PPP1CA Antibody
-
中文名稱:PPP1CA兔多克隆抗體
-
貨號:CSB-PA018503LA01HU
-
規格:¥440
-
圖片:
-
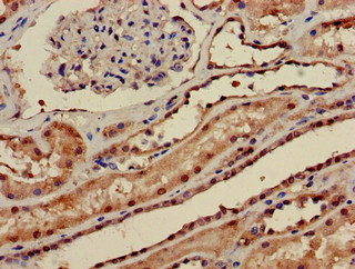
Immunohistochemistry of paraffin-embedded human kidney tissue using CSB-PA018503LA01HU at dilution of 1:100
-
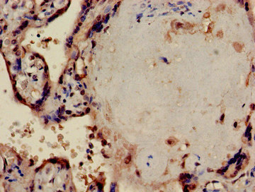
Immunohistochemistry of paraffin-embedded human placenta tissue using CSB-PA018503LA01HU at dilution of 1:100
-
Immunofluorescent analysis of Hela cells using CSB-PA018503LA01HU at dilution of 1:100 and Alexa Fluor 488-congugated AffiniPure Goat Anti-Rabbit IgG(H+L)
-
-
其他:
產品詳情
-
產品名稱:Rabbit anti-Homo sapiens (Human) PPP1CA Polyclonal antibody
-
Uniprot No.:
-
基因名:
-
別名:Alpha isoform serine threonine protein phosphatase PP1alpha 1 catalytic subunit antibody; Catalytic subunit antibody; EC 3.1.3.16 antibody; MGC15877 antibody; MGC1674 antibody; PP 1A antibody; PP-1A antibody; PP1A antibody; PP1A_HUMAN antibody; PP1alpha antibody; PP2C ALPHA antibody; PP2CA antibody; Ppp1ca antibody; Protein Phosphatase 2C Alpha Isoform antibody; Serine threonine protein phosphatase PP1 alpha catalytic subunit antibody; Serine threonine protein phosphatase PP1 alpha catalytic subunit protein phosphatase 1 antibody; Serine/threonine-protein phosphatase PP1-alpha catalytic subunit antibody
-
宿主:Rabbit
-
反應種屬:Human
-
免疫原:Recombinant Human Serine/threonine-protein phosphatase PP1-alpha catalytic subunit protein (192-330AA)
-
免疫原種屬:Homo sapiens (Human)
-
標記方式:Non-conjugated
本頁面中的產品,PPP1CA Antibody (CSB-PA018503LA01HU),的標記方式是Non-conjugated。對于PPP1CA Antibody,我們還提供其他標記。見下表:
-
克隆類型:Polyclonal
-
抗體亞型:IgG
-
純化方式:>95%, Protein G purified
-
濃度:It differs from different batches. Please contact us to confirm it.
-
保存緩沖液:Preservative: 0.03% Proclin 300
Constituents: 50% Glycerol, 0.01M PBS, pH 7.4 -
產品提供形式:Liquid
-
應用范圍:ELISA, IHC, IF
-
推薦稀釋比:
Application Recommended Dilution IHC 1:20-1:200 IF 1:50-1:200 -
Protocols:
-
儲存條件:Upon receipt, store at -20°C or -80°C. Avoid repeated freeze.
-
貨期:Basically, we can dispatch the products out in 1-3 working days after receiving your orders. Delivery time maybe differs from different purchasing way or location, please kindly consult your local distributors for specific delivery time.
-
用途:For Research Use Only. Not for use in diagnostic or therapeutic procedures.
相關產品
靶點詳情
-
功能:Protein phosphatase that associates with over 200 regulatory proteins to form highly specific holoenzymes which dephosphorylate hundreds of biological targets. Protein phosphatase 1 (PP1) is essential for cell division, and participates in the regulation of glycogen metabolism, muscle contractility and protein synthesis. Involved in regulation of ionic conductances and long-term synaptic plasticity. May play an important role in dephosphorylating substrates such as the postsynaptic density-associated Ca(2+)/calmodulin dependent protein kinase II. Component of the PTW/PP1 phosphatase complex, which plays a role in the control of chromatin structure and cell cycle progression during the transition from mitosis into interphase. Regulates NEK2 function in terms of kinase activity and centrosome number and splitting, both in the presence and absence of radiation-induced DNA damage. Regulator of neural tube and optic fissure closure, and enteric neural crest cell (ENCCs) migration during development. In balance with CSNK1D and CSNK1E, determines the circadian period length, through the regulation of the speed and rhythmicity of PER1 and PER2 phosphorylation. May dephosphorylate CSNK1D and CSNK1E. Dephosphorylates the 'Ser-418' residue of FOXP3 in regulatory T-cells (Treg) from patients with rheumatoid arthritis, thereby inactivating FOXP3 and rendering Treg cells functionally defective. Dephosphorylates CENPA. Dephosphorylates the 'Ser-139' residue of ATG16L1 causing dissociation of ATG12-ATG5-ATG16L1 complex, thereby inhibiting autophagy.; (Microbial infection) Necessary for alphaviruses replication.
-
基因功能參考文獻:
- Study reports a S6K/PP1alpha/B-Raf pathway that activates MAPK signaling in PI3K/AKT-driven cancers and is opposed by the promyelocytic leukemia (PML) tumor suppressor. Its importance in regulating prostate cancer cell migration and invasion and in metastatic human prostate cancer is demonstrated. PMID: 29335436
- Downregulation of the expression of DUSP1 or protein phosphatase 1 led to a decline in the beta2adrenergic receptormediated dephosphorylation of ERK1/2 PMID: 29257221
- human plasma protects against endothelial cell apoptosis through sustained BAD phosphorylation, which is achieved by, at least in part, a novel interaction between PP1 with PAI1. PMID: 28296156
- Data show that protein phosphatase-1 alpha (PP1alpha) is required to maintain checkpoint kinase 1 (CHK1) in a dephosphorylated state and for the accelerated replication fork progression in Spi1/PU.1 transcription factor-overexpressing cells. PMID: 28415748
- Data suggest that protein phosphatase 1, catalytic subunit, alpha isoform (PPP1CA) is a candidate sero-diagnostic and prognostic marker for badder cancer (BC). PMID: 29187447
- Rif1 can mediate MCM dephosphorylation at replication forks and that the stability of dephosphorylated replisomes strongly depends on Chk1 activity. PMID: 28273463
- Data, including data from studies using cells from knockout mice, suggest that gasotransmitter H(2)S up-regulates eIF2a phosphorylation by inhibiting PPP1CA via persulfidation, which in turn leads to transient suppression of global translation and activation of Atf4 expression. (eIF2a = eukaryotic initiation factor-2alpha; PPP1CA = protein phosphatase 1 catalytic subunit alpha; Atf4 = activating transcription factor 4) PMID: 28637872
- Protein phosphatase 1 (PP1) forms stable complexes with PP1-interacting proteins (PIPs) that guide the phosphatase throughout its life cycle and control its fate and function. PMID: 28202662
- The authors found that RNA recognition motif 1 (RRM1) in SRSF1 binds PP1 and represses its catalytic function through an allosteric mechanism. PMID: 28576472
- this study shows a pivotal role for PP1 in impeding IRF7-mediated IFN-alpha production in host immune responses PMID: 27469204
- The data support a model where Cdc7 (de)phosphorylation is the molecular switch for the activation and inactivation of DNA replication in mitosis, directly connecting Cdc7 and PP1a/Cdk1 to the regulation of once-per-cell cycle DNA replication in mammalian cells. PMID: 27105124
- These results indicate that PP1 is recruited to the extracellular calcium-dependent E-cadherin-catenin-PIP5K1a complex in the plasma membrane to activate PIP5K1a, which is required for PLC-g1 activation leading to keratinocyte differentiation. PMID: 27340655
- Data suggest that targeting protein phosphatase 1 catalytic subunit (PP1alpha) or the androgen receptor AR-PP1alpha interaction may be effective in castration-resistant prostate cancer (CRPC). PMID: 26636645
- Both PP-1 and PP-2A are directly involved in regulating eye development, and are aberrantly expressed in cataract and glaucoma patients. (Review) PMID: 26592247
- Data suggest that activation of TAZ (tafazzin) inhibits adipogenesis in mesenchymal stem cells; interaction of TAZ and protein phosphatases (PP1A, PP2A) up-regulates dephosphorylation and transport of TAZ to cell nucleus. PMID: 25979969
- ATG16L1 as a bona fide physiological CSNK2 and PPP1 substrate, which reveals a novel molecular link from CSNK2 to activation of the autophagy-specific ATG12-ATG5-ATG16L1 complex and autophagy induction PMID: 26083323
- PARD3 promotes interaction between PP1A and LATS1 to induce LATS1 dephosphorylation and inactivation,leading to dephosphorylation and activation of TAZ PMID: 26116754
- activation of the Nherf1-PP1alpha-TAZ pathway in osteoblasts is targeted by histone deacetylase inhibitors PMID: 26491017
- Protein phosphatase 1 (PP1) activity is critical for radiosensitization in non-small cell lung cancer cells and PP1 activators can serve as promising radiosensitizers to improve therapeutic efficacy. PMID: 26033480
- PP1alpha is an important proximal effector of Manumycin-A mediated lymphoma cell apoptosis. PMID: 25556058
- PP1alpha and class I histone deacetylase (HDAC1/2/3) signaling pathways are essential for the stress-induced BRD4 release from chromatin. PMID: 24939842
- 14-3-3zeta regulates nuclear trafficking of PP1alpha in mammalian cells PMID: 24956593
- Data indicate that the protein phosphatase 1 (PP1) binding domain in nuclear membrane protein lamina associated polypeptide 1B (LAP1B) was here identified as the REVRF motif at amino acids 55-59. PMID: 24116158
- Data show that tumor necrosis factor (TNF) tolerance in monocytic cells differentially inhibits NF-kappaB/transcription factor AP-1 and protein phosphatase 1 (PP1)-associated signaling. PMID: 24574500
- The protein phosphatase 1 directly interacts with Mdmx and specifically dephosphorylates Mdmx at Ser367. PMID: 23277204
- PP-1alpha and PP-1gamma not only antagonize each other in lung cancer cells, but also display differential functions in tumorigenicity. PMID: 23176181
- PPP1C isoforms have distinct contribution to the outside-in alphaIIbbeta3 signalling-dependent functions in HEK293 alphaIIbbeta3 cells. PMID: 23197154
- Findings indicate that phosphatases PP1alpha and PP1gamma are key regulators of RIG-I and MDA5 antiviral signaling. PMID: 23499489
- Studies suggest that any change in substrate specificity of the spinophilin : PP1 holoenzyme complex was probably due to direct modification of a PP1 substrate binding surface. PMID: 22284538
- Studies indicate that the diversity of the PP1 interactome and the properties of the PP1 binding code account for the exquisite specificity of PP1 in vivo. PMID: 22360570
- Studies indicate that the Ser/Thr phosphatases PP1 and PP2A are responsible for the dephosphorylation and activation of Rb proteins. PMID: 22299668
- PP1/NIPP1 is a novel molecular compass that controls directed cell migration. PMID: 22815811
- The molecular basis by which NIPP1 directs PP1 substrate specificity in the nucleus. PMID: 22940584
- Cell surface expression of the major amyloid-beta peptide (Abeta)-degrading enzyme, neprilysin, depends on phosphorylation by mitogen-activated protein kinase/extracellular signal-regulated kinase kinase (MEK) and dephosphorylation by protein phosphatase 1a. PMID: 22767595
- analysis of selective regulation of NR2B by protein phosphatase-1 for the control of the NMDA receptor in neuroprotection PMID: 22479519
- Data show that knockdown of the catalytic subunit of PP1 (PP1Calpha), but not PP2A (PP2ACalpha), increased pS137-PFN1 levels. PMID: 22479341
- Results identify specific protein phosphatase 1alpha-interacting proteins in human brain. PMID: 22321011
- We have identified a novel mechanism for direct activation of P-Rex1 through PP1alpha-dependent dephosphorylation. PMID: 22242915
- a novel, acute mechanism of ERM regulation dependent on PP1alpha and plasma membrane ceramide. PMID: 22311981
- Changes in cell polarity proteins Par-3 and PP-1 are associated with altered expression and assembly of tight junction proteins claudin-2, -3, -5 and -7 and ZO-1, causing paracellular leakage in active coeliac disease. PMID: 21865402
- These findings define a novel molecular mechanism that YAP2 is positively regulated by PP1-mediated dephosphorylation in the cell survival. PMID: 21909427
- Results demonstrate that PP1-mediated inhibition of the key anti-apoptotic protein, Akt, plays an important role in SPH-mediated apoptosis in Jurkat cells. PMID: 21308747
- Results identify a molecular pathway by which leptin confers inhibitory action on insulin secretion, and impaired PP-1 inhibition by leptin may be involved in dysfunction of the adipoinsular axis during the development of hyperinsulinemia and NIDDM. PMID: 21427225
- PP1A and ASPP2 play a critical role in promoting TAZ function by antagonizing the LATS kinase through TAZ dephosphorylation. PMID: 21189257
- The deregulation of cellular NIPP1/PP1 holoenzyme affects RNAPII phosphorylation and pointing to NIPP1 as a potential regulatory factor in RNAPII-mediated transcription. PMID: 20941529
- Could use the urinary hTERT, SENP1, PPP1CA, and MCM5 mRNA to detect bladder cancer recurrence. PMID: 21106093
- PP-1 ( PP-1alpha or PP-1beta ) acts as a major phosphatase to dephosphorylate AKT1 at Thr-450 and thus modulate its functions in regulating gene expression, cell survival and differentiation. PMID: 20186153
- CSK21 and PP1A, whose functions are intimately associated with cell cycle regulation, might play key role in gliomagenesis. PMID: 20663907
- mammalian Wdr82 functions in a variety of cellular processes; PTW/PP1 phosphatase complex (PNUTS, Tox4, Wdr82, PP1) has a role in the regulation of chromatin structure during the transition from mitosis into interphase PMID: 20516061
- conclusion: protein phosphatase 1alpha associates with the non-catalytic domain of protein tyrosine phosphatase-PEST (PTP-PEST)and regulates PTP activity via dephosphorylation of phospho-Ser39 PMID: 19919952
顯示更多
收起更多
-
亞細胞定位:Cytoplasm. Nucleus. Nucleus, nucleoplasm. Nucleus, nucleolus.
-
蛋白家族:PPP phosphatase family, PP-1 subfamily
-
數據庫鏈接:
Most popular with customers
-
-
YWHAB Recombinant Monoclonal Antibody
Applications: ELISA, WB, IHC, IF, FC
Species Reactivity: Human, Mouse, Rat
-
Phospho-YAP1 (S127) Recombinant Monoclonal Antibody
Applications: ELISA, WB, IHC
Species Reactivity: Human
-
-
-
-
-















