PLEKHS1 Antibody
-
中文名稱:PLEKHS1兔多克隆抗體
-
貨號:CSB-PA716341LA01HU
-
規格:¥440
-
圖片:
-
Western Blot
Positive WB detected in: A549 whole cell lysate,Hela whole cell lysate,MCF7 whole cell lysate,SY5Y whole cell lysate
All lanes: PLEKHS1 antibody at 1:1000
Secondary
Goat polyclonal to rabbit IgG at 1/50000 dilution
Predicted band size: 52 kDa
Observed band size: 52 kDa -
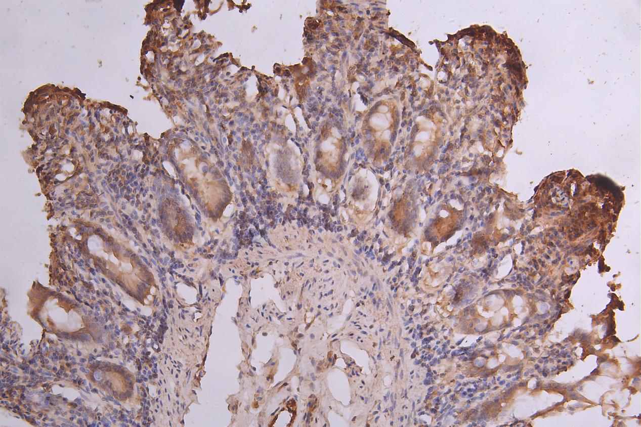
IHC image of CSB-PA716341LA01HU diluted at 1:66 and staining in paraffin-embedded human small intestine tissue performed on a Leica BondTM system. After dewaxing and hydration, antigen retrieval was mediated by high pressure in a citrate buffer (pH 6.0). Section was blocked with 10% normal goat serum 30min at RT. Then primary antibody (1% BSA) was incubated at 4°C overnight. The primary is detected by a Goat anti-rabbit polymer IgG labeled by HRP and visualized using 0.05% DAB.
-
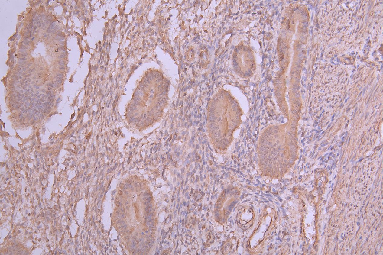
IHC image of CSB-PA716341LA01HU diluted at 1:66 and staining in paraffin-embedded human endometrial cancer performed on a Leica BondTM system. After dewaxing and hydration, antigen retrieval was mediated by high pressure in a citrate buffer (pH 6.0). Section was blocked with 10% normal goat serum 30min at RT. Then primary antibody (1% BSA) was incubated at 4°C overnight. The primary is detected by a Goat anti-rabbit polymer IgG labeled by HRP and visualized using 0.05% DAB.
-
-
其他:
產品詳情
-
產品描述:
The product CSB-PA716341LA01HU is a polyclonal antibody raised in rabbits with the recombinant human PLEKHS1 protein (181-462AA) immunized. It occurs as an unconjugated IgG. Purification by antigen affinity purification method of this antibody makes it relatively pure. It only shows reactivity with human PLEKHS1 protein, the promoter mutations of which have been identified in several human malignancies including thyroid carcinoma (TC). And this anti-PLEKHS1 antibody can be used to detect the PLEKHS1 protein in ELISA, WB, and IHC applications.
-
產品名稱:Rabbit anti-Homo sapiens (Human) PLEKHS1 Polyclonal antibody
-
Uniprot No.:
-
基因名:PLEKHS1
-
別名:PLEKHS1 antibody; C10orf81 antibody; Pleckstrin homology domain-containing family S member 1 antibody; PH domain-containing family S member 1 antibody; Epididymis luminal protein 185 antibody; hEL185 antibody
-
宿主:Rabbit
-
反應種屬:Human
-
免疫原:Recombinant Human Pleckstrin homology domain-containing family S member 1 protein (181-462AA)
-
免疫原種屬:Homo sapiens (Human)
-
標記方式:Non-conjugated
本頁面中的產品,PLEKHS1 Antibody (CSB-PA716341LA01HU),的標記方式是Non-conjugated。對于PLEKHS1 Antibody,我們還提供其他標記。見下表:
-
克隆類型:Polyclonal
-
抗體亞型:IgG
-
純化方式:Antigen Affinity Purified
-
濃度:It differs from different batches. Please contact us to confirm it.
-
保存緩沖液:Preservative: 0.03% Proclin 300
Constituents: 50% Glycerol, 0.01M PBS, PH 7.4 -
產品提供形式:Liquid
-
應用范圍:ELISA, WB, IHC
-
推薦稀釋比:
Application Recommended Dilution WB 1:500-1:2000 IHC 1:20-1:200 -
Protocols:
-
儲存條件:Upon receipt, store at -20°C or -80°C. Avoid repeated freeze.
-
貨期:Basically, we can dispatch the products out in 1-3 working days after receiving your orders. Delivery time maybe differs from different purchasing way or location, please kindly consult your local distributors for specific delivery time.
-
用途:For Research Use Only. Not for use in diagnostic or therapeutic procedures.
相關產品
Most popular with customers
-
-
YWHAB Recombinant Monoclonal Antibody
Applications: ELISA, WB, IHC, IF, FC
Species Reactivity: Human, Mouse, Rat
-
Phospho-YAP1 (S127) Recombinant Monoclonal Antibody
Applications: ELISA, WB, IHC
Species Reactivity: Human
-
-
-
-
-















