PIP5K1C Antibody
-
中文名稱:PIP5K1C兔多克隆抗體
-
貨號:CSB-PA540033
-
規格:¥1100
-
圖片:
-
The image on the left is immunohistochemistry of paraffin-embedded Human liver cancer tissue using CSB-PA540033(PIP5K1C Antibody) at dilution 1/25, on the right is treated with synthetic peptide. (Original magnification: ×200)
-
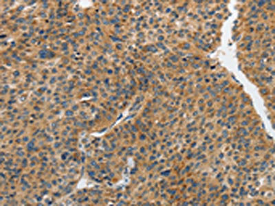
The image on the left is immunohistochemistry of paraffin-embedded Human brain tissue using CSB-PA540033(PIP5K1C Antibody) at dilution 1/25, on the right is treated with synthetic peptide. (Original magnification: ×200)
-
Gel: 10%SDS-PAGE, Lysate: 40 μg, Lane 1-2: A431 cells, hela cells, Primary antibody: CSB-PA540033(PIP5K1C Antibody) at dilution 1/500, Secondary antibody: Goat anti rabbit IgG at 1/8000 dilution, Exposure time: 2 minutes
-
-
其他:
產品詳情
-
Uniprot No.:
-
基因名:
-
別名:Diphosphoinositide kinase antibody; LCCS3 antibody; Phosphatidylinositol-4-phosphate 5-kinase type I gamma antibody; Phosphatidylinositol-4-phosphate 5-kinase type-1 gamma antibody; PI51C antibody; PI51C_HUMAN antibody; PIP5K GAMMA antibody; PIP5K1-gamma antibody; Pip5k1c antibody; PIP5KIgamma antibody; PtdIns(4)P 5 kinase gamma antibody; PtdIns(4)P-5-kinase 1 gamma antibody; Type I PIP kinase antibody
-
宿主:Rabbit
-
反應種屬:Human,Mouse,Rat
-
免疫原:Synthetic peptide of Human PIP5K1C
-
免疫原種屬:Homo sapiens (Human)
-
標記方式:Non-conjugated
-
抗體亞型:IgG
-
純化方式:Antigen affinity purification
-
濃度:It differs from different batches. Please contact us to confirm it.
-
保存緩沖液:-20°C, pH7.4 PBS, 0.05% NaN3, 40% Glycerol
-
產品提供形式:Liquid
-
應用范圍:ELISA,WB,IHC
-
推薦稀釋比:
Application Recommended Dilution ELISA 1:2000-1:5000 WB 1:500-1:2000 IHC 1:25-1:100 -
Protocols:
-
儲存條件:Upon receipt, store at -20°C or -80°C. Avoid repeated freeze.
-
貨期:Basically, we can dispatch the products out in 1-3 working days after receiving your orders. Delivery time maybe differs from different purchasing way or location, please kindly consult your local distributors for specific delivery time.
-
用途:For Research Use Only. Not for use in diagnostic or therapeutic procedures.
相關產品
靶點詳情
-
功能:Catalyzes the phosphorylation of phosphatidylinositol 4-phosphate (PtdIns(4)P/PI4P) to form phosphatidylinositol 4,5-bisphosphate (PtdIns(4,5)P2/PIP2), a lipid second messenger that regulates several cellular processes such as signal transduction, vesicle trafficking, actin cytoskeleton dynamics, cell adhesion, and cell motility. PtdIns(4,5)P2 can directly act as a second messenger or can be utilized as a precursor to generate other second messengers: inositol 1,4,5-trisphosphate (IP3), diacylglycerol (DAG) or phosphatidylinositol-3,4,5-trisphosphate (PtdIns(3,4,5)P3/PIP3) (Probable). PIP5K1A-mediated phosphorylation of PtdIns(4)P is the predominant pathway for PtdIns(4,5)P2 synthesis. Together with PIP5K1A, is required for phagocytosis, both enzymes regulating different types of actin remodeling at sequential steps. Promotes particle attachment by generating the pool of PtdIns(4,5)P2 that induces controlled actin depolymerization to facilitate Fc-gamma-R clustering. Mediates RAC1-dependent reorganization of actin filaments. Required for synaptic vesicle transport. Controls the plasma membrane pool of PtdIns(4,5)P2 implicated in synaptic vesicle endocytosis and exocytosis. Plays a role in endocytosis mediated by clathrin and AP-2 (adaptor protein complex 2). Required for clathrin-coated pits assembly at the synapse. Participates in cell junction assembly. Modulates adherens junctions formation by facilitating CDH1/cadherin trafficking. Required for focal adhesion dynamics. Modulates the targeting of talins (TLN1 and TLN2) to the plasma membrane and their efficient assembly into focal adhesions. Regulates the interaction between talins (TLN1 and TLN2) and beta-integrins. Required for uropodium formation and retraction of the cell rear during directed migration. Has a role in growth factor-stimulated directional cell migration and adhesion. Required for talin assembly into nascent adhesions forming at the leading edge toward the direction of the growth factor. Negative regulator of T-cell activation and adhesion. Negatively regulates integrin alpha-L/beta-2 (LFA-1) polarization and adhesion induced by T-cell receptor. Together with PIP5K1A has a role during embryogenesis and together with PIP5K1B may have a role immediately after birth.
-
基因功能參考文獻:
- The Btk-dependent PIP5K1gamma lipid kinase activation by Fas counteracts FasL-induced cell death. PMID: 28879546
- High expression of PIP5K1-gamma is associated with colorectal cancer. PMID: 28560454
- These data reveal a novel function for PKD1 as a regulator of focal adhesion dynamics and by identifying PIP5Klgamma as a novel PKD1 substrate provide mechanistic insight into this process. PMID: 27775029
- PIPKIgamma promotes the transcription of the PD-L1 gene by activating the NF-kappaB pathway in these cells. These results demonstrate that PIPKIgamma-dependent expression of PD-L1 is likely important for the progression of triple negative breast cancer. PMID: 28465490
- FAK sustained the active integrin conformation by maintaining talin association with Rab11 endosomes in a type I phosphatidylinositol phosphate kinase (PIPKIgamma)-dependent manner. PMID: 27043085
- These data suggest that S6K1-mediated PIPKIgamma90 phosphorylation regulates cell migration and invasion by controlling PIPKIgamma90 degradation. PMID: 27780861
- PIPKIgammai5, NEDD4-1, and Mig6 form a novel molecular nexus that controls EGFR activation and downstream signaling. PMID: 27557663
- PIPKIgamma and INPP5E localize to the centrosome and coordinate the initiation of ciliogenesis. PMID: 26916822
- results suggested that Akt-mediated PIP5Kgamma90 S555 phosphorylation is a novel regulatory point for talin binding to control PIP2 level at the FAs, thereby modulating FA dynamics and cell motility. PMID: 26149501
- Loss of PIPKIgamma or its focal adhesion-targeting variant, PIPKIgammai2, impaired PI3K/Akt activation upon stimulation with growth factors or extracellular matrix proteins in different tumor cells. PMID: 26070568
- PIPKIgamma binds to the cryptic polo-box domain of PLK4 and reduces the kinase activity of PLK4. PMID: 24434581
- This study uncovers a novel mechanism where a phosphoinositide-synthesizing enzyme, PIPKIgammai2, functions with the proto-oncogene Src, to regulate oncogenic signaling PMID: 24151076
- PIPKIgamma positively regulates focal adhesion dynamics and cancer invasion, most probably through PIP-mediated vinculin activation. PMID: 21931851
- EZH2 regulates neuronal differentiation of mesenchymal stem cells through PIP5K1C-dependent calcium signaling. PMID: 21216957
- A novel mechanism in which PIPKIgamma expression and catalytic activity enhance beta-catenin nuclear translocation and expression of its target genes to promote tumorigenic phenotypes. PMID: 21303971
- SIRT1 deacetylated two specific lysine residues (K265/K268) in PIP5Kgamma and enhanced PIP5Kgamma enzyme activity. PMID: 20668706
- Data show that glycation end products (AGE) increase PIP2 production, arachidonic acid release and reactive oxygen species via cytosolic phospholipase A2 activation, and inhibit Na+ K+ ATPase surface expression via PIP5Kgamma. PMID: 20435073
- This publication discusses the initial identification of human phosphatidylinositol-4-phosphate 5-kinase type-1 gamma (AB011161, KIAA0589). PMID: 9628581
- This publication discusses cloning of mouse phosphatidylinositol-4-phosphate 5-kinase type-1 gamma. PMID: 9535851
- Type I gamma phosphatidylinositol phosphate kinase modulates invasion and proliferation and its expression correlates with poor prognosis in breast cancer. PMID: 20074374
- multiple interactions between PIPKI gamma-p90 and AP-2 lead to spatiotemporally controlled PI(4,5)P(2) synthesis during clathrin-mediated synaptic vesicle endocytosis PMID: 19903820
- we show that the predominant brain splice variant of PtdInsPKI gamma (PtdInsPKI gamma-90) binds, by means of a short carboxy-terminal peptide, to the FERM domain of talin, and is strongly activated by this interaction PMID: 12422219
- we show that the type I phosphatidylinositol phosphate kinase isoform-gamma 661 (PIPKI gamma 661), an enzyme that makes PtdIns(4,5)P(2), is targeted to focal adhesions by an association with talin PMID: 12422220
- The short splice variant of type I phosphatidylinositol 4-phosphate 5-kinase gamma (PIP5KIgamma87) as the major contributor of the PIP(2) pool that supports G protein-coupled receptor (GPCR)-mediated IP(3) generation. PMID: 15611330
- PIPKIgamma661 enzyme is involved in the AP2-mediated endocytosis of transferrin. PMID: 16707488
- a positive feedback loop consisting of endocytic cargo proteins, AP-2mu, and PIPK type I which may provide a specific pool of PI(4,5)P(2) dedicated to clathrin/AP-2-dependent receptor internalization PMID: 16880396
- Localization of ezrin in adherens junctions is regulated by Rac in a manner involving PIPK. PMID: 17229424
- results reveal a novel mechanism where PIPKIgamma serves as a scaffold, linking E-cadherin to adaptor complexes and the trafficking machinery, and a regulator of trafficking events via the spatial generation of phosphatidylinositol-4,5-bisphosphate PMID: 17261850
- PIP5K1C is required for EGF-stimulated diectional cell migration. PMID: 17635937
- A single homozygous substitution of aspartic acid with asparagine at amino acid 253 in PIP5K1C causes lethal contractural syndrome type 3> PMID: 17701898
- identify a previously unknown function for PIPKIgamma661 as a novel component of the backness signal that regulates rear retraction during chemotaxis PMID: 17928408
- Type I phosphatidylinositol-4-phosphate-5-kinase (PI5KI) alpha and gamma isoforms were identified as the enzymes responsible for PIP2 synthesis in natural killer cells. PMID: 18073347
- Data have identified two novel C-terminal splice variants of PIPKIgamma that are expressed in multiple tissue types, display PIPK activity in vitro abd have distinct subcellular targeting. PMID: 19548880
顯示更多
收起更多
-
相關疾?。?/div>Lethal congenital contracture syndrome 3 (LCCS3)亞細胞定位:Cell membrane; Peripheral membrane protein; Cytoplasmic side. Endomembrane system. Cytoplasm. Cell junction, focal adhesion. Cell junction, adherens junction. Cell projection, ruffle membrane. Cell projection, phagocytic cup. Cell projection, uropodium. Note=Detected in plasma membrane invaginations. Isoform 3 is detected in intracellular vesicle-like structures.; [Isoform 2]: Cytoplasm. Nucleus.組織特異性:[Isoform 1]: Isoform 1 is strongly expressed in brain and also detected in heart and lung.; [Isoform 2]: Isoform 2 is strongly expressed in pancreas and liver and in lesser quantities in brain, heart, lung and kidney.; [Isoform 3]: Isoform 3 is detected i數據庫鏈接:
Most popular with customers
-
-
YWHAB Recombinant Monoclonal Antibody
Applications: ELISA, WB, IHC, IF, FC
Species Reactivity: Human, Mouse, Rat
-
Phospho-YAP1 (S127) Recombinant Monoclonal Antibody
Applications: ELISA, WB, IHC
Species Reactivity: Human
-
-
-
-
-















