PPP1CC Antibody
-
中文名稱:PPP1CC兔多克隆抗體
-
貨號:CSB-PA251592
-
規格:¥1100
-
圖片:
-
The image on the left is immunohistochemistry of paraffin-embedded Human lung cancer tissue using CSB-PA251592(PPP1CC Antibody) at dilution 1/40, on the right is treated with synthetic peptide. (Original magnification: ×200)
-
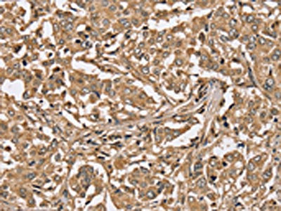
The image on the left is immunohistochemistry of paraffin-embedded Human liver cancer tissue using CSB-PA251592(PPP1CC Antibody) at dilution 1/40, on the right is treated with synthetic peptide. (Original magnification: ×200)
-
Gel: 10%SDS-PAGE, Lysate: 40 μg, Lane 1-5: Jurkat cells, 293T cells, hela cells, mouse brain tissue, K562 cells, Primary antibody: CSB-PA251592(PPP1CC Antibody) at dilution 1/200, Secondary antibody: Goat anti rabbit IgG at 1/8000 dilution, Exposure time: 1 second
-
-
其他:
產品詳情
-
Uniprot No.:
-
基因名:
-
別名:PP 1G antibody; PP-1G antibody; PP1C antibody; PP1G antibody; PP1G_HUMAN antibody; PP1gamma antibody; PPP 1G antibody; PPP1CC antibody; PPP1G antibody; Protein phosphatase 1; catalytic subunit; gamma isozyme antibody; Protein phosphatase 1C catalytic subunit antibody; Serine/threonine phosphatase 1 gamma antibody; Serine/threonine protein phosphatase PP1 gamma catalytic subunit antibody; Serine/threonine-protein phosphatase PP1-gamma catalytic subunit antibody
-
宿主:Rabbit
-
反應種屬:Human,Mouse,Rat
-
免疫原:Synthetic peptide of Human PPP1CC
-
免疫原種屬:Homo sapiens (Human)
-
標記方式:Non-conjugated
-
抗體亞型:IgG
-
純化方式:Antigen affinity purification
-
濃度:It differs from different batches. Please contact us to confirm it.
-
保存緩沖液:-20°C, pH7.4 PBS, 0.05% NaN3, 40% Glycerol
-
產品提供形式:Liquid
-
應用范圍:ELISA,WB,IHC
-
推薦稀釋比:
Application Recommended Dilution ELISA 1:2000-1:10000 WB 1:1000-1:5000 IHC 1:100-1:300 -
Protocols:
-
儲存條件:Upon receipt, store at -20°C or -80°C. Avoid repeated freeze.
-
貨期:Basically, we can dispatch the products out in 1-3 working days after receiving your orders. Delivery time maybe differs from different purchasing way or location, please kindly consult your local distributors for specific delivery time.
-
用途:For Research Use Only. Not for use in diagnostic or therapeutic procedures.
相關產品
靶點詳情
-
功能:Protein phosphatase that associates with over 200 regulatory proteins to form highly specific holoenzymes which dephosphorylate hundreds of biological targets. Protein phosphatase 1 (PP1) is essential for cell division, and participates in the regulation of glycogen metabolism, muscle contractility and protein synthesis. Dephosphorylates RPS6KB1. Involved in regulation of ionic conductances and long-term synaptic plasticity. May play an important role in dephosphorylating substrates such as the postsynaptic density-associated Ca(2+)/calmodulin dependent protein kinase II. Component of the PTW/PP1 phosphatase complex, which plays a role in the control of chromatin structure and cell cycle progression during the transition from mitosis into interphase. In balance with CSNK1D and CSNK1E, determines the circadian period length, through the regulation of the speed and rhythmicity of PER1 and PER2 phosphorylation. May dephosphorylate CSNK1D and CSNK1E. Dephosphorylates the 'Ser-418' residue of FOXP3 in regulatory T-cells (Treg) from patients with rheumatoid arthritis, thereby inactivating FOXP3 and rendering Treg cells functionally defective.
-
基因功能參考文獻:
- Here the authors show how Ki-67 and RepoMan form mitotic exit phosphatases by recruiting PP1, how they distinguish between distinct PP1 isoforms and how the assembly of these two holoenzymes are dynamically regulated by Aurora B kinase during mitosis. PMID: 27572260
- Data suggest that PPP1CC catalyzes hydrolysis of an assortment of substrates (aryl methylphosphonates, fluorophosphate esters, phosphorothioate esters, phosphodiesters); conservative mutation of R221 to K results in a mutant that is more effective catalyst toward monoanionic substrates; PPP1CC does not catalyze the hydrolysis of a sulfate ester, which is unexpected. PMID: 28678475
- PP1gamma is upregulated in hepatocellular carcinoma (HCC) cell lines and HCC specimens and promotes cancer cell proliferation through regulation of p53. High expression of PP1gamma in HCC cells contributed to doxorubicin resistance. PMID: 27921263
- knock-down of PP1gamma alleviates glioma proliferation by reducing p65 transportation into the nucleus. PMID: 26936744
- PP1gamma may be a novel target of the HPV-16 oncoproteins and indicate that it might be a potential novel biomarker for HPV-16 induced malignancy. PMID: 25886518
- Although no obvious defects in the progression of mitosis were observed, the timing of dephosphorylation of the mutant Ki67 in anaphase was delayed, indicating that Ki67 itself is one of the substrates of PP1gamma-Ki67. PMID: 25012651
- the lipin-1 N-terminal domain is important for its catalytic activity, nuclear localization, and binding to PP-1cgamma PMID: 24558042
- Protein phosphatase 1gamma promotes the alternative splicing of CaMKIIdelta through its interaction with alternative splice factor. PMID: 24196533
- When the Px(T)PxR motif is deleted or mutated via insertion of a phosphorylation site mimic (T311D), PP-1c fails to bind to all three ASPP proteins, ASPP1, ASPP2 and iASPP. PMID: 23088536
- Depletion of PP1gamma enhances the localization of the SMN complex and snRNPs to Cajal bodies. PMID: 22454514
- NUAK1 and PPP1CC are identified as positional candidate loci for skeletal muscle strength phenotypes. PMID: 21750233
- The counteracting Nek2A and PP1gamma activities on the centrosome linker are controlled by Plk1. PMID: 21723128
- The ataxia telangiectasia, mutated and Rad3-related-Chk1 axis regulates H3-pThr 11 dephosphorylation on DNA damage, at least in part by the activation of PP1gamma through Chk1-dependent inhibition of cyclin dependent kinases. PMID: 20948546
- gamma isoform of the human protein phosphatase-1 catalytic subunit (PP1c gamma) as a high affinity in vitro target of phosphatidic acid PMID: 11856740
- Nek2.PP1C complex is regulated by Inh2 via inhibition of phosphatase activity to initiate centrosome separation PMID: 12221103
- Tat might function as a nuclear regulator of PP1 and interaction of Tat with PP1 is critical for activation of HIV-1 transcription by Tat PMID: 16131488
- analysis of novel phosphatidic acid (PA) binding region on PP1c gamma that contains a unique loop-strand structural fold responsible for the interaction with PA PMID: 16201749
- crystal structures of the cyanotoxins, motuporin (nodularin-V) and dihydromicrocystin-LA bound to human protein phosphatase-1c PMID: 16343532
- We demonstrate that interaction with NIPP1 mediates decreased PP1gamma activity in hypoxia, an event which may constitute an inherent part of the cellular oxygen-sensing machinery and may play a role in physiologic adaptation to hypoxia. PMID: 16826568
- Data show that URI and PP1gamma are components of an S6K1-regulated mitochondrial pathway dedicated to oppose sustained S6K1 survival signaling and to ensure that the threshold for apoptosis is set based on nutrient and growth factor availability. PMID: 17936702
- Results describe a specific intracellular pathway involving the activation of PP1cgamma to mediate the effects of confluence-induced beta-catenin dephosphorylation. PMID: 17996206
- PP1cgamma1 overexpression promotes VSMC survival by interfering with JNK1 and p53 phosphorylation cascades involved in apoptosis PMID: 18540044
顯示更多
收起更多
-
亞細胞定位:Cytoplasm. Nucleus. Nucleus, nucleolus. Nucleus, nucleoplasm. Nucleus speckle. Chromosome, centromere, kinetochore. Cleavage furrow. Midbody. Mitochondrion. Cytoplasm, cytoskeleton, microtubule organizing center.
-
蛋白家族:PPP phosphatase family, PP-1 subfamily
-
數據庫鏈接:
Most popular with customers
-
-
YWHAB Recombinant Monoclonal Antibody
Applications: ELISA, WB, IHC, IF, FC
Species Reactivity: Human, Mouse, Rat
-
Phospho-YAP1 (S127) Recombinant Monoclonal Antibody
Applications: ELISA, WB, IHC
Species Reactivity: Human
-
-
-
-
-















