PPP2R2D Antibody
-
中文名稱:PPP2R2D兔多克隆抗體
-
貨號:CSB-PA727750LA01HU
-
規格:¥440
-
圖片:
-
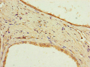
Immunohistochemistry of paraffin-embedded human prostate cancer using CSB-PA727750LA01HU at dilution of 1:100
-
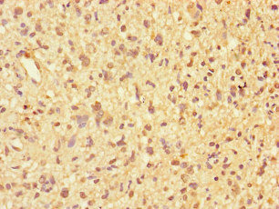
Immunohistochemistry of paraffin-embedded human glioma using CSB-PA727750LA01HU at dilution of 1:100
-
Immunofluorescent analysis of Hela cells using CSB-PA727750LA01HU at dilution of 1:100 and Alexa Fluor 488-congugated AffiniPure Goat Anti-Rabbit IgG(H+L)
-
Western Blot
Positive WB detected in: U87 whole cell lysate, PC-3 whole cell lysate, HepG2 whole cell lysate, A549 whole cell lysate
All lanes: PPP2R2D antibody at 3.3μg/ml
Secondary
Goat polyclonal to rabbit IgG at 1/50000 dilution
Predicted band size: 53 kDa
Observed band size: 53 kDa
-
-
其他:
產品詳情
-
產品名稱:Rabbit anti-Homo sapiens (Human) PPP2R2D Polyclonal antibody
-
Uniprot No.:
-
基因名:
-
別名:2ABD_HUMAN antibody; MDS026 antibody; PP2A subunit B isoform B55-delta antibody; PP2A subunit B isoform delta antibody; PP2A subunit B isoform PR55-delta antibody; PP2A subunit B isoform R2-delta antibody; PPP2R2D antibody; Protein phosphatase 2 regulatory subunit B delta antibody; Protein phosphatase 2 regulatory subunit B delta isoform antibody; Serine/threonine-protein phosphatase 2A 55 kDa regulatory subunit B delta isoform antibody
-
宿主:Rabbit
-
反應種屬:Human
-
免疫原:Recombinant Human Serine/threonine-protein phosphatase 2A 55 kDa regulatory subunit B delta isoform protein (1-192AA)
-
免疫原種屬:Homo sapiens (Human)
-
標記方式:Non-conjugated
本頁面中的產品,PPP2R2D Antibody (CSB-PA727750LA01HU),的標記方式是Non-conjugated。對于PPP2R2D Antibody,我們還提供其他標記。見下表:
-
克隆類型:Polyclonal
-
抗體亞型:IgG
-
純化方式:>95%, Protein G purified
-
濃度:It differs from different batches. Please contact us to confirm it.
-
保存緩沖液:Preservative: 0.03% Proclin 300
Constituents: 50% Glycerol, 0.01M PBS, PH 7.4 -
產品提供形式:Liquid
-
應用范圍:ELISA, WB, IHC, IF
-
推薦稀釋比:
Application Recommended Dilution WB 1:1000-1:5000 IHC 1:20-1:200 IF 1:50-1:200 -
Protocols:
-
儲存條件:Upon receipt, store at -20°C or -80°C. Avoid repeated freeze.
-
貨期:Basically, we can dispatch the products out in 1-3 working days after receiving your orders. Delivery time maybe differs from different purchasing way or location, please kindly consult your local distributors for specific delivery time.
-
用途:For Research Use Only. Not for use in diagnostic or therapeutic procedures.
相關產品
靶點詳情
-
功能:B regulatory subunit of protein phosphatase 2A (PP2A) that plays a key role in cell cycle by controlling mitosis entry and exit. The activity of PP2A complexes containing PPP2R2D (PR55-delta) fluctuate during the cell cycle: the activity is high in interphase and low in mitosis. During mitosis, activity of PP2A is inhibited via interaction with phosphorylated ENSA and ARPP19 inhibitors. Within the PP2A complexes, the B regulatory subunits modulate substrate selectivity and catalytic activity, and also may direct the localization of the catalytic enzyme to a particular subcellular compartment.
-
基因功能參考文獻:
- Results show that PPP2R2D expression was significantly upregulated at the mRNA and protein levels in gastric cancer (GC) tissues and correlated with poor prognosis. Further evidence demonstrates an oncogenic role of PPP2R2D in GC progression and development through regulation of mTOR. PMID: 29568966
- The PP2A regulatory subunit PPP2R2D inhibits T-cell proliferation and survival within tumors. PMID: 24596207
- The -462 G>A variant of PPP2R2D affects NF1 binding to the proximal promoter of PPP2R2D. PMID: 22539979
- These highly related members of the same subfamily of PP2A regulatory subunits differentially regulate TGF-beta/Activin/Nodal signalling to elicit opposing biological outcomes. PMID: 18697906
-
亞細胞定位:Cytoplasm.
-
蛋白家族:Phosphatase 2A regulatory subunit B family
-
數據庫鏈接:
Most popular with customers
-
-
YWHAB Recombinant Monoclonal Antibody
Applications: ELISA, WB, IHC, IF, FC
Species Reactivity: Human, Mouse, Rat
-
Phospho-YAP1 (S127) Recombinant Monoclonal Antibody
Applications: ELISA, WB, IHC
Species Reactivity: Human
-
-
-
-
-















