PPIE Antibody
-
中文名稱:PPIE兔多克隆抗體
-
貨號:CSB-PA890944LA01HU
-
規格:¥440
-
圖片:
-
IHC image of CSB-PA890944LA01HU diluted at 1:300 and staining in paraffin-embedded human adrenal gland tissue performed on a Leica BondTM system. After dewaxing and hydration, antigen retrieval was mediated by high pressure in a citrate buffer (pH 6.0). Section was blocked with 10% normal goat serum 30min at RT. Then primary antibody (1% BSA) was incubated at 4°C overnight. The primary is detected by a biotinylated secondary antibody and visualized using an HRP conjugated SP system.
-
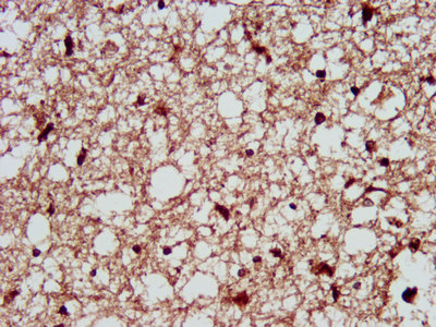
IHC image of CSB-PA890944LA01HU diluted at 1:300 and staining in paraffin-embedded human brain tissue performed on a Leica BondTM system. After dewaxing and hydration, antigen retrieval was mediated by high pressure in a citrate buffer (pH 6.0). Section was blocked with 10% normal goat serum 30min at RT. Then primary antibody (1% BSA) was incubated at 4°C overnight. The primary is detected by a biotinylated secondary antibody and visualized using an HRP conjugated SP system.
-
-
其他:
產品詳情
-
產品名稱:Rabbit anti-Homo sapiens (Human) PPIE Polyclonal antibody
-
Uniprot No.:
-
基因名:PPIE
-
別名:Ab1-210 antibody; Cyclophilin 33 antibody; Cyclophilin E antibody; Cyclophilin-33 antibody; CYP 33 antibody; CYP33 antibody; EC 5.2.1.8 antibody; Peptidyl prolyl cis trans isomerase E antibody; Peptidyl-prolyl cis-trans isomerase E antibody; Peptidylprolyl isomerase E (cyclophilin E) antibody; Peptidylprolyl isomerase E antibody; PPIase E antibody; PPIE antibody; PPIE_HUMAN antibody; Rotamase E antibody
-
宿主:Rabbit
-
反應種屬:Human
-
免疫原:Recombinant Human Peptidyl-prolyl cis-trans isomerase E protein (86-141AA)
-
免疫原種屬:Homo sapiens (Human)
-
標記方式:Non-conjugated
本頁面中的產品,PPIE Antibody (CSB-PA890944LA01HU),的標記方式是Non-conjugated。對于PPIE Antibody,我們還提供其他標記。見下表:
-
克隆類型:Polyclonal
-
抗體亞型:IgG
-
純化方式:>95%, Protein G purified
-
濃度:It differs from different batches. Please contact us to confirm it.
-
保存緩沖液:Preservative: 0.03% Proclin 300
Constituents: 50% Glycerol, 0.01M PBS, pH 7.4 -
產品提供形式:Liquid
-
應用范圍:ELISA, IHC
-
推薦稀釋比:
Application Recommended Dilution IHC 1:200-1:500 -
Protocols:
-
儲存條件:Upon receipt, store at -20°C or -80°C. Avoid repeated freeze.
-
貨期:Basically, we can dispatch the products out in 1-3 working days after receiving your orders. Delivery time maybe differs from different purchasing way or location, please kindly consult your local distributors for specific delivery time.
-
用途:For Research Use Only. Not for use in diagnostic or therapeutic procedures.
相關產品
靶點詳情
-
功能:Involved in pre-mRNA splicing as component of the spliceosome. Combines RNA-binding and PPIase activities. Binds mRNA and has a preference for single-stranded RNA molecules with poly-A and poly-U stretches, suggesting it binds to the poly(A)-region in the 3'-UTR of mRNA molecules. Catalyzes the cis-trans isomerization of proline imidic peptide bonds in proteins. Inhibits KMT2A activity; this requires proline isomerase activity.
-
基因功能參考文獻:
- CypE is a host restriction factor that inhibits the functions of nucleoprotein, as well as viral replication and transcription, by impairing the formation of the viral ribonucleoprotein complex. PMID: 21887220
- binding of H3K4me3 to PHD3 domain of MLL and binding of the CYP33 RRM domain to PHD3 are mutually inhibitory, implying that PHD3 is a molecular switch for the transition between activation and repression of target genes PMID: 20677832
- PPIase domain of CyP33 regulates the conformation of MLL1 through proline isomerization within the PHD3-Bromo linker, thereby disrupting the PHD3-Bromo interface and facilitating binding of the MLL1-PHD3 domain to the CyP33-RRM domain. PMID: 20541251
- Data provide insight into the multiple functions of Cyp33 RRM and suggest a Cyp33-dependent mechanism for regulating the transcriptional activity of MLL. PMID: 20460131
- The results show that hCyP33 binds specifically to mRNA, namely poly(A)(+)RNA, and that binding stimulates the PPIase activity of hCyP33. PMID: 18258190
顯示更多
收起更多
-
亞細胞定位:Nucleus.
-
蛋白家族:Cyclophilin-type PPIase family, PPIase E subfamily
-
組織特異性:Found in all the examined tissues including heart, brain, placenta, lung, liver, skeletal muscle, kidney and pancreas.
-
數據庫鏈接:
Most popular with customers
-
-
YWHAB Recombinant Monoclonal Antibody
Applications: ELISA, WB, IHC, IF, FC
Species Reactivity: Human, Mouse, Rat
-
Phospho-YAP1 (S127) Recombinant Monoclonal Antibody
Applications: ELISA, WB, IHC
Species Reactivity: Human
-
-
-
-
-















