PPP1R8 Antibody
-
中文名稱:PPP1R8兔多克隆抗體
-
貨號:CSB-PA618641DSR2HU
-
規格:¥440
-
圖片:
-
Western blot
All lanes: PPP1R8 antibody at 1.11µg/ml
Lane 1: PC-3 whole cell lysate
Lane 2: HL60 whole cell lysate
Secondary
Goat polyclonal to rabbit IgG at 1/10000 dilution
Predicted band size: 39, 23, 14 kDa
Observed band size: 39 kDa -
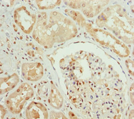
Immunohistochemistry of paraffin-embedded human kidney tissue using CSB-PA618641DSR2HU at dilution of 1:100
-
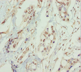
Immunohistochemistry of paraffin-embedded human pancreatic cancer using CSB-PA618641DSR2HU at dilution of 1:100
-
Immunofluorescent analysis of HepG2 cells using CSB-PA618641DSR2HU at dilution of 1:100 and Alexa Fluor 488-congugated AffiniPure Goat Anti-Rabbit IgG(H+L)
-
-
其他:
產品詳情
-
產品名稱:Rabbit anti-Homo sapiens (Human) PPP1R8 Polyclonal antibody
-
Uniprot No.:
-
基因名:PPP1R8
-
別名:Activator of RNA decay antibody; ARD 1 antibody; ARD-1 antibody; ARD1 antibody; Homolog of E.coli RNase E antibody; NIPP 1 antibody; NIPP-1 antibody; NIPP1 antibody; Nuclear inhibitor of protein phosphatase 1 antibody; nuclear inhibitor of protein phosphatase-1 alpha antibody; Nuclear subunit of PP1 antibody; PP1R8_HUMAN antibody; PPP1R8 antibody; PRO2047 antibody; Protein phosphatase 1 regulatory inhibitor subunit 8 antibody; Protein phosphatase 1 regulatory subunit 8 antibody; RNase E antibody; RNase E, E. coli, homolog of antibody
-
宿主:Rabbit
-
反應種屬:Human
-
免疫原:Recombinant Human Nuclear inhibitor of protein phosphatase 1 protein (1-209AA)
-
免疫原種屬:Homo sapiens (Human)
-
標記方式:Non-conjugated
-
克隆類型:Polyclonal
-
抗體亞型:IgG
-
純化方式:Antigen Affinity Purified
-
濃度:It differs from different batches. Please contact us to confirm it.
-
保存緩沖液:PBS with 0.02% sodium azide, 50% glycerol, pH7.3.
-
產品提供形式:Liquid
-
應用范圍:ELISA, WB, IHC, IF
-
推薦稀釋比:
Application Recommended Dilution WB 1:500-1:2000 IHC 1:20-1:200 IF 1:50-1:200 -
Protocols:
-
儲存條件:Upon receipt, store at -20°C or -80°C. Avoid repeated freeze.
-
貨期:Basically, we can dispatch the products out in 1-3 working days after receiving your orders. Delivery time maybe differs from different purchasing way or location, please kindly consult your local distributors for specific delivery time.
-
用途:For Research Use Only. Not for use in diagnostic or therapeutic procedures.
相關產品
靶點詳情
-
功能:Inhibitor subunit of the major nuclear protein phosphatase-1 (PP-1). It has RNA-binding activity but does not cleave RNA and may target PP-1 to RNA-associated substrates. May also be involved in pre-mRNA splicing. Binds DNA and might act as a transcriptional repressor. Seems to be required for cell proliferation.; Isoform Gamma is a site-specific single-strand endoribonuclease that cleaves single strand RNA 3' to purines and pyrimidines in A+U-rich regions. It generates 5'-phosphate termini at the site of cleavage. This isoform does not inhibit PP-1. May be implicated in mRNA splicing.
-
基因功能參考文獻:
- NIPP1 could be activated by hypoxia and contributed to hypoxia-induced invasive and metastatic potential in hepatocellular carcinoma. PMID: 27644248
- Data suggest overexpression of NIPP1 in HeLa cells causes induction of genes of mesenchymal lineage with reduction in cell proliferation; thus, key dephosphorylation events may be involved in epithelial-mesenchymal transition or transdifferentiation. PMID: 25907536
- The protein phosphatase-1 regulator NIPP1 is also a splicing factor involved in a late step of spliceosome assembly PMID: 11909864
- NIPP1 has a role in the nuclear targeting and/or retention of PP1 PMID: 15501817
- Required for the global trimethylation of histone3 at lysine27 and is implicated in gene silencing by enhancer of zeste homolog (EZH)2. PMID: 17724462
- NIPP1 is present in a complex with EED and EZH2 in vivo and has distinct binding sites for these proteins. PMID: 17804093
- NMR structure of the NIPP1 FHA domain. PMID: 18253837
- NIPP1 works as a molecular sensor for PP1 to recognize phosphorylated Sap155. PMID: 18842582
顯示更多
收起更多
-
亞細胞定位:Nucleus. Nucleus speckle. Note=Primarily, but not exclusively, nuclear.; [Isoform Gamma]: Cytoplasm. Note=Found mainly in the cytoplasm.
-
組織特異性:Ubiquitously expressed, with highest levels in heart and skeletal muscle, followed by brain, placenta, lung, liver and pancreas. Less abundant in kidney. The concentration and ratio between isoforms is cell-type dependent. Isoform Alpha (>90%) and isoform
-
數據庫鏈接:
Most popular with customers
-
-
YWHAB Recombinant Monoclonal Antibody
Applications: ELISA, WB, IHC, IF, FC
Species Reactivity: Human, Mouse, Rat
-
Phospho-YAP1 (S127) Recombinant Monoclonal Antibody
Applications: ELISA, WB, IHC
Species Reactivity: Human
-
-
-
-
-















