POC1B Antibody
-
中文名稱:POC1B兔多克隆抗體
-
貨號:CSB-PA855046ESR2HU
-
規格:¥440
-
圖片:
-
Western blot
All lanes: POC1B antibody at 2.35μg/ml + Mouse small intestine tissue
Secondary
Goat polyclonal to rabbit IgG at 1/10000 dilution
Predicted band size: 54, 50 kDa
Observed band size: 54 kDa -
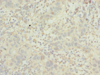
Immunohistochemistry of paraffin-embedded human testis tissue using CSB-PA855046ESR2HU at dilution of 1:100
-
Immunohistochemistry of paraffin-embedded human bladder cancer using CSB-PA855046ESR2HU at dilution of 1:100
-
-
其他:
產品詳情
-
產品名稱:Rabbit anti-Homo sapiens (Human) POC1B Polyclonal antibody
-
Uniprot No.:
-
基因名:POC1B
-
別名:4933430F16Rik antibody; FLJ14923 antibody; FLJ41111 antibody; Pix1 antibody; POC1 centriolar protein homolog B (Chlamydomonas) antibody; POC1 centriolar protein homolog B antibody; POC1B antibody; POC1B_HUMAN antibody; TUWD12 antibody; WD repeat containing protein 51B antibody; WD repeat domain 51B antibody; WD repeat-containing protein 51B antibody; WDR51B antibody
-
宿主:Rabbit
-
反應種屬:Human, Mouse
-
免疫原:Recombinant Human POC1 centriolar protein homolog B protein (299-478AA)
-
免疫原種屬:Homo sapiens (Human)
-
標記方式:Non-conjugated
-
克隆類型:Polyclonal
-
抗體亞型:IgG
-
純化方式:Antigen Affinity Purified
-
濃度:It differs from different batches. Please contact us to confirm it.
-
保存緩沖液:PBS with 0.02% sodium azide, 50% glycerol, pH7.3.
-
產品提供形式:Liquid
-
應用范圍:ELISA, WB, IHC
-
推薦稀釋比:
Application Recommended Dilution WB 1:1000-1:5000 IHC 1:20-1:200 -
Protocols:
-
儲存條件:Upon receipt, store at -20°C or -80°C. Avoid repeated freeze.
-
貨期:Basically, we can dispatch the products out in 1-3 working days after receiving your orders. Delivery time maybe differs from different purchasing way or location, please kindly consult your local distributors for specific delivery time.
-
用途:For Research Use Only. Not for use in diagnostic or therapeutic procedures.
相關產品
靶點詳情
-
功能:Plays an important role in centriole assembly and/or stability and ciliogenesis. Involved in early steps of centriole duplication, as well as in the later steps of centriole length control. Acts in concert with POC1A to ensure centriole integrity and proper mitotic spindle formation. Required for primary cilia formation, ciliary length and also cell proliferation. Required for retinal integrity.
-
基因功能參考文獻:
- Depletion of CEP295 blocks the incorporation of POC5 and POC1B into the distal portion of centrioles and suppresses the post-translational modification of centriolar microtubules . Our study thus uncovers a new role for CEP295 during centriole elongation. PMID: 27185865
- Intronic SNP in POC1B/GALNT4 locus (rs11105306) was associated with NT-proBNP levels in patients with acute coronary syndrome (ACS). The POC1B/GALNT4 SNP was not associated with higher risk of cardiovascular death. PMID: 26908625
- Study found that homozygous POC1B mutation, i.e., c.737C --> T(p.T246 M), cosegregated with the phenotype of a tested family, indicating that POC1B gene was the most possible pathogenic gene for paroxysmal kinesigenic dyskinesia PMID: 26650803
- Study indicates that POC1B is required for retinal integrity, and is proposed POC1B mutations as a probable cause for Joubert syndrome with severe polycystic kidney disease. PMID: 25044745
- POC1B is a novel gene for a new disease typical of cone-rod dystrophy except that patients did not report night blindness. PMID: 24945461
- POC1B mutations result in a defect of the photoreceptor sensory cilium and thus affect cone and rod photoreceptors. PMID: 25018096
- Poc1A and Poc1B play redundant, but essential, roles in generation of stable centrioles, but Poc1B may have additional independent functions during cell cycle progression. PMID: 23015594
- Clinical trial of gene-disease association and gene-environment interaction. (HuGE Navigator) PMID: 20379614
- Poc1B is required for primary ciliogenesis; Poc1 provides a molecular link between the assembly and stability of centrioles for ciliary-based motility in T. thermophila and cilia formation and function in zebrafish and humans PMID: 20008567
- Based on these data, we propose that Pix1 and Pix2 are microtubule-associated adaptor proteins that likely contribute to a range of developmental and cell division processes. PMID: 18068700
顯示更多
收起更多
-
相關疾病:Cone-rod dystrophy 20 (CORD20)
-
亞細胞定位:Cytoplasm, cytoskeleton, microtubule organizing center, centrosome. Cytoplasm, cytoskeleton, microtubule organizing center, centrosome, centriole. Cytoplasm, cytoskeleton, cilium basal body. Cytoplasm, cytoskeleton, spindle pole.
-
蛋白家族:WD repeat POC1 family
-
組織特異性:Expressed in the retina.
-
數據庫鏈接:
Most popular with customers
-
YWHAB Recombinant Monoclonal Antibody
Applications: ELISA, WB, IHC, IF, FC
Species Reactivity: Human, Mouse, Rat
-
Phospho-YAP1 (S127) Recombinant Monoclonal Antibody
Applications: ELISA, WB, IHC
Species Reactivity: Human
-
-
-
-
-
-















