-
中文名稱:POU1F1兔多克隆抗體
-
貨號:CSB-PA018391LA01HU
-
規格:¥880
-
圖片:
-
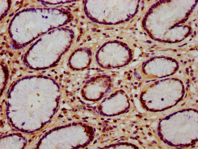
IHC image of CSB-PA018391LA01HU diluted at 1:600 and staining in paraffin-embedded human gastric cancer performed on a Leica BondTM system. After dewaxing and hydration, antigen retrieval was mediated by high pressure in a citrate buffer (pH 6.0). Section was blocked with 10% normal goat serum 30min at RT. Then primary antibody (1% BSA) was incubated at 4°C overnight. The primary is detected by a biotinylated secondary antibody and visualized using an HRP conjugated SP system.
-
-
其他:
產品詳情
-
產品名稱:Rabbit anti-Homo sapiens (Human) POU1F1 Polyclonal antibody
-
Uniprot No.:
-
基因名:POU1F1
-
別名:Dwarf antibody; GHF 1 antibody; GHF 1A antibody; GHF-1 antibody; GHF1 antibody; GHF1A antibody; Growth hormone factor 1 antibody; Hmp 1 antibody; Hmp1 antibody; Pit 1 antibody; Pit 1 beta antibody; PIT 1Z antibody; PiT-1 antibody; Pit1 beta antibody; PIT1_HUMAN antibody; PIT1Z antibody; Pituitary growth hormone antibody; Pituitary specific positive transcription factor 1 antibody; Pituitary-specific positive transcription factor 1 antibody; POU class 1 homeobox 1 antibody; POU domain class 1 transcription factor 1 antibody; POU domain transcriptional regulator antibody; POU1F1 antibody
-
宿主:Rabbit
-
反應種屬:Human
-
免疫原:Recombinant Human Pituitary-specific positive transcription factor 1 protein (34-130AA)
-
免疫原種屬:Homo sapiens (Human)
-
標記方式:Non-conjugated
-
克隆類型:Polyclonal
-
抗體亞型:IgG
-
純化方式:>95%, Protein G purified
-
濃度:It differs from different batches. Please contact us to confirm it.
-
保存緩沖液:Preservative: 0.03% Proclin 300
Constituents: 50% Glycerol, 0.01M PBS, pH 7.4 -
產品提供形式:Liquid
-
應用范圍:ELISA, IHC
-
推薦稀釋比:
Application Recommended Dilution IHC 1:500-1:1000 -
Protocols:
-
儲存條件:Upon receipt, store at -20°C or -80°C. Avoid repeated freeze.
-
貨期:Basically, we can dispatch the products out in 1-3 working days after receiving your orders. Delivery time maybe differs from different purchasing way or location, please kindly consult your local distributors for specific delivery time.
-
用途:For Research Use Only. Not for use in diagnostic or therapeutic procedures.
相關產品
靶點詳情
-
功能:Transcription factor involved in the specification of the lactotrope, somatotrope, and thyrotrope phenotypes in the developing anterior pituitary. Specifically binds to the consensus sequence 5'-TAAAT-3'. Activates growth hormone and prolactin genes.
-
基因功能參考文獻:
- Deletion in the POU1F1 gene is associated with Combined pituitary hormone deficiency. PMID: 28356564
- This result strongly suggests the possibility, for the first time, that isolated mutations in the short isoform of POU1F1 could be sufficient for induction of POU1F1-related combined pituitary hormone deficiency. PMID: 27885216
- High expression level of Pit-1 was significantly associated with poor overall survival of the patients (P=0.001) and Cox regression analysis indicated that Pit-1 might be a prognostic factor for breast cancer prognosis (HR=1.955, 95% CI=1.295-3.035, P=0.003). PMID: 27798557
- The present study reports on screening of POU1F1, PROP1, and HESX1 in combined pituitary hormone deficiency patients and the novel variations identified. PMID: 27756091
- A missense POU1F1 mutation is associated with isolated growth hormone deficiency. PMID: 26612202
- Data identify silent subtype 3 adenomas as aggressive monomorphous plurihormonal adenomas of Pit-1 lineage that may be associated with hyperthyroidism, acromegaly or galactorrhea and amenorrhea. PMID: 26743473
- investigated the specific mutations in PROP1, POU1F1, LHX3, and HESX1 genes in patients with combined pituitary hormone deficiency (CPHD) in Turkey PMID: 25500790
- Pit-1 regulates MMP-1 and MMP-13, and that inhibition of MMP-13 blocked invasiveness to lung in Pit-1-overexpressed breast cancer cells. PMID: 25527274
- These results suggest that the anti-PIT-1 antibody is not a cause but a marker of anti-PIT-1 antibody syndrome, in which cytotoxic T lymphocytes play a pivotal role in the pathogenesis. PMID: 24937538
- New target genes of POU1F1 and downstream networks controlled by this factor. PMID: 22638072
- Expression analysis of HMGA1, HMGA2 and PIT1 in human pituitary adenomas of different histological types revealed a direct correlation between PIT1 and HMGA expression levels. PMID: 22199144
- This is the first report of a mutation at the exon 2 donor splice site of POU1F1, affecting TAD-R2. PMID: 21722153
- HSII confers robust POU1F1-dependent activation of hGH-N in this system. PMID: 22094313
- study, which identifies a novel loss-of-function mutation in POU1F1, describes the phenotype of a rare condition in a patient followed from the first weeks of life to adulthood PMID: 21521297
- Data show no mutations in HESX1, PROP1, and POU1F1 genes, seven different mutations in CTNNB1 in 8/16 patients, and hyperexpression of miR-150. PMID: 21761366
- Pit-1 overexpression or knockdown in human breast cancer cell lines induced profound phenotypic changes in the expression of proteins involved in cell proliferation, apoptosis, and invasion. PMID: 21060149
- These results support the inference that W194XProp1 is unable to increase POU1F1 gene expression by the defect of transactivating domain and that S156insTProp1 is unable to increase due to the loss of DNA-binding activity. PMID: 20381582
- These findings are consistent with a role for Pit-1 as an initiating factor in human growth hormone (hGH) locus activation during somatotrope ontogeny, acting through binding sites at the locus control region. PMID: 19427323
- Novel association of two rare conditions Pit-1 mutation and lipoedema in a family that has not been described before. PMID: 19609847
- Data are consistent with recruitment and an early role for Pit-1 in remodeling of the growth hormone locus control region at the constitutively open hypersensitive site III through protein-protein interaction. PMID: 20395397
- Pit-1 regulates mammary PRL transcription by binding to the proximal PRL promoter. Pit-1 raises cyclin D1 expression before increasing PRL levels. There was a significant correlation between Pit-1 & PRL expression in 94 invasive ductal breast carcinomas. PMID: 19808898
- Data suggest phosphorylation of Pit-1 (POU1F1) at T220 serves as a mechanism to modulate Pit-1 target genes by regulating binding of Pit-1 to monomeric (Pit-1) versus dimeric (Ets-1/Pit-1) sites on DNA PMID: 19887646
- severe hypothyroidism and combined pituitary hormone deficiency due to a new mutation in the PIT-1 gene. the newly described mutation is inherited in an autosomal-recessive way. PMID: 11847467
- the clinical presentation of the PIT1 mutation involves intrauterine growth retardation PMID: 11924936
- silence in silent thyrotroph adenomas seems to be downstream to transcription of Pit-1 gene in the pathway leading to hormone secretion PMID: 12165656
- specification of unique Pit-1 activity in the hGH locus control region PMID: 12189206
- found that codon 24 proline in the transactivation domain as well as the POU domain of Pit-1 was crucial to recruit coactivator CREB-binding protein (CBP) for the expression of Pit-1-targeted genes. PMID: 12200420
- full responsiveness to several signaling pathways regulating the hPRL promoter requires the B2 Pitx binding site and that Pitx factors may be part of the proteic complex involved in these regulations PMID: 12223489
- phosphorylation of Pit-1 affects binding to transcription factor Ets-1 PMID: 12242337
- Pit-1 which is required for generation of hormone producing cells in the anterior pituitary gland, have proved to be important in the cause of hypopituitarism in humans--REVIEW PMID: 12717343
- that phenotypically normal cases have been reported with this mutation, our results deny the relationship between R271W and combined pituitary hormone deficiency. PMID: 12773133
- New mutation located in the N-terminal (Q-4ter) of PIT-1 gene causing recessive combined pitutary hormone deficiency. PMID: 12932747
- PIT1 mutations in man are associated with ...thyroid stimulating hormone and growth hormone deficiency... p. 278 PMID: 14646405
- Mutations within POUF1 or P1T1 are associated with growth hormone, thyroid stimulating hormone and prolactin deficiency... p. 207 PMID: 14714741
- the smad pathway and the tumor suppressor menin are key regulators of activin effects on PRL and Pit-1 expression, as well as on cell growth inhibition PMID: 15031321
- the phenotype associated with POU1F1 mutations may be more variable, with the occasional preservation of TSH secretion in pituitary deficiency disease PMID: 15928241
- Findings are consistent with the existence of LHX4-driven pathway leading to expression of GH through transcriptional activation of POU1F1. They argue against dominant-negative effect of mutant LHX4 proteins over normal LHX4. PMID: 15998782
- The redistribution of co-repressor complexes by Pit-1 might represent an important mechanism by which transcription factors direct changes in cell-specific gene expression. PMID: 16030140
- depending on its level of expression, Pit-1 may be involved in normal mammary development, breast disorders, or both PMID: 16061841
- Data suggest that the expression of Pit-1 in cells of the alpha SU-based gonadotropin cell lineage might also lead to the expression of growth hormone, prolactin, and thyroid-stimulating hormone beta subunit. PMID: 16133148
- CBP/p300 recruitment and Pit-1 dimerization are necessary for Pit-1 target gene activation and are important in the pathogenesis of combined pituitary hormone deficiency PMID: 16263824
- direct interaction between the vitamin D receptor (VDR) as homodimer (without the retinoid X receptor), and the Pit-1 promoter, supporting the view that Pit-1 is a direct transcriptional target of VDR PMID: 16322098
- findings show that activin negatively regulates the human Pit-1 gene promoter; activin effects on Pit-1 gene regulation are Smad independent and require the p38 MAPK pathway PMID: 16740974
- Review article uses Pit-1 as an example while exploring the role of transcription factors in pituitary hormone secretion, and examining mutations involved in human anterior pituitary pathologies. PMID: 16879162
- The growth-promoting effects of Pit-1 are at least partly due to the fact that this transcription factor prevents apoptotic cell death. PMID: 16901973
- the Pit-1/Pit-1beta TADs are composed of multiple, modular, and transferable subdomains, including a regulatory R1 domain, a basal activation region, a selective inhibitory-Ras-responsive segment, and a beta-specific repressor domain PMID: 17021049
- Review discusses the possibility that Pit-1-driven remodeling at nuclease-hypersensitive site (HS) III may precede that at HS I/II in the pituitary. PMID: 17047377
- up-regulation of VDR transcription by Pit-1 is dependent on the presence of VDR protein PMID: 17456792
- Phosphate uptake via Pit-1 is required for osteochondrogenic phenotypic change and calcification of vascular smooth muscle cells in vitro.[review] PMID: 17565274
- novel POU1F1 splice site mutation, IVS4+1G>A, the first of its kind, in a Thai patient with combined pituitary hormone deficiency PMID: 18059085
顯示更多
收起更多
-
相關疾病:Pituitary hormone deficiency, combined, 1 (CPHD1)
-
亞細胞定位:Nucleus.
-
蛋白家族:POU transcription factor family, Class-1 subfamily
-
數據庫鏈接:
Most popular with customers
-
-
YWHAB Recombinant Monoclonal Antibody
Applications: ELISA, WB, IHC, IF, FC
Species Reactivity: Human, Mouse, Rat
-
Phospho-YAP1 (S127) Recombinant Monoclonal Antibody
Applications: ELISA, WB, IHC
Species Reactivity: Human
-
-
-
-
-















