PNPO Antibody
-
中文名稱:PNPO兔多克隆抗體
-
貨號:CSB-PA885740LA01HU
-
規格:¥440
-
圖片:
-
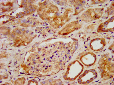
IHC image of CSB-PA885740LA01HU diluted at 1:600 and staining in paraffin-embedded human kidney tissue performed on a Leica BondTM system. After dewaxing and hydration, antigen retrieval was mediated by high pressure in a citrate buffer (pH 6.0). Section was blocked with 10% normal goat serum 30min at RT. Then primary antibody (1% BSA) was incubated at 4°C overnight. The primary is detected by a biotinylated secondary antibody and visualized using an HRP conjugated SP system.
-
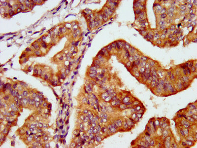
IHC image of CSB-PA885740LA01HU diluted at 1:600 and staining in paraffin-embedded human endometrial cancer performed on a Leica BondTM system. After dewaxing and hydration, antigen retrieval was mediated by high pressure in a citrate buffer (pH 6.0). Section was blocked with 10% normal goat serum 30min at RT. Then primary antibody (1% BSA) was incubated at 4°C overnight. The primary is detected by a biotinylated secondary antibody and visualized using an HRP conjugated SP system.
-
Immunofluorescence staining of Hela cells with CSB-PA885740LA01HU at 1:200, counter-stained with DAPI. The cells were fixed in 4% formaldehyde, permeabilized using 0.2% Triton X-100 and blocked in 10% normal Goat Serum. The cells were then incubated with the antibody overnight at 4°C. The secondary antibody was Alexa Fluor 488-congugated AffiniPure Goat Anti-Rabbit IgG(H+L).
-
-
其他:
產品詳情
-
產品名稱:Rabbit anti-Homo sapiens (Human) PNPO Polyclonal antibody
-
Uniprot No.:
-
基因名:PNPO
-
別名:EC 1.4.3.5 antibody; FLJ10535 antibody; PDXPO antibody; PNPO antibody; PNPO_HUMAN antibody; Pyridoxal 5' phosphate synthase antibody; pyridoxamine 5' phosphate oxidase antibody; Pyridoxamine phosphate oxidase antibody; Pyridoxamine-phosphate oxidase antibody; pyridoxine 5' phosphate oxidase antibody; Pyridoxine-5'-phosphate oxidase antibody
-
宿主:Rabbit
-
反應種屬:Human
-
免疫原:Recombinant Human Pyridoxine-5\'-phosphate oxidase protein (114-207AA)
-
免疫原種屬:Homo sapiens (Human)
-
標記方式:Non-conjugated
本頁面中的產品,PNPO Antibody (CSB-PA885740LA01HU),的標記方式是Non-conjugated。對于PNPO Antibody,我們還提供其他標記。見下表:
-
克隆類型:Polyclonal
-
抗體亞型:IgG
-
純化方式:>95%, Protein G purified
-
濃度:It differs from different batches. Please contact us to confirm it.
-
保存緩沖液:Preservative: 0.03% Proclin 300
Constituents: 50% Glycerol, 0.01M PBS, pH 7.4 -
產品提供形式:Liquid
-
應用范圍:ELISA, IHC, IF
-
推薦稀釋比:
Application Recommended Dilution IHC 1:500-1:1000 IF 1:200-1:500 -
Protocols:
-
儲存條件:Upon receipt, store at -20°C or -80°C. Avoid repeated freeze.
-
貨期:Basically, we can dispatch the products out in 1-3 working days after receiving your orders. Delivery time maybe differs from different purchasing way or location, please kindly consult your local distributors for specific delivery time.
-
用途:For Research Use Only. Not for use in diagnostic or therapeutic procedures.
相關產品
靶點詳情
-
功能:Catalyzes the oxidation of either pyridoxine 5'-phosphate (PNP) or pyridoxamine 5'-phosphate (PMP) into pyridoxal 5'-phosphate (PLP).
-
基因功能參考文獻:
- TGF-beta1-mediated PNPO expression was at least in part through the upregulation of miR-143-3p in epithelial ovarian cancer. PMID: 29238081
- data support a pathogenic role of the c.347G>A (p.Arg116Gln) mutation in PNPO deficiency; the later onset of symptoms and the milder epilepsy phenotype of these expand the disease phenotype PMID: 28818555
- Exome sequencing revealed that the patient was compound heterozygous for pathogenic mutations [c.546+1G>A (IVS5+1 G>A) and c.620delG (p.G207VfsX215)] in the PNPO gene. PMID: 26535729
- One sequence variant, R116Q, a single nucleotide polymorphism that has been reported in the general population, was found to have an effect on PNPO activity. PMID: 24645144
- Challenge to the paradigm of exclusive PLP responsiveness in patients with pyridoxal 5'-phosphate oxidase deficiency and underlines the importance of consecutive testing of pyridoxine and PLP in neonates with antiepileptic drug-resistant seizures. PMID: 24658933
- Generalized epilepsies implicates susceptibility genes: CHRM3 at 1q43, VRK2 at 2p16.1, ZEB2 at 2q22.3, SCN1A at 2q24.3 and PNPO at 17q21.32. PMID: 22949513
- provide evidence that a single arginine residue of the C terminus of pyridoxal 5'-phosphate synthase is responsible for coordinating co-operativity in this elaborate protein machinery PMID: 21283685
- Results describe a combined computer and biochemical approach to characterize human pyridoxine 5'-phosphate oxidase (PNPO). PMID: 15182361
- several mutations appear to cause epilepsy PMID: 15772097
- We examined 8 single nucleotide polymorphisms (SNPs) in PNPO and its 5'-flanking regions in 359 schizophrenia patients and 582 control subjects. PMID: 17851041
- Sequencing of the PNPO gene revealed a novel homozygous nonsense mutationt in exon 3 in the neonatal and infantile seizure. PMID: 18485777
- PNP oxidase R229W mutation identified in patients with neonatal epileptic encephalopathy sgnificantly affect the catalytic efficiency of the enzyme. PMID: 19759001
顯示更多
收起更多
-
相關疾病:Pyridoxine-5'-phosphate oxidase deficiency (PNPOD)
-
蛋白家族:Pyridoxamine 5'-phosphate oxidase family
-
數據庫鏈接:
Most popular with customers
-
YWHAB Recombinant Monoclonal Antibody
Applications: ELISA, WB, IHC, IF, FC
Species Reactivity: Human, Mouse, Rat
-
Phospho-YAP1 (S127) Recombinant Monoclonal Antibody
Applications: ELISA, WB, IHC
Species Reactivity: Human
-
-
-
-
-
-















