PLAT Antibody
-
中文名稱:PLAT兔多克隆抗體
-
貨號:CSB-PA111403
-
規格:¥1100
-
圖片:
-
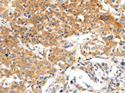
The image on the left is immunohistochemistry of paraffin-embedded Human lung cancer tissue using CSB-PA111403(PLAT Antibody) at dilution 1/50, on the right is treated with synthetic peptide. (Original magnification: ×200)
-
The image on the left is immunohistochemistry of paraffin-embedded Human esophagus cancer tissue using CSB-PA111403(PLAT Antibody) at dilution 1/50, on the right is treated with synthetic peptide. (Original magnification: ×200)
-
Gel: 8%SDS-PAGE, Lysate: 40 μg, Lane: 231 cells, Primary antibody: CSB-PA111403(PLAT Antibody) at dilution 1/450, Secondary antibody: Goat anti rabbit IgG at 1/8000 dilution, Exposure time: 10 minutes
-
-
其他:
產品詳情
-
Uniprot No.:
-
基因名:
-
別名:Alteplase antibody; DKFZp686I03148 antibody; Plasminogen activator tissue antibody; Plasminogen activator tissue type antibody; PLAT antibody; Reteplase antibody; t PA antibody; T Plasminogen Activator antibody; t-PA antibody; T-plasminogen activator antibody; Tissue plasminogen activator (t PA) antibody; Tissue type plasminogen activator antibody; Tissue-type plasminogen activator chain B antibody; tPA antibody; TPA_HUMAN antibody; TPA1 antibody
-
宿主:Rabbit
-
反應種屬:Human
-
免疫原:Synthetic peptide of Human PLAT
-
免疫原種屬:Homo sapiens (Human)
-
標記方式:Non-conjugated
-
抗體亞型:IgG
-
純化方式:Antigen affinity purification
-
濃度:It differs from different batches. Please contact us to confirm it.
-
保存緩沖液:-20°C, pH7.4 PBS, 0.05% NaN3, 40% Glycerol
-
產品提供形式:Liquid
-
應用范圍:ELISA,WB,IHC
-
推薦稀釋比:
Application Recommended Dilution ELISA 1:1000-1:5000 WB 1:200-1:1000 IHC 1:50-1:200 -
Protocols:
-
儲存條件:Upon receipt, store at -20°C or -80°C. Avoid repeated freeze.
-
貨期:Basically, we can dispatch the products out in 1-3 working days after receiving your orders. Delivery time maybe differs from different purchasing way or location, please kindly consult your local distributors for specific delivery time.
-
用途:For Research Use Only. Not for use in diagnostic or therapeutic procedures.
相關產品
靶點詳情
-
功能:Converts the abundant, but inactive, zymogen plasminogen to plasmin by hydrolyzing a single Arg-Val bond in plasminogen. By controlling plasmin-mediated proteolysis, it plays an important role in tissue remodeling and degradation, in cell migration and many other physiopathological events. During oocyte activation, plays a role in cortical granule reaction in the zona reaction, which contributes to the block to polyspermy.
-
基因功能參考文獻:
- These findings provides evidence that gene-gene interactions between p11, tPA and BDNF are all associated with post stroke depression. PMID: 29028593
- Underexpression of Tissue plasminogen activator is associated with diabetic foot syndrome. PMID: 28193577
- By mediating the tPA response in macrophages, the NMDA-R provides a pathway by which the fibrinolysis system may regulate innate immunity. PMID: 28684538
- Data suggest that protein aggregates interact with tissue-type plasminogen activator and plasminogen to efficiently generate plasmin; this aggregate-bound plasmin is shielded from inhibition by alpha-2-antiplasmin and degrades protein aggregates to release smaller, soluble but relatively hydrophobic peptide fragments; these fragments bind to and are cytotoxic to microglia (by not vascular endothelial cells). PMID: 28710283
- Altogether, this preclinical study demonstrates that the tPA present in the blood stream is a key player of the formation of intracranial aneurysms. PMID: 28754830
- tPA is a ligand of the N-terminal domain of the obligatory GluN1 subunit of NMDAR acting as a modulator of their dynamic distribution at the neuronal surface and subsequent signaling. PMID: 27831563
- t-PA binds to Lys91 in the MBP NH2-terminal region and PLGbinds to Lys122 in the MBP COOH-terminal region. This proximity promotes the activation of Pg by t-PA. PMID: 28648598
- local accumulation of cortisol is a causative factor for amnion epithelial apoptosis via activation of tPA/plasmin system toward the end of gestation. This may contribute to the ROM at both term and preterm birth. PMID: 27690691
- We identified a homozygous null mutation in PLAT that abrogated t-PA level in patient cells. This is the first reported human knockout mutation of PLAT. The apparent association with hydranencephaly, diaphragmatic hernia and postnatal lethality requires further validation. PMID: 27417437
- Tissue plasminogen activator (t-PA) antigen is a marker of cardiovascular risk. Exercise interventions associated with weight loss reduce t-PA antigen. Endurance training per se reduces t-PA antigen in healthy overweight men. PMID: 28254694
- we reviewed current knowledge of mechanisms by which tPA can influence brain function in physiological and pathological conditions--REVIEW} PMID: 26626577
- Data suggest that baseline levels of adiponectin, C-reactive protein, TPA, and fibrinogen or changes in these levels do not explain increased risk of diabetes type 2 in overweight women with glucose intolerance and histories of gestational diabetes. PMID: 25970741
- Tissue plasminogen activator (tPA) may be a general factor in the immunological response to viruses. PMID: 26704613
- tPA has a role in progression of periventricular white matter hyperintensities PMID: 26942412
- These data indicate that oxygen-glucose deprivation-triggered Cav-1 S-nitrosylation interacts with tPA-induced ERK activation to augment MMP2 and 9 secretion and subsequent extracellular matrix degradation. PMID: 26881424
- tPA-dependent activation of EGFRs leads to downregulation of NMDAR signaling and to subsequent neurotrophic effects. PMID: 26469972
- Tissue-type plasminogen activator-binding RNA aptamers inhibiting low-density lipoprotein receptor family-mediated internalization may improve safety of thrombolytic therapy. PMID: 25855589
- Intravenous tissue plasminogen activator therapy was associated with improved clinical outcomes without significant increase in risk of hemorrhagic complications in very old patients (aged>80 years) with acute ischemic stroke. PMID: 25329379
- Review: t-PA function and regulation of its pericellular activity, with an emphasis on regulation of its gene expression. PMID: 24718307
- data implicate MCP-1 as the key molecule governing tPA-induced fluid accumulation. The role of MCP-1 in the development of other exudative effusions warrants examination. PMID: 25474480
- remarkable association especially between the -1131C Apo A5 variant and increased tPA levels in asymptomatic dyslipidemic patients PMID: 24815086
- The results suggest roles for TLR3, TLR10, PLAT (n=2), VEGFA and DENND1B in susceptibility to chronic cavitary pulmonary aspergillosis. PMID: 24712925
- shRNA-mediated silencing of PLAT in glioma-initiating cells phenocopied the effects of miR340 overexpression in vitro effects of miR340 overexpression in vitro PMID: 25627976
- Activation of T cells triggered a rapid, 8.4-fold up-regulation of the serine protease tissue plasminogen activator, the protease target for neuroserpin. PMID: 25670787
- Report tPA with a cutoff of 8.5 ng/mL has a high sensitivity and negative predictive value for exclusion of pulmonary embolism. PMID: 25339163
- Data indicate that binding of tissue-type plasminogen activator (t-PA) to glucose-regulated protein 78 (GRP78) stimulates its amidolytic activity, activation of plasminogen (Pg), and cell proliferation. PMID: 25059665
- Obese men exhibited lower levels of TPA activity compared to normal weight men. PMID: 25306554
- plasminogen and plasmin but not tissue-type plasminogen activator have roles in regulating fibrinolysis by C-terminal lysines PMID: 22974122
- It is involved in Amyloid-beta catabolism and clearance, which is particularly efficient for degrading Amyloid-beta aggregates. Thus, endogenous tPA could delay Alzheimer's disease pathogenesis by maintaining low levels of brain Amyloid beta. PMID: 24126163
- Data suggest that tPA is required for bone repair and osteoblast proliferation; recombinant tPA stimulates proliferation of osteoblastic cell line. PMID: 24918201
- Endogenously released tPA promotes neutrophil transmigration to reperfused tissue via proteolytic activation of plasmin and gelatinases. PMID: 24764453
- There are correlations between t-PA, PAI-1 and some rotational thromboelastometry parameters in multiple myeloma patients. PMID: 24964508
- Identify 3 loci associated with circulating tPA levels, the PLAT region, STXBP5, and STX2. Functional studies implicate a novel role for STXBP5 and STX2 in regulating tPA release. PMID: 24578379
- Studies suggest that inadequate synthesis and release of tissue plasminogen activator (tPA) or low tPA activity be considered a critical component of schizophrenia pathophysiology. PMID: 24108470
- Tissue plasminogen activator (t-PA) is a model of preterm intracerebral-intraventricular hemorrhages for the ontogenic window of vascular immaturity and protection against later neurodisabilities. PMID: 24709679
- Data suggest plasma tissue plasminogen activator (t-PA) and fibrin fragment D-dimer levels are higher in abdominal aortic aneurysm patients than in controls; however, there is a negative relationship between t-PA and intraluminal thrombus thickness. PMID: 23959729
- LRP1 assembles unique co-receptor systems to initiate cell signaling in response to tissue-type plasminogen activator and myelin-associated glycoprotein. PMID: 24129569
- Renal impairment is associated with higher risk of symptomatic intracranial hemorrhage (sICH) after administration of intravenous tPA. PMID: 24145699
- Successful thrombolysis can resolve DWI lesions but does not always improve the neurological symptoms. PMID: 21848677
- Excess tissue-type plasminogen activator causes targeted Purkinje cell degeneration and ataxia. PMID: 23939410
- II genotype carrier osteomyelitis patients had lower PAI-1/tPA complex levels. PMID: 23570848
- Intravenous thrombolysis with alteplase does not appear to increase the risk of hemorrhagic complications in these non-metastatic cancer patients, in absence of additional risk factors of bleeding. PMID: 23317922
- The combination of recombinant PA and erythropoietin increases release of the endogenous nitric oxide synthase inhibitor asymmetric dimethylarginine (ADMA) and thereby potentially deteriorates ischemic stroke outcome. PMID: 23788583
- Use of intraventricular tPA for aneurysmal subarachnoid hemorrhage surgery results in less vasospasm, fewer angioplasties, and fewer cerebrospinal fluid shunting procedures. PMID: 20559098
- Persons who develop non-affective psychoses have lower levels of certain acute phase proteins, including tPA, at the time of birth. PMID: 23423137
- This meta-analysis suggested that the -7351C/T polymorphism in TPA gene would be a risk factor for ischemic stroke. PMID: 23326456
- These results suggest that retained tPA on vascular endothelial cells effectively activated plasminogen to plasmin. PMID: 23118500
- The serine protease tissue plasminogen activator (tPA) and two matrix metalloproteinases, ADAMTS-4 and ADAMTS-5, were identified as Reelin cleaving enzymes. PMID: 23082219
- Intraventricular fibrinolysis with recombinant tPA does not lead to increased perihemorrhagic edema after intracerebral hemorrhage. PMID: 23306318
- VDAC binds tissue-type plasminogen activator (t-PA) on human neuroblastoma SK-N-SH cells PMID: 23161549
顯示更多
收起更多
-
相關疾?。?/div>Increased activity of TPA results in increased fibrinolysis of fibrin blood clots that is associated with excessive bleeding. Defective release of TPA results in hypofibrinolysis that can lead to thrombosis or embolism.亞細胞定位:Secreted, extracellular space.蛋白家族:Peptidase S1 family組織特異性:Synthesized in numerous tissues (including tumors) and secreted into most extracellular body fluids, such as plasma, uterine fluid, saliva, gingival crevicular fluid, tears, seminal fluid, and milk.數據庫鏈接:
Most popular with customers
-
-
YWHAB Recombinant Monoclonal Antibody
Applications: ELISA, WB, IHC, IF, FC
Species Reactivity: Human, Mouse, Rat
-
Phospho-YAP1 (S127) Recombinant Monoclonal Antibody
Applications: ELISA, WB, IHC
Species Reactivity: Human
-
-
-
-
-















