POU5F1B Antibody
-
中文名稱:POU5F1B兔多克隆抗體
-
貨號:CSB-PA23129A0Rb
-
規格:¥440
-
圖片:
-
Western Blot
Positive WB detected in: MCF-7 whole cell lysate, HepG2 whole cell lysate, 293T whole cell lysate
All lanes: POU5F1B antibody at 6.5µg/ml
Secondary
Goat polyclonal to rabbit IgG at 1/50000 dilution
Predicted band size: 39 kDa
Observed band size: 39 kDa -
IHC image of CSB-PA23129A0Rb diluted at 1:300 and staining in paraffin-embedded human lung cancer performed on a Leica BondTM system. After dewaxing and hydration, antigen retrieval was mediated by high pressure in a citrate buffer (pH 6.0). Section was blocked with 10% normal goat serum 30min at RT. Then primary antibody (1% BSA) was incubated at 4°C overnight. The primary is detected by a biotinylated secondary antibody and visualized using an HRP conjugated SP system.
-
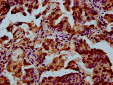
IHC image of CSB-PA23129A0Rb diluted at 1:300 and staining in paraffin-embedded human breast cancer performed on a Leica BondTM system. After dewaxing and hydration, antigen retrieval was mediated by high pressure in a citrate buffer (pH 6.0). Section was blocked with 10% normal goat serum 30min at RT. Then primary antibody (1% BSA) was incubated at 4°C overnight. The primary is detected by a biotinylated secondary antibody and visualized using an HRP conjugated SP system.
-
-
其他:
產品詳情
-
產品名稱:Rabbit anti-Homo sapiens (Human) POU5F1B Polyclonal antibody
-
Uniprot No.:
-
基因名:
-
別名:class 5 antibody; Octamer-binding protein 3-like antibody; Octamer-binding transcription factor 3-like antibody; OTF3C antibody; OTF3P1 antibody; P5F1B_HUMAN antibody; POU5F1B antibody; POU5F1P1 antibody; POU5FLC20 antibody; POU5FLC8 antibody; Putative POU domain antibody; Putative POU domain, class 5, transcription factor 1B antibody; transcription factor 1B antibody
-
宿主:Rabbit
-
反應種屬:Human
-
免疫原:Recombinant Human Putative POU domain, class 5, transcription factor 1B protein (10-138AA)
-
免疫原種屬:Homo sapiens (Human)
-
標記方式:Non-conjugated
本頁面中的產品,POU5F1B Antibody (CSB-PA23129A0Rb),的標記方式是Non-conjugated。對于POU5F1B Antibody,我們還提供其他標記。見下表:
-
克隆類型:Polyclonal
-
抗體亞型:IgG
-
純化方式:>95%, Protein G purified
-
濃度:It differs from different batches. Please contact us to confirm it.
-
保存緩沖液:Preservative: 0.03% Proclin 300
Constituents: 50% Glycerol, 0.01M PBS, pH 7.4 -
產品提供形式:Liquid
-
應用范圍:ELISA, WB, IHC
-
推薦稀釋比:
Application Recommended Dilution WB 1:500-1:5000 IHC 1:200-1:500 -
Protocols:
-
儲存條件:Upon receipt, store at -20°C or -80°C. Avoid repeated freeze.
-
貨期:Basically, we can dispatch the products out in 1-3 working days after receiving your orders. Delivery time maybe differs from different purchasing way or location, please kindly consult your local distributors for specific delivery time.
-
用途:For Research Use Only. Not for use in diagnostic or therapeutic procedures.
相關產品
靶點詳情
-
功能:Shows weak transcriptional activator activity.
-
基因功能參考文獻:
- Study shows that irrespective of tumor type or clinicopathological status, breast cancer cells expressed high levels of Oct3/4 at mRNA and protein levels. Further sequencing analysis show that breast tumors and MCF-7 cell line predominantly expressed transcripts of POU5F1B, an Oct4-like gene from chromosome 8 which possess 94% similitude with oct-4. PMID: 29620155
- POU5F1B promotes hepatocellular carcinoma cell proliferation by activating AKT protein. PMID: 29454285
- We identified eight specific CpG sites at 8q24, including six correlated sites in the POU5F1B gene, as well as two CpG sites in intergenic regions, whose DNA methylation levels were associated with prostate cancer risk. PMID: 28463958
- The POU5F1B pseudogene is amplified and expressed at a high level in, as well as confers an aggressive phenotype on, GC, and that POU5F1B amplification is associated with a poor prognosis in GC patients. PMID: 24362523
- POU5F1P1 rs10505477 is correlated with survival of gastric cancer patients who receving cisplatin-based chemotherapy after gastrectomy. PMID: 25046748
- Association of rs7014346 in POU5F1P1, rs989902 in PTPN13, and rs7003146 in TCF7L2 with variations in the risk of breast cancer in a Chinese Han population. PMID: 24338422
- Data suggest that expression of Oct4 and NANOG (Nanog homeobox protein) is up-regulated in visceral adipose tissue stem cells in type 2 diabetes as compared to control; expression is also up-regulated in hyperglycemic conditions. PMID: 23064289
- Over-expression of POU5F1P1 in prostatic carcinoma in addition to its genomic location and the putative function of its gene product render POU5F1P1 a good candidate to harbour functional genetic variants which modulate prostatic cancer susceptibility. PMID: 20017164
- that a putative POU5F1P1 protein is localized in the nucleus, acts as a transcriptional activator and regulates the expression in a similar way to the POU5F1 isoform 1 PMID: 18949397
顯示更多
收起更多
-
亞細胞定位:Nucleus.
-
蛋白家族:POU transcription factor family, Class-5 subfamily
-
組織特異性:Detected at the mRNA level in several cancer tissues (breast, uterine cervix, lung, thyroid gland, esophagus, colon, urinary bladder, and glioma), but absent in normal tissues.
-
數據庫鏈接:
Most popular with customers
-
-
YWHAB Recombinant Monoclonal Antibody
Applications: ELISA, WB, IHC, IF, FC
Species Reactivity: Human, Mouse, Rat
-
Phospho-YAP1 (S127) Recombinant Monoclonal Antibody
Applications: ELISA, WB, IHC
Species Reactivity: Human
-
-
-
-
-















