PPP2R3B Antibody
-
中文名稱:PPP2R3B兔多克隆抗體
-
貨號:CSB-PA896533ESR2HU
-
規格:¥440
-
圖片:
-
Western blot
All lanes: PPP2R3B antibody at 2.1µg/ml + HL60 whole cell lysate
Secondary
Goat polyclonal to rabbit IgG at 1/10000 dilution
Predicted band size: 66, 21 kDa
Observed band size: 66 kDa -
Immunohistochemistry of paraffin-embedded human adrenal gland tissue using CSB-PA896533ESR2HU at dilution of 1:100
-
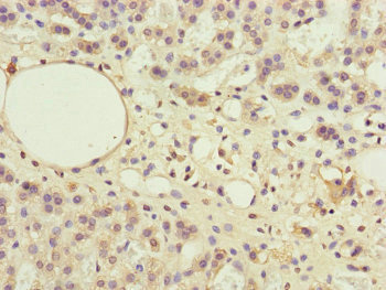
Immunohistochemistry of paraffin-embedded human liver cancer using CSB-PA896533ESR2HU at dilution of 1:100
-
-
其他:
產品詳情
-
產品描述:
The PPP2R3B polyclonal antibody (CSB-PA896533ESR2HU) is produced in rabbits immunized with the recombinant human PPP2R3B protein (356-575AA). It occurs as an unconjugated IgG. It underwent antigen affinity purification and reached a relatively high purity. And it only reacts with human PPP2R3B protein, a protein phosphatase 2A regulatory subunit that interacts with the origin of replication component, CDC6, and has been linked to regulation of autophagy. This PPP2R3B antibody has been quality tested in ELISA, WB, and IHC applications.
-
產品名稱:Rabbit anti-Homo sapiens (Human) PPP2R3B Polyclonal antibody
-
Uniprot No.:
-
基因名:
-
別名:NY REN 8 antibody; NY REN 8 antigen antibody; P2R3B_HUMAN antibody; PP2A B'' subunit PR48 antibody; PP2A subunit B isoform PR48 antibody; PP2A subunit B PR48 isoform antibody; PPP2R3B antibody; PPP2R3L antibody; PPP2R3LY antibody; PR 48 antibody; PR48 antibody; Protein phosphatase 2 (formerly 2A) regulatory subunit B'' beta antibody; Protein phosphatase 2 regulatory subunit B'' beta antibody; Protein phosphatase 2A 48 kDa regulatory subunit antibody; Serine/threonine protein phosphatase 2A 48kDa regulatory subunit B antibody; Serine/threonine-protein phosphatase 2A regulatory subunit B'' subunit beta antibody
-
宿主:Rabbit
-
反應種屬:Human
-
免疫原:Recombinant Human Serine/threonine-protein phosphatase 2A regulatory subunit B\'\' subunit beta protein (356-575AA)
-
免疫原種屬:Homo sapiens (Human)
-
標記方式:Non-conjugated
-
克隆類型:Polyclonal
-
抗體亞型:IgG
-
純化方式:Antigen Affinity Purified
-
濃度:It differs from different batches. Please contact us to confirm it.
-
保存緩沖液:PBS with 0.02% sodium azide, 50% glycerol, pH7.3.
-
產品提供形式:Liquid
-
應用范圍:ELISA, WB, IHC
-
推薦稀釋比:
Application Recommended Dilution WB 1:1000-1:5000 IHC 1:20-1:200 -
Protocols:
-
儲存條件:Upon receipt, store at -20°C or -80°C. Avoid repeated freeze.
-
貨期:Basically, we can dispatch the products out in 1-3 working days after receiving your orders. Delivery time maybe differs from different purchasing way or location, please kindly consult your local distributors for specific delivery time.
-
用途:For Research Use Only. Not for use in diagnostic or therapeutic procedures.
相關產品
靶點詳情
-
功能:The B regulatory subunit might modulate substrate selectivity and catalytic activity, and also might direct the localization of the catalytic enzyme to a particular subcellular compartment.
-
基因功能參考文獻:
- PPP2R3B codes for the PR70 protein, a regulatory substrate-recognizing subunit of protein phosphatase 2A. PR70 decreased melanoma growth by negatively interfering with DNA replication and cell cycle progression through its role in stabilizing CDC6-chromatin licensing and CDT1 interaction PMID: 27974665
- Results show the crystal structure of PR48/PR70, at 2.0 A degrees resolution with two domain elongated structure and two Ca2+ binding EF-hands Scattering data. PMID: 25007185
-
亞細胞定位:Nucleus.
-
數據庫鏈接:
Most popular with customers
-
-
YWHAB Recombinant Monoclonal Antibody
Applications: ELISA, WB, IHC, IF, FC
Species Reactivity: Human, Mouse, Rat
-
Phospho-YAP1 (S127) Recombinant Monoclonal Antibody
Applications: ELISA, WB, IHC
Species Reactivity: Human
-
-
-
-
-















