POU2F2 Antibody
-
中文名稱:POU2F2兔多克隆抗體
-
貨號:CSB-PA280193
-
規格:¥1100
-
圖片:
-
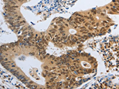
The image on the left is immunohistochemistry of paraffin-embedded Human colon cancer tissue using CSB-PA280193(POU2F2 Antibody) at dilution 1/40, on the right is treated with fusion protein. (Original magnification: ×200)
-
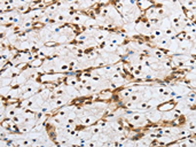
The image on the left is immunohistochemistry of paraffin-embedded Human renal cancer tissue using CSB-PA280193(POU2F2 Antibody) at dilution 1/40, on the right is treated with fusion protein. (Original magnification: ×200)
-
Gel: 10%SDS-PAGE, Lysate: 40 μg, Lane: Human lymphoma tissue, Primary antibody: CSB-PA280193(POU2F2 Antibody) at dilution 1/500, Secondary antibody: Goat anti rabbit IgG at 1/8000 dilution, Exposure time: 1 hour
-
-
其他:
產品詳情
-
Uniprot No.:
-
基因名:POU2F2
-
別名:class 2 antibody; Lymphoid restricted immunoglobulin octamer binding protein antibody; Lymphoid-restricted immunoglobulin octamer-binding protein NF-A2 antibody; NF A2 antibody; Oct 2 antibody; Oct-2 antibody; Octamer binding transcription factor 2 antibody; Octamer-binding protein 2 antibody; Octamer-binding transcription factor 2 antibody; OTF-2 antibody; OTF2 antibody; PO2F2_HUMAN antibody; POU domain antibody; POU domain class 2 transcription factor 2 antibody; POU2F2 antibody; transcription factor 2 antibody
-
宿主:Rabbit
-
反應種屬:Human,Mouse
-
免疫原:Fusion protein of Human POU2F2
-
免疫原種屬:Homo sapiens (Human)
-
標記方式:Non-conjugated
-
抗體亞型:IgG
-
純化方式:Antigen affinity purification
-
濃度:It differs from different batches. Please contact us to confirm it.
-
保存緩沖液:-20°C, pH7.4 PBS, 0.05% NaN3, 40% Glycerol
-
產品提供形式:Liquid
-
應用范圍:ELISA,WB,IHC
-
推薦稀釋比:
Application Recommended Dilution ELISA 1:2000-1:5000 WB 1:500-1:2000 IHC 1:50-1:200 -
Protocols:
-
儲存條件:Upon receipt, store at -20°C or -80°C. Avoid repeated freeze.
-
貨期:Basically, we can dispatch the products out in 1-3 working days after receiving your orders. Delivery time maybe differs from different purchasing way or location, please kindly consult your local distributors for specific delivery time.
-
用途:For Research Use Only. Not for use in diagnostic or therapeutic procedures.
相關產品
靶點詳情
-
功能:Transcription factor that specifically binds to the octamer motif (5'-ATTTGCAT-3'). Regulates IL6 expression in B cells with POU2AF1. Regulates transcription in a number of tissues in addition to activating immunoglobulin gene expression. Modulates transcription transactivation by NR3C1, AR and PGR.; Activates the U2 small nuclear RNA (snRNA) promoter.
-
基因功能參考文獻:
- Identification of novel prostate cancer drivers, ERF, CREB3L1, and POU2F2, using RegNetDriver, a framework for integration of genetic and epigenetic alterations with tissue-specific regulatory network. PMID: 28750683
- POU2F2 regulated ROBO1 transcription, thus functionally contributing to Gastric cancer metastasis. PMID: 26019213
- findings show that cellular factors OCT2 and HCF1 bind OriP in association with Epstein-Barr virus nuclear antigen 1 to maintain elevated histone H3K4me3 and transcriptional enhancer function PMID: 27009953
- B-cell specific transcription factor, Oct-2, inhibits the function of the viral immediate-early protein, BZLF1, and prevents lytic viral reactivation. Oct-2 potentiates establishment of EBV latency in B cells. PMID: 22346751
- Mutations in linker histone genes HIST1H1 B, C, D, and E; OCT2 (POU2F2); IRF8; and ARID1A underlying the pathogenesis of follicular lymphoma. PMID: 24435047
- Half of the cases displayed Oct-2 expression (15/30 cases) of systemic anaplastic large-cell lymphoma measured by tissue microarray immunohistochemistry. PMID: 22158496
- OCT-2 may act as a cell survival factor in acute myeloid leukemia by mediating expression of downstream targets, such as BCL-2. PMID: 20141429
- Gefitinib may exert an inhibitory effect on the intracellular accumulation of drugs transported by hOCT1 and hOCT2. PMID: 20363215
- The function of human Oct-2 in immunoglobulin(Ig)-secreting cells requires plasmacytoma-specific coativator OCA-B working synergistically to sustain the gene expression profile of the Ig-secreting cell. PMID: 14662861
- DNase I-hypersensitive site 4 (hs4) enhancer activity in mature Burkitt's lymphoma B cells is regulated by synergistic involvement of both Oct-2 and NF-kappa B family members; Oct-2 is required for hs4 enhancer activity. PMID: 14707079
- Alteration of the OCT2 locus does not correlate with its suppressed expression in Hodgkin lymphoma. PMID: 15796964
- Oct-2, therefore, acts as a cell survival factor in t(14;18) lymphoma cells by directly activating the antiapoptotic gene bcl-2. PMID: 16186795
- Oct-2, was studied in detail and found to be a bifunctional regulator: It can either repress or induce neuronal differentiation, depending on the particular isoform PMID: 19270158
- Data suggest that OCT2 and/or OCT3 might be involved in the initial component of histamine uptake, whereas the later component of histamine uptake is likely to be mediated by another, as yet undefined uptake system(s). PMID: 19271143
- Renal OCT2 expression is no important in the renal excretion of metformin PMID: 19536068
顯示更多
收起更多
-
亞細胞定位:Cytoplasm. Nucleus.
-
蛋白家族:POU transcription factor family, Class-2 subfamily
-
組織特異性:Isoform 3 is B-cell specific. Isoform 5 is expressed in B-cells and the immunoglobulin-expressing T-cell line MOLT-4, but not in the T-cell line BW5147.
-
數據庫鏈接:
Most popular with customers
-
-
YWHAB Recombinant Monoclonal Antibody
Applications: ELISA, WB, IHC, IF, FC
Species Reactivity: Human, Mouse, Rat
-
Phospho-YAP1 (S127) Recombinant Monoclonal Antibody
Applications: ELISA, WB, IHC
Species Reactivity: Human
-
-
-
-
-















