antibody
Applications: ELISA, WB, IHC, IF, FC
Species Reactivity: Human, Mouse, Rat
-
-
-
-
-
-















