PLD6 Antibody
-
中文名稱:PLD6兔多克隆抗體
-
貨號:CSB-PA836649LA01HU
-
規格:¥440
-
圖片:
-
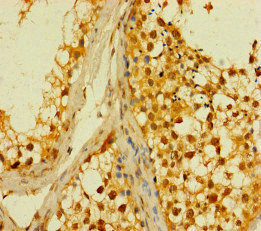
IHC image of CSB-PA836649LA01HU diluted at 1:200 and staining in paraffin-embedded human kidney tissue performed on a Leica BondTM system. After dewaxing and hydration, antigen retrieval was mediated by high pressure in a citrate buffer (pH 6.0). Section was blocked with 10% normal goat serum 30min at RT. Then primary antibody (1% BSA) was incubated at 4°C overnight. The primary is detected by a Goat anti-rabbit polymer IgG labeled by HRP and visualized using 0.05% DAB.
-
Immunofluorescent analysis of HepG2 cells using CSB-PA836649LA01HU at dilution of 1:100 and Alexa Fluor 488-congugated AffiniPure Goat Anti-Rabbit IgG(H+L)
-
Western Blot
Positive WB detected in: 293 whole cell lysate(20μg)
All lanes: PLD6 antibody at 1:2000
Secondary
Goat polyclonal to rabbit IgG at 1/50000 dilution
Predicted band size: 29 kDa
Observed band size: 29 kDa
Exposure time: 120s
-
-
其他:
產品詳情
-
產品描述:
The recombinant human mitochondrial cardiolipin hydrolase protein (1-252aa) was inoculated into a rabbit to elicit an immune response leading to the production of antibodies against PLD6. The PLD6 polyclonal antibody was isolated and purified from the rabbit's serum through protein G affinity chromatography. Its purity exceeds 95%. This rabbit anti-human PLD6 polyclonal antibody was tested in the ELISA, WB, IHC and IF. The non-conjugated IgG got purified by protein G and reached up to 95% in purity. It reacts with the PLD6 proteins of human or mouse-origin and may be used to detect the endogenous levels of PLD6 protein.
The target protein PLD6 plays a role in RNA metabolism, specifically in the regulation of alternative splicing and the stability of mRNA. It is also involved in the DNA damage response and autophagy modulation.
-
產品名稱:Rabbit anti-Homo sapiens (Human) PLD6 Polyclonal antibody
-
Uniprot No.:
-
基因名:PLD6
-
別名:Choline phosphatase 6 antibody; Mitochondrial cardiolipin hydrolase antibody; Mitochondrial phospholipase antibody; MitoPLD antibody; Phosphatidylcholine hydrolyzing phospholipase D6 antibody; Phosphatidylcholine-hydrolyzing phospholipase D6 antibody; Phospholipase D family member 6 antibody; Phospholipase D6 antibody; PLD 6 antibody; pld6 antibody; PLD6_HUMAN antibody; Protein zucchini homolog antibody; ZUC antibody; Zucchini, Drosophila, homolog of antibody
-
宿主:Rabbit
-
反應種屬:Human
-
免疫原:Recombinant Human Mitochondrial cardiolipin hydrolase protein (1-252AA)
-
免疫原種屬:Homo sapiens (Human)
-
標記方式:Non-conjugated
本頁面中的產品,PLD6 Antibody (CSB-PA836649LA01HU),的標記方式是Non-conjugated。對于PLD6 Antibody,我們還提供其他標記。見下表:
-
克隆類型:Polyclonal
-
抗體亞型:IgG
-
純化方式:>95%, Protein G purified
-
濃度:It differs from different batches. Please contact us to confirm it.
-
保存緩沖液:Preservative: 0.03% Proclin 300
Constituents: 50% Glycerol, 0.01M PBS, PH 7.4 -
產品提供形式:Liquid
-
應用范圍:ELISA, WB, IHC, IF
-
推薦稀釋比:
Application Recommended Dilution WB 1:500-1:2000 IHC 1:20-1:200 IF 1:50-1:200 -
Protocols:
-
儲存條件:Upon receipt, store at -20°C or -80°C. Avoid repeated freeze.
-
貨期:Basically, we can dispatch the products out in 1-3 working days after receiving your orders. Delivery time maybe differs from different purchasing way or location, please kindly consult your local distributors for specific delivery time.
-
用途:For Research Use Only. Not for use in diagnostic or therapeutic procedures.
相關產品
靶點詳情
-
功能:Presents phospholipase and nuclease activities, depending on the different physiological conditions. Interaction with Mitoguardin (MIGA1 or MIGA2) affects the dimer conformation, facilitating the lipase activity over the nuclease activity. Plays a key role in mitochondrial fusion and fission via its phospholipase activity. In its phospholipase role, it uses the mitochondrial lipid cardiolipin as substrate to generate phosphatidate (PA or 1,2-diacyl-sn-glycero-3-phosphate), a second messenger signaling lipid. Production of PA facilitates Mitofusin-mediated fusion, whereas the cleavage of PA by the Lipin family of phosphatases produces diacylgycerol (DAG) which promotes mitochondrial fission. Both Lipin and DAG regulate mitochondrial dynamics and membrane fusion/fission, important processes for adapting mitochondrial metabolism to changes in cell physiology. Mitochondrial fusion enables cells to cope with the increased nucleotide demand during DNA synthesis. Mitochondrial function and dynamics are closely associated with biological processes such as cell growth, proliferation, and differentiation. Mediator of MYC activity, promotes mitochondrial fusion and activates AMPK which in turn inhibits YAP/TAZ, thereby inducing cell growth and proliferation. The endonuclease activity plays a critical role in PIWI-interacting RNA (piRNA) biogenesis during spermatogenesis. Implicated in spermatogenesis and sperm fertility in testicular germ cells, its single strand-specific nuclease activity is critical for the biogenesis/maturation of PIWI-interacting RNA (piRNA). MOV10L1 selectively binds to piRNA precursors and funnels them to the endonuclease that catalyzes the first cleavage step of piRNA processing to generate piRNA intermediate fragments that are subsequently loaded to Piwi proteins. Cleaves either DNA or RNA substrates with similar affinity, producing a 5' phosphate end, in this way it participates in the processing of primary piRNA transcripts. piRNAs provide essential protection against the activity of mobile genetic elements. piRNA-mediated transposon silencing is thus critical for maintaining genome stability, in particular in germline cells when transposons are mobilized as a consequence of wide-spread genomic demethylation. PA may act as signaling molecule in the recognition/transport of the precursor RNAs of primary piRNAs. Interacts with tesmin in testes, suggesting a role in spermatogenesis via association with its interacting partner.
-
基因功能參考文獻:
- Propose that MIGA proteins promote mitochondrial fusion by regulating mitochondrial phospholipid metabolism via MitoPLD. PMID: 26711011
- MitoPLD performs a critical function in a pathway that creates a specialized form of RNAi required by developing spermatocytes to suppress transposon mobilization during meiosis. PMID: 22281006
- Data suggest that mitochondrial-surface phosphatidic acid generated by MitoPLD/Zuc recruits or activates nuage components critical for piRNA production. PMID: 21397848
- PLD6, aka MitoPLD, encodes an N-terminal mitochondrial localization sequence, localizes to the outer mitochondrial surface, generates phosphatidic acid, a signaling lipid, and triggers trans-mitochondrial association; involved in mitochondrial fusion. PMID: 17028579
-
亞細胞定位:Mitochondrion outer membrane; Single-pass membrane protein. Golgi apparatus.
-
蛋白家族:Phospholipase D family, MitoPLD/Zucchini subfamily
-
組織特異性:Predominantly expressed in testis and ovary, but not limited to gonads (at protein level). It is also found in brain, heart, pituitary gland, prostate, pancreas, thyroid, bone marrow, lung and muscle.
-
數據庫鏈接:
Most popular with customers
-
-
YWHAB Recombinant Monoclonal Antibody
Applications: ELISA, WB, IHC, IF, FC
Species Reactivity: Human, Mouse, Rat
-
Phospho-YAP1 (S127) Recombinant Monoclonal Antibody
Applications: ELISA, WB, IHC
Species Reactivity: Human
-
-
-
-
-















