PLXNA2 Antibody
-
中文名稱:PLXNA2兔多克隆抗體
-
貨號:CSB-PA563141
-
規格:¥1100
-
圖片:
-
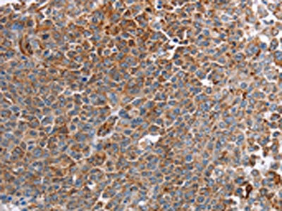
The image on the left is immunohistochemistry of paraffin-embedded Human ovarian cancer tissue using CSB-PA563141(PLXNA2 Antibody) at dilution 1/40, on the right is treated with synthetic peptide. (Original magnification: ×200)
-
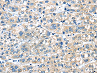
The image on the left is immunohistochemistry of paraffin-embedded Human liver cancer tissue using CSB-PA563141(PLXNA2 Antibody) at dilution 1/40, on the right is treated with synthetic peptide. (Original magnification: ×200)
-
-
其他:
產品詳情
-
Uniprot No.:
-
基因名:PLXNA2
-
別名:Plexin-A2 antibody; PlexinA2 antibody; PLXA2 antibody; PLXA2_HUMAN antibody; PLXNA2 antibody; Semaphorin receptor OCT antibody
-
宿主:Rabbit
-
反應種屬:Human,Mouse
-
免疫原:Synthetic peptide of Human PLXNA2
-
免疫原種屬:Homo sapiens (Human)
-
標記方式:Non-conjugated
-
抗體亞型:IgG
-
純化方式:Antigen affinity purification
-
濃度:It differs from different batches. Please contact us to confirm it.
-
保存緩沖液:-20°C, pH7.4 PBS, 0.05% NaN3, 40% Glycerol
-
產品提供形式:Liquid
-
應用范圍:ELISA,IHC
-
推薦稀釋比:
Application Recommended Dilution ELISA 1:2000-1:5000 IHC 1:50-1:200 -
Protocols:
-
儲存條件:Upon receipt, store at -20°C or -80°C. Avoid repeated freeze.
-
貨期:Basically, we can dispatch the products out in 1-3 working days after receiving your orders. Delivery time maybe differs from different purchasing way or location, please kindly consult your local distributors for specific delivery time.
-
用途:For Research Use Only. Not for use in diagnostic or therapeutic procedures.
相關產品
靶點詳情
-
功能:Coreceptor for SEMA3A and SEMA6A. Necessary for signaling by SEMA6A and class 3 semaphorins and subsequent remodeling of the cytoskeleton. Plays a role in axon guidance, invasive growth and cell migration. Class 3 semaphorins bind to a complex composed of a neuropilin and a plexin. The plexin modulates the affinity of the complex for specific semaphorins, and its cytoplasmic domain is required for the activation of down-stream signaling events in the cytoplasm.
-
基因功能參考文獻:
- although plexin-A4 overexpression restored Sema3A signaling in plexin-A1-silenced cells, it failed to restore Sema3B signaling in plexin-A2-silenced cells. PMID: 25335892
- PLXNA2 upregulation contributes to TMPRSS2:ERG-mediated enhancements of PC3c cell migration and invasion. PMID: 23708657
- PLXNA2 has been identified as a new rare copy number variations gene for tetralogy of Fallot. PMID: 22912587
- results of our study reveal that PlxnA2 has a pro-osteogenic function by modulating BMP2 signaling PMID: 22095611
- PLXNA2 polymorphisms show association with ankylosing spondylitis. PMID: 22011406
- in vitro analysis of PLXNA2 revealed that the gene has higher expression in more aggressive breast cancer cell types. PMID: 21925246
- An association is identified between variants in the PLXNA2 gene and schizophrenia in two collections of schizophrenia cases and controls. High-density SNP mapping showed that the region of association spans approximately 60 kb of the PLXNA2 gene. PMID: 16402134
- results suggest that PLXNA2 may not play a major role in the development of schizophrenia in our Japanese sample PMID: 17346868
- PLXNA2 confers a varying genetic risk for schizophrenia among different populations. PMID: 18065206
- Analysis of 3 SNPs at the PLXN A2 locus; we failed to replicate previously reported association of this locus and schizophrenia. PMID: 18096369
- mutations in GATA6 are genetic causes of congenital heart diseases involving outflow tract defects, as a result of the disruption of the direct regulation of semaphorin 3C-plexin A2 signaling PMID: 19666519
顯示更多
收起更多
-
亞細胞定位:Cell membrane; Single-pass type I membrane protein.
-
蛋白家族:Plexin family
-
組織特異性:Detected in fetal brain.
-
數據庫鏈接:
Most popular with customers
-
-
YWHAB Recombinant Monoclonal Antibody
Applications: ELISA, WB, IHC, IF, FC
Species Reactivity: Human, Mouse, Rat
-
Phospho-YAP1 (S127) Recombinant Monoclonal Antibody
Applications: ELISA, WB, IHC
Species Reactivity: Human
-
-
-
-
-















