PMPCB Antibody
-
中文名稱:PMPCB兔多克隆抗體
-
貨號:CSB-PA280859
-
規格:¥1100
-
圖片:
-
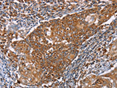
The image on the left is immunohistochemistry of paraffin-embedded Human cervical cancer tissue using CSB-PA280859(PMPCB Antibody) at dilution 1/50, on the right is treated with fusion protein. (Original magnification: ×200)
-
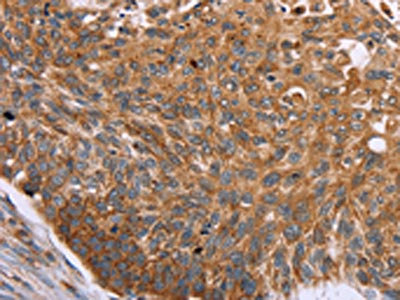
The image on the left is immunohistochemistry of paraffin-embedded Human esophagus cancer tissue using CSB-PA280859(PMPCB Antibody) at dilution 1/50, on the right is treated with fusion protein. (Original magnification: ×200)
-
-
其他:
產品詳情
-
Uniprot No.:
-
基因名:
-
別名:Beta MPP antibody; Beta-MPP antibody; BetaMPP antibody; Mitochondrial processing peptidase subunit beta antibody; Mitochondrial-processing peptidase subunit beta antibody; MPP11 antibody; MPPB antibody; MPPB_HUMAN antibody; MPPP52 antibody; P 52 antibody; P-52 antibody; P52 antibody; Peptidase mitichondrial processing beta antibody; PMPCB antibody
-
宿主:Rabbit
-
反應種屬:Human,Mouse,Rat
-
免疫原:Fusion protein of Human PMPCB
-
免疫原種屬:Homo sapiens (Human)
-
標記方式:Non-conjugated
-
抗體亞型:IgG
-
純化方式:Antigen affinity purification
-
濃度:It differs from different batches. Please contact us to confirm it.
-
保存緩沖液:-20°C, pH7.4 PBS, 0.05% NaN3, 40% Glycerol
-
產品提供形式:Liquid
-
應用范圍:ELISA,IHC
-
推薦稀釋比:
Application Recommended Dilution ELISA 1:2000-1:5000 IHC 1:50-1:200 -
Protocols:
-
儲存條件:Upon receipt, store at -20°C or -80°C. Avoid repeated freeze.
-
貨期:Basically, we can dispatch the products out in 1-3 working days after receiving your orders. Delivery time maybe differs from different purchasing way or location, please kindly consult your local distributors for specific delivery time.
-
用途:For Research Use Only. Not for use in diagnostic or therapeutic procedures.
相關產品
靶點詳情
-
功能:Catalytic subunit of the essential mitochondrial processing protease (MPP), which cleaves the mitochondrial sequence off newly imported precursors proteins (Probable). Preferentially, cleaves after an arginine at position P2. Required for PINK1 turnover by coupling PINK1 mitochondrial import and cleavage, which results in subsequent PINK1 proteolysis.
-
基因功能參考文獻:
- biallelic mutations in PMPCB cause defects in MPP proteolytic activity leading to dysregulation of iron-sulfur cluster biogenesis and triggering a complex neurological phenotype of neurodegeneration in early childhood. PMID: 29576218
- OxLDL triggers retrograde translocation of arginase2 in aortic endothelial cells via ROCK and mitochondrial processing peptidase. PMID: 24903103
- These results highlight a new role for MPP in PINK1 import and mitochondrial quality control via the PINK1-Parkin pathway. PMID: 22354088
- maintained expression and even up-regulation of some (PNPT1, PMPCB, HMMR/RHAMM, BSG and ERCC1) tumor associated antigens in CD40-activated leukemic cells. PMID: 19580345
-
亞細胞定位:Mitochondrion matrix.
-
蛋白家族:Peptidase M16 family
-
數據庫鏈接:
Most popular with customers
-
-
YWHAB Recombinant Monoclonal Antibody
Applications: ELISA, WB, IHC, IF, FC
Species Reactivity: Human, Mouse, Rat
-
Phospho-YAP1 (S127) Recombinant Monoclonal Antibody
Applications: ELISA, WB, IHC
Species Reactivity: Human
-
-
-
-
-















