POU3F1 Antibody
-
中文名稱:POU3F1兔多克隆抗體
-
貨號:CSB-PA166210
-
規格:¥1100
-
圖片:
-
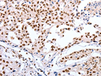
The image on the left is immunohistochemistry of paraffin-embedded Human ovarian cancer tissue using CSB-PA166210(POU3F1 Antibody) at dilution 1/40, on the right is treated with synthetic peptide. (Original magnification: ×200)
-
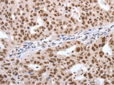
The image on the left is immunohistochemistry of paraffin-embedded Human lung cancer tissue using CSB-PA166210(POU3F1 Antibody) at dilution 1/40, on the right is treated with synthetic peptide. (Original magnification: ×200)
-
-
其他:
產品詳情
-
Uniprot No.:
-
基因名:POU3F1
-
別名:class 3 antibody; Oct-6 antibody; OCT6 antibody; Octamer-binding protein 6 antibody; Octamer-binding transcription factor 6 antibody; OTF-6 antibody; OTF6 antibody; PO3F1_HUMAN antibody; POU class 3 homeobox 1 antibody; POU domain antibody; POU domain class 3 transcription factor 1 antibody; POU domain transcription factor SCIP antibody; pou3f1 antibody; SCIP antibody; transcription factor 1 antibody
-
宿主:Rabbit
-
反應種屬:Human,Mouse,Rat
-
免疫原:Synthetic peptide of Human POU3F1
-
免疫原種屬:Homo sapiens (Human)
-
標記方式:Non-conjugated
-
抗體亞型:IgG
-
純化方式:Antigen affinity purification
-
濃度:It differs from different batches. Please contact us to confirm it.
-
保存緩沖液:-20°C, pH7.4 PBS, 0.05% NaN3, 40% Glycerol
-
產品提供形式:Liquid
-
應用范圍:ELISA,IHC
-
推薦稀釋比:
Application Recommended Dilution ELISA 1:2000-1:5000 IHC 1:50-1:200 -
Protocols:
-
儲存條件:Upon receipt, store at -20°C or -80°C. Avoid repeated freeze.
-
貨期:Basically, we can dispatch the products out in 1-3 working days after receiving your orders. Delivery time maybe differs from different purchasing way or location, please kindly consult your local distributors for specific delivery time.
-
用途:For Research Use Only. Not for use in diagnostic or therapeutic procedures.
相關產品
靶點詳情
-
功能:Transcription factor that binds to the octamer motif (5'-ATTTGCAT-3'). Acts as a transcriptional activator when binding cooperatively with SOX4, SOX11, or SOX12 to gene promoters. Acts as a transcriptional repressor of myelin-specific genes.
-
基因功能參考文獻:
- Combined high OATP1A2/high OCT6 may be a potential predictor of response to anthracycline/taxane-based chemotherapy in breast cancer PMID: 24671357
- CpG island hypermethylation contributes to down-regulation of Oct-6 mRNA expression in hepatocellular carcinoma. PMID: 21448695
- Our results suggest that Tst-1 and Skn-1a regulate expression of MMPs in keratinocytes and effect both the expression and activation of these proteolytic enzymes. PMID: 17195013
- Strict control of Pou3f1 transgene expression is critical to proper myelination, and factors responsible for Pouf31 downregulation during myelination may play important roles in the development of peripheral neuropathies. PMID: 17959798
-
亞細胞定位:Nucleus.
-
蛋白家族:POU transcription factor family, Class-3 subfamily
-
組織特異性:Expressed in embryonal stem cells and in the developing brain.
-
數據庫鏈接:
Most popular with customers
-
-
YWHAB Recombinant Monoclonal Antibody
Applications: ELISA, WB, IHC, IF, FC
Species Reactivity: Human, Mouse, Rat
-
Phospho-YAP1 (S127) Recombinant Monoclonal Antibody
Applications: ELISA, WB, IHC
Species Reactivity: Human
-
-
-
-
-















