PLPP2 Antibody
-
中文名稱:PLPP2兔多克隆抗體
-
貨號:CSB-PA018416LA01HU
-
規格:¥440
-
圖片:
-
Western blot
All lanes: PLPP2 antibody at 8µg/ml + MCF-7 whole cell lysate
Secondary
Goat polyclonal to rabbit IgG at 1/10000 dilution
Predicted band size: 33, 35, 27 kDa
Observed band size: 33 kDa -
Immunohistochemistry of paraffin-embedded human colon cancer using CSB-PA018416LA01HU at dilution of 1:100
-
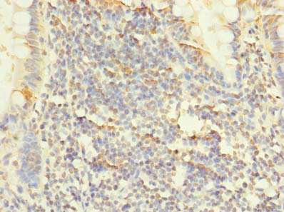
Immunohistochemistry of paraffin-embedded human small intestine tissue using CSB-PA018416LA01HU at dilution of 1:100
-
Immunofluorescent analysis of A549 cells using CSB-PA018416LA01HU at dilution of 1:100 and Alexa Fluor 488-congugated AffiniPure Goat Anti-Rabbit IgG(H+L)
-
-
其他:
產品詳情
-
產品名稱:Rabbit anti-Homo sapiens (Human) PLPP2 Polyclonal antibody
-
Uniprot No.:
-
基因名:
-
別名:PLPP2; LPP2; PPAP2C; Phospholipid phosphatase 2; Lipid phosphate phosphohydrolase 2; PAP2-gamma; PAP2-G; Phosphatidate phosphohydrolase type 2c; Phosphatidic acid phosphatase 2c; PAP-2c; PAP2c
-
宿主:Rabbit
-
反應種屬:Human
-
免疫原:Recombinant Human Phospholipid phosphatase 2 protein (109-162AA)
-
免疫原種屬:Homo sapiens (Human)
-
標記方式:Non-conjugated
本頁面中的產品,PLPP2 Antibody (CSB-PA018416LA01HU),的標記方式是Non-conjugated。對于PLPP2 Antibody,我們還提供其他標記。見下表:
-
克隆類型:Polyclonal
-
抗體亞型:IgG
-
純化方式:>95%, Protein G purified
-
濃度:It differs from different batches. Please contact us to confirm it.
-
保存緩沖液:Preservative: 0.03% Proclin 300
Constituents: 50% Glycerol, 0.01M PBS, PH 7.4 -
產品提供形式:Liquid
-
應用范圍:ELISA, WB, IHC, IF
-
推薦稀釋比:
Application Recommended Dilution WB 1:500-1:2000 IHC 1:20-1:200 IF 1:50-1:200 -
Protocols:
-
儲存條件:Upon receipt, store at -20°C or -80°C. Avoid repeated freeze.
-
貨期:Basically, we can dispatch the products out in 1-3 working days after receiving your orders. Delivery time maybe differs from different purchasing way or location, please kindly consult your local distributors for specific delivery time.
-
用途:For Research Use Only. Not for use in diagnostic or therapeutic procedures.
相關產品
靶點詳情
-
功能:Magnesium-independent phospholipid phosphatase that catalyzes the dephosphorylation of a variety of glycerolipid and sphingolipid phosphate esters including phosphatidate/PA, lysophosphatidate/LPA, sphingosine 1-phosphate/S1P and ceramide 1-phosphate/C1P. Has no apparent extracellular phosphatase activity and therefore most probably acts intracellularly. Also acts on N-oleoyl ethanolamine phosphate/N-(9Z-octadecenoyl)-ethanolamine phosphate, a potential physiological compound. Through dephosphorylation of these bioactive lipid mediators produces new bioactive compounds and may regulate signal transduction in different cellular processes (Probable). Indirectly regulates, for instance, cell cycle G1/S phase transition through its phospholipid phosphatase activity.
-
基因功能參考文獻:
- identified a novel and specific role for LPP2 activity and bioactive lipids in regulating cell cycle progression PMID: 16467304
- endogenous LPP2 and LPP3 form homo- and hetero-oligomers, which differ in their subcellular localization and which may confer differing spatial regulation of phosphatidic acid and sphingosine 1-phosphate signalling PMID: 18215144
-
亞細胞定位:Membrane; Multi-pass membrane protein. Cell membrane; Multi-pass membrane protein. Early endosome membrane; Multi-pass membrane protein. Endoplasmic reticulum membrane; Multi-pass membrane protein.
-
蛋白家族:PA-phosphatase related phosphoesterase family
-
組織特異性:Found mainly in brain, pancreas and placenta.
-
數據庫鏈接:
Most popular with customers
-
-
YWHAB Recombinant Monoclonal Antibody
Applications: ELISA, WB, IHC, IF, FC
Species Reactivity: Human, Mouse, Rat
-
Phospho-YAP1 (S127) Recombinant Monoclonal Antibody
Applications: ELISA, WB, IHC
Species Reactivity: Human
-
-
-
-
-















