PLK3 Antibody
-
中文名稱:PLK3兔多克隆抗體
-
貨號:CSB-PA275027
-
規格:¥1100
-
圖片:
-
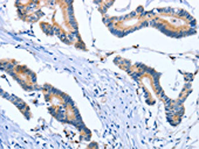
The image on the left is immunohistochemistry of paraffin-embedded Human colon cancer tissue using CSB-PA275027(PLK3 Antibody) at dilution 1/30, on the right is treated with fusion protein. (Original magnification: ×200)
-
Gel: 8%SDS-PAGE, Lysate: 40 μg, Lane: A431 cell, Primary antibody: CSB-PA275027(PLK3 Antibody) at dilution 1/200 dilution, Secondary antibody: Goat anti rabbit IgG at 1/8000 dilution, Exposure time: 1 minute
-
-
其他:
產品詳情
-
Uniprot No.:
-
基因名:
-
別名:CNK antibody; Cytokine Inducible Kinase antibody; Cytokine-inducible serine/threonine-protein kinase antibody; FGF inducible kinase antibody; FGF-inducible kinase antibody; FNK antibody; PLK-3 antibody; Plk3 antibody; PLK3_HUMAN antibody; Polo Like Kinase 3 antibody; Polo-like kinase 3 antibody; PRK antibody; Proliferation Related Kinase antibody; Proliferation-related kinase antibody; Serine/threonine-protein kinase PLK3 antibody
-
宿主:Rabbit
-
反應種屬:Human,Mouse,Rat
-
免疫原:Fusion protein of Human PLK3
-
免疫原種屬:Homo sapiens (Human)
-
標記方式:Non-conjugated
-
抗體亞型:IgG
-
純化方式:Antigen affinity purification
-
濃度:It differs from different batches. Please contact us to confirm it.
-
保存緩沖液:-20°C, pH7.4 PBS, 0.05% NaN3, 40% Glycerol
-
產品提供形式:Liquid
-
應用范圍:ELISA,WB,IHC
-
推薦稀釋比:
Application Recommended Dilution ELISA 1:1000-1:2000 WB 1:200-1:1000 IHC 1:25-1:100 -
Protocols:
-
儲存條件:Upon receipt, store at -20°C or -80°C. Avoid repeated freeze.
-
貨期:Basically, we can dispatch the products out in 1-3 working days after receiving your orders. Delivery time maybe differs from different purchasing way or location, please kindly consult your local distributors for specific delivery time.
-
用途:For Research Use Only. Not for use in diagnostic or therapeutic procedures.
相關產品
靶點詳情
-
功能:Serine/threonine-protein kinase involved in cell cycle regulation, response to stress and Golgi disassembly. Polo-like kinases act by binding and phosphorylating proteins are that already phosphorylated on a specific motif recognized by the POLO box domains. Phosphorylates ATF2, BCL2L1, CDC25A, CDC25C, CHEK2, HIF1A, JUN, p53/TP53, p73/TP73, PTEN, TOP2A and VRK1. Involved in cell cycle regulation: required for entry into S phase and cytokinesis. Phosphorylates BCL2L1, leading to regulate the G2 checkpoint and progression to cytokinesis during mitosis. Plays a key role in response to stress: rapidly activated upon stress stimulation, such as ionizing radiation, reactive oxygen species (ROS), hyperosmotic stress, UV irradiation and hypoxia. Involved in DNA damage response and G1/S transition checkpoint by phosphorylating CDC25A, p53/TP53 and p73/TP73. Phosphorylates p53/TP53 in response to reactive oxygen species (ROS), thereby promoting p53/TP53-mediated apoptosis. Phosphorylates CHEK2 in response to DNA damage, promoting the G2/M transition checkpoint. Phosphorylates the transcription factor p73/TP73 in response to DNA damage, leading to inhibit p73/TP73-mediated transcriptional activation and pro-apoptotic functions. Phosphorylates HIF1A and JUN is response to hypoxia. Phosphorylates ATF2 following hyperosmotic stress in corneal epithelium. Also involved in Golgi disassembly during the cell cycle: part of a MEK1/MAP2K1-dependent pathway that induces Golgi fragmentation during mitosis by mediating phosphorylation of VRK1. May participate in endomitotic cell cycle, a form of mitosis in which both karyokinesis and cytokinesis are interrupted and is a hallmark of megakaryocyte differentiation, via its interaction with CIB1.
-
基因功能參考文獻:
- Those data indicate that the overexpression of PLK3-mediated degradation of abnormal PrP is largely dependent on chaperone-mediated autophagy pathway. PMID: 27344333
- study revealed an interesting mutual regulation between Plk3 and SIAH2 and uncovered a regulatory network that functions to fine-tune the cellular hypoxic response. PMID: 28515325
- the differential effects of hypoxic stress on Plk3 activity in Human Limbal Stem and HCE cells. Instead of apoptosis, hypoxic stress suppresses Plk3 activity to protect limbal stem cells from death and to allow the process of Human Limbal Stem cell differentiation. PMID: 27281822
- Data suggest that HOXA-AS2 could be an oncogene for gastric cancer partly through suppressing P21, PLK3, and DDIT3 expression. PMID: 26384350
- PLK3 predominantly is expressed in Cholangiocarcinomas (CCA) cells and that high PLK3 expression correlates with prolonged overall survival. PMID: 25818805
- The role of Plk3 in oncogenesis: the aberrant expression of Plk3 was found in different types of tumors. PMID: 25915845
- hyperosmotic stress-activated Plk3 elicited gammaH2AX. PMID: 25202016
- Plk3 binds to CtIP phosphorylated at S327 via its Polo box domains, which is necessary for robust damage-induced CtIP phosphorylation at S327 and subsequent CtIP phosphorylation at T847. PMID: 25267294
- have identified and validated as in vitro PLK2 and PLK3 substrates HSP90, GRP-94, beta-tubulin, calumenin, and 14-3-3 epsilon PMID: 22828320
- Here, the authors report phosphorylation of Thr4 by Polo-like kinase 3 in mammalian cells. PMID: 22549466
- Bcl-xL phosphorylation at Ser49 by polo-like kinase 3 during cell cycle progression and checkpoints PMID: 21840391
- Calcium- and integrin-binding protein 1 regulates microtubule organization and centrosome segregation through polo like kinase 3 during cell cycle progression. PMID: 20951827
- hyperosmotic stress can activate the Plk3 signaling pathway that subsequently regulates the AP-1 complex by directly phosphorylating ATF-2 independent from the effects of JNK and p38 activation. PMID: 21098032
- Plk3 functions as an essential component of the hypoxia regulatory pathway by direct phosphorylation of HIF-1alpha PMID: 20889502
- upregulation of CIB1 in cancer cells may inhibit Plk3 activity, leading to abnormal cell cycle regulation in breast cancer cells. PMID: 20473878
- Plk3 as a new player in the regulation of the PI3K/PDK1/Akt signaling axis by phosphorylation and stabilization of PTEN. PMID: 20940307
- The Plk3 overexpression suppressed cellular growth in a long-term colony-forming assay. And overexpression of Plk3 caused long-term growth suppression in Ras-transformed NIH3T3. PMID: 19556223
- These results suggest that Polo-like kinase regulates the dissociation of cohesin from chromosomes early in mitosis. (cohesin) PMID: 11931760
- Results suggest that Plk3 plays an important role in the regulation of microtubule dynamics and centrosomal function in the cell and that deregulated expression of Plk3 results in cell cycle arrest and apoptosis. PMID: 11971976
- Plk3 is a multifunctional protein that associates with multiple complexes and that contributes to response to stress incurred by DNA damage and mitotic spindle disruption, albeit via different pathways. PMID: 12242661
- Plk3 is rapidly activated by reactive oxygen species in fibroblasts, correlating with increased p53 protein levels. Plk3 physically interacts with Chk2 and the interaction is enhanced upon DNA damage. PMID: 12548019
- Plk3 has a role in coordinating the translocation and perhaps the timing of both Cdc25C and its target Cdc2/cyclin B to the nucleus upon entry into mitosis PMID: 14968113
- Plk3 may be a key protein kinase mediating MEK1 function in the Golgi fragmentation pathway during cell division. PMID: 15021912
- Plk3 is a RelA-NF-kappaB-regulated gene that induces apoptosis in both p53-dependent and -independent signaling pathways PMID: 15671037
- Introduction of plk3 gene into tumor cells with RV vectors can slow down cell proliferation, prevent cells into cell cycle and protect cells from apoptosis in serum-free culture. PMID: 16388739
- the Polo box domain of Plk3 is more potent in inhibiting cell proliferation and inducing apoptosis than that of Plk1 PMID: 16478733
- Plk3 is in a pathway linking ATM, Plk3, Chk2, Cdc25C and Cdc2 in cellular response to DNA damage. PMID: 16481012
- Plk3 localizes to the nucleolus and is involved in regulation of the G1/S phase transition. PMID: 17264206
- Results show that Plk3 mediates UV irradiation-induced c-Jun activation by phosphorylating c-Jun, suggesting that Plk3 plays an important role in mediating programmed cell death of corneal epithelial cells after UV irradiation. PMID: 17804415
- topoisomerase IIalpha is a novel physiological substrate for Plk3, and Plk1 and Plk3 play different roles in cell-cycle regulation. PMID: 18062778
- hypoxia/reoxygenation induces Plk3 activation instead of the JNK effect to directly phosphorylate and activate c-Jun, subsequently contributing to apoptosis in human corneal epithelial cells PMID: 18650425
- The Plk3-VRK1 kinase module might represent two consecutive steps of a signaling cascade that participates in the regulation of Golgi fragmentation. PMID: 19103756
顯示更多
收起更多
-
亞細胞定位:Cytoplasm. Nucleus. Nucleus, nucleolus. Golgi apparatus. Cytoplasm, cytoskeleton, microtubule organizing center, centrosome.
-
蛋白家族:Protein kinase superfamily, Ser/Thr protein kinase family, CDC5/Polo subfamily
-
組織特異性:Transcripts are highly detected in placenta, lung, followed by skeletal muscle, heart, pancreas, ovaries and kidney and weakly detected in liver and brain. May have a short half-live. In cells of hematopoietic origin, strongly and exclusively detected in
-
數據庫鏈接:
Most popular with customers
-
YWHAB Recombinant Monoclonal Antibody
Applications: ELISA, WB, IHC, IF, FC
Species Reactivity: Human, Mouse, Rat
-
Phospho-YAP1 (S127) Recombinant Monoclonal Antibody
Applications: ELISA, WB, IHC
Species Reactivity: Human
-
-
-
-
-
-















