PIK3R1 Antibody
-
中文名稱:PIK3R1兔多克隆抗體
-
貨號:CSB-PA797351
-
規格:¥1100
-
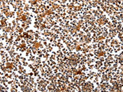
圖片:
-
The image on the left is immunohistochemistry of paraffin-embedded Human thyroid cancer tissue using CSB-PA797351(PIK3R1 Antibody) at dilution 1/30, on the right is treated with fusion protein. (Original magnification: ×200)
-
The image on the left is immunohistochemistry of paraffin-embedded Human tonsil tissue using CSB-PA797351(PIK3R1 Antibody) at dilution 1/30, on the right is treated with fusion protein. (Original magnification: ×200)
-
-
其他:
產品詳情
-
Uniprot No.:
-
基因名:
-
別名:GRB1 antibody; p85 alpha antibody; p85 antibody; P85A_HUMAN antibody; Phosphatidylinositol 3 kinase associated p 85 alpha antibody; Phosphatidylinositol 3 kinase regulatory 1 antibody; Phosphatidylinositol 3 kinase; regulatory subunit; polypeptide 1 (p85 alpha) antibody; Phosphatidylinositol 3-kinase 85 kDa regulatory subunit alpha antibody; Phosphatidylinositol 3-kinase regulatory subunit alpha antibody; Phosphoinositide 3 kinase; regulatory subunit 1 (alpha) antibody; PI3 kinase p85 antibody; PI3 kinase p85 subunit alpha antibody; PI3-kinase regulatory subunit alpha antibody; PI3-kinase subunit p85-alpha antibody; PI3K antibody; PI3K p85 antibody; PI3K regulatory subunit alpha antibody; Pik3r1 antibody; PtdIns 3 kinase p85 alpha antibody; PtdIns-3-kinase regulatory subunit alpha antibody; PtdIns-3-kinase regulatory subunit p85-alpha antibody
-
宿主:Rabbit
-
反應種屬:Human,Mouse,Rat
-
免疫原:Fusion protein of Human PIK3R1
-
免疫原種屬:Homo sapiens (Human)
-
標記方式:Non-conjugated
-
抗體亞型:IgG
-
純化方式:Antigen affinity purification
-
濃度:It differs from different batches. Please contact us to confirm it.
-
保存緩沖液:-20°C, pH7.4 PBS, 0.05% NaN3, 40% Glycerol
-
產品提供形式:Liquid
-
應用范圍:ELISA,IHC
-
推薦稀釋比:
Application Recommended Dilution ELISA 1:1000-1:5000 IHC 1:25-1:100 -
Protocols:
-
儲存條件:Upon receipt, store at -20°C or -80°C. Avoid repeated freeze.
-
貨期:Basically, we can dispatch the products out in 1-3 working days after receiving your orders. Delivery time maybe differs from different purchasing way or location, please kindly consult your local distributors for specific delivery time.
-
用途:For Research Use Only. Not for use in diagnostic or therapeutic procedures.
相關產品
靶點詳情
-
功能:Binds to activated (phosphorylated) protein-Tyr kinases, through its SH2 domain, and acts as an adapter, mediating the association of the p110 catalytic unit to the plasma membrane. Necessary for the insulin-stimulated increase in glucose uptake and glycogen synthesis in insulin-sensitive tissues. Plays an important role in signaling in response to FGFR1, FGFR2, FGFR3, FGFR4, KITLG/SCF, KIT, PDGFRA and PDGFRB. Likewise, plays a role in ITGB2 signaling. Modulates the cellular response to ER stress by promoting nuclear translocation of XBP1 isoform 2 in a ER stress- and/or insulin-dependent manner during metabolic overloading in the liver and hence plays a role in glucose tolerance improvement.
-
基因功能參考文獻:
- Our study supports the role of PIK3R1, an important candidate gene due to its critical role in insulin signal transduction, in type 2 diabetes development. PMID: 29893513
- A RAB35-p85/PI3K axis controls oscillatory apical protrusions required for efficient chemotactic migration. PMID: 29662076
- C-terminal SH2 domain mutations in PIK3R1 produce a metabolic phenocopy of insulin receptor dysfunction, with strikingly preserved liver fat, lipid profile, and plasma adiponectin despite severe insulin resistance. PMID: 27766312
- These results implicate a novel role for PAK4 within the PI3K pathway via interaction with p85alpha. Thus, PAK4 could be an essential player in PDAC progression representing an interesting therapeutic opportunity. PMID: 28205613
- p85alpha is an intrinsic regulator of killer cell effector functions. Mutant protein impaired NK proliferative responses in hyper-IgM immunodeficiency syndrome. PMID: 27016802
- A central role of PI3K in development of obesity and fatty liver disease, separating these effects from the role of PI3K in insulin resistance and the resultant hyperglycemia. PMID: 29724723
- As a tumor suppressor, FOXA1 targets PIK3R1 directly to inhibit PI3K/Akt signaling pathway, thus exerting a negative regulatory effect on proliferation, migration, and invasion of HCC in male patients. PMID: 29208003
- We here report a family with a new heterozygous mutation in this gene, a 9 bp deletion (c.1418_1425+1del) that, however, leads to the same skipping of exon 11. The clinical phenotypes of their members partly overlap features of patients of other reports. Conclusions We found a new mutation in PIK3R1 and show how broad the resulting clinical spectrum can be. PMID: 28561224
- Our up-to-date review discusses CaM's role in PI3K signaling at the membrane in KRAS-driven cancers. This is significant since it may help development of K-Ras-specific pharmacology. PMID: 28462395
- cSH2 domain of p85alpha engages its two CaM-binding motifs in the interaction with the N- and C-lobes of CaM as well as the flexible central linker, and our nuclear magnetic resonance experiments provide structural details. PMID: 29494137
- TGF-beta promotes PI3K-AKT signaling and prostate cancer cell migration and aggressiveness through the TRAF6-mediated Polyubiquitylation of p85a. PMID: 28676490
- Our findings show that miR-487a, mediated by heat shock factor 1, promotes proliferation and metastasis of Hepatocellular carcinoma (HCC) by PIK3R1 and SPRED2 binding, respectively. Our study provides a rationale for developing miR-487a as a potential prognostic marker or a potential therapeutic target against HCC. PMID: 27827315
- Co-immunoprecipitation, pull-down, and surface plasmon resonance assays revealed that obscurins are in a complex with the PI3K/p85 regulatory subunit PMID: 27323778
- CASP8: rs1045494 (C > T), PIK3R1: rs3756668 (A > G) and CASP7: rs4353229 (T > C), were associated with longer overall survival in limited disease-small cell lung cancer patients after chemoradiotherapy PMID: 26988918
- this study shows that dominant splice site mutations in PIK3R1 cause Hyper IgM syndrome, lymphadenopathy and short stature PMID: 27076228
- these results reveal that p85alpha expression in stromal fibroblasts haves a crucial role in regulating breast cancer tumourigenesis and progression by modifying stromal-epithelial crosstalk and remodelling the tumour microenvironment. PMID: 28394344
- A dominant-negative mutation in the p85alpha regulatory subunit of PI3K affects development of the iris, and contributes to changes consistent with anterior segment dysgenesis in both humans and mice. PMID: 28632845
- Following phosphorylation of the tyrosine, the proteins growth factor receptor-bound protein 2 (Grb2), Grb2-related adaptor downstream of Shc (Gads), and p85 subunit of phosphoinositide 3-kinase may bind to pYMNM (where pY is phosphotyrosine) via their Src homology 2 (SH2) domains, leading to downstream signaling to distinct immune pathways. These three adaptor proteins bind to the same site on CD28 with variable affinity PMID: 27927989
- Gain-of-function mutation in PIK3R1 in a patient with hypogammaglobulinemia and a narrow clinical phenotype of respiratory infections PMID: 27693481
- The results identify several host proteins that mediate invasin-induced effects on the actin cytoskeleton and indicate that a subset of PI3K pathway components promote internalization of both Y. enterocolitica and L. monocytogenes. PMID: 27068087
- suggest that small-bowel resection reduces p85alpha and TP53, which increases survivin and intestinal epithelial cell expansion during therapeutic adaptation in patients with short bowel syndrome PMID: 27157990
- In conclusion, we identified four novel loci (TGFA, PIK3R1, FGFR3 and TREH) and confirmed two loci known to be associated with cartilage thickness.The identified associations were not caused by rare exonic variants. This is the first report linking TGFA to human Osteoarthritis, which may serve as a new target for future therapies. PMID: 27701424
- results definitively show that LMP1 promotes IRF4 tyrosine phosphorylation and markedly stimulates its transcriptional activity through recruiting Src via P85 PMID: 27819673
- this study shows that rapamycin inhibits TGF beta 1 induced myofibroblast differentiation in nasal polyp-derived fibroblasts through the PI3K/mTOR signal pathways PMID: 28124643
- This review will summarize the biological roles of phosphatidylinositol 3-kinase regulatory subunit 1 and phosphatase and tensin homolog in breast cancer, with an emphasis on recent findings and the potential of phosphatidylinositol 3-kinase regulatory subunit 1 and phosphatase and tensin homolog as a therapeutic target for breast cancer therapy. PMID: 28351303
- Our data do not support an up-regulation of p85alpha subunit of PI3K expression as a mechanism of growth hormone-induced insulin resistance in subcutaneous adipose tissue of acromegalic patients. PMID: 27070751
- Data indicate that the most prominent proteins associating with Gab2 are PTPN11, PIK3R1 and ARID3B. PMID: 27025927
- Expression of miR-26a and miR-29a was significantly down regulated in leukoplakia and cancer tissues but up regulated in lichen planus tissues. Expression of target genes such as, ADAMTS7, ATP1B1, COL4A2, CPEB3, CDK6, DNMT3a and PI3KR1 was significantly down regulated in at least two of three disease types with respect to normal tissues. PMID: 27515006
- Findings indicate that 3' utranslated regions (3'UTR) of PIK3R1, which encodes class I PI3K regulatory subunit 1 (alpha), contained the microRNA miR-634 seed sites sequences. PMID: 26972586
- PIK3R1 knockdown abrogated antimiR21-induced effect on breast cancer cells. PMID: 26676464
- RAC1/RAC2 and SFK are proximal and essential for phosphatidylinositol 3-kinase (PI3K) activation in NK cell-mediated direct cytotoxicity against Cryptococcus neoformans. PMID: 26867574
- PI3KR1 plays a crucial role in the development of germinal center follicular helper T cells and is not involved in the generation of normal follicular regulatory T cells PMID: 26827886
- A Cytosolic Multiprotein Complex Containing p85alpha Is Required for beta-Catenin Activation in Colitis and Colitis-associated Cancer. PMID: 26565021
- study provides new insight into the structure and assembly of the p85alpha homodimer and suggests that this protein is a highly dynamic molecule whose conformational flexibility allows it to transiently associate with multiple binding proteins. PMID: 26475863
- As a consequence, homodimeric but not monomeric p85alpha suppresses the phosphatidylinositol 3-kinase pathway by protecting PTEN from E3 ligase WWP2-mediated proteasomal degradation. PMID: 26222500
- Three of these, PIK3R1, VEGFA, and ITGB1, are known to be associated with preeclampsia or preeclampsia-related biological processes PMID: 26125867
- In trastuzumab-treated HER2-positive breast cancer patients, positive p85 protein expression appears to be a prognostic factor of poor survival and, if validated, might have important implications in the treatment of such patients. PMID: 25098276
- Defective podocyte insulin signaling through p85-XBP1 promotes ATF6-dependent maladaptive ER-stress response in diabetic nephropathy. PMID: 25754093
- we conclude that miR-128-3p, which is frequently downregulated in HCC, inhibits hepatocellular carcinoma (HCC). progression by regulating PIK3R1 and PI3K/AKT activation, and is a prognostic marker for HCC patients. PMID: 25962360
- PIK3R1 negatively regulates the epithelial-mesenchymal transition and stem-like phenotype of renal cancer cells through the AKT/GSK3beta/CTNNB1 signaling pathway PMID: 25757764
- genetic association studies in populations in Ireland and Belgium: Data suggest that frequencies of mutations in PIK3R1, MET (MET proto-oncogene receptor tyrosine kinase), and BRAF (B-Raf proto-oncogene) vary by demographic location. PMID: 25746038
- NOS stimulation via PI3K, calpain proteases, and SIRT1-dependent deacetylation downstream from VEGFR2 activation contributes to these vasodilator responses. PMID: 26284543
- The synaptic recruitment of lipid rafts is dependent on CD19-PI3K module and cytoskeleton remodeling molecules. PMID: 25979433
- Heterozygous splice site mutations in PIK3R1 are associated with an immunological phenotype resembling hyper-IgM syndrome, and altered germinal center reaction with abnormal B cell peripheral maturation. PMID: 25939554
- This study identified that CGPs was found to significantly correlate with the differential expression and methylation of genes encoding phosphoinositide-3-kinase, regulatory subunit 1. PMID: 25243493
- expression determinant of gemcitabine sensitivity in pancreatic ductal adenocarcinoma PMID: 25846727
- Data show that miR-221 and miR-222 repress respectively the levels of PIK3R1 and ETS1 to regulate angiogenic features in endothelial progenitor cells and endothelial cells. PMID: 25236949
- PIK3R1 de novo missense mutation (c.1945C>T; p.Arg649Trp) cause SHORT syndrome. PMID: 23980586
- This study highlights the p85alpha (PI3K)S83 role as a key regulator of cell proliferation and motility induced by insulin in MCF-7 cells breast cancer model. PMID: 25114970
- Data conclude that miR-486-5p, which is frequently downregulated in HCC, inhibits HCC progression by targeting PIK3R1 and phosphatidylinositol 3-kinase-AKT activation. PMID: 25475121
顯示更多
收起更多
-
相關疾病:Agammaglobulinemia 7, autosomal recessive (AGM7); SHORT syndrome (SHORTS); Immunodeficiency 36 (IMD36)
-
蛋白家族:PI3K p85 subunit family
-
組織特異性:Isoform 2 is expressed in skeletal muscle and brain, and at lower levels in kidney and cardiac muscle. Isoform 2 and isoform 4 are present in skeletal muscle (at protein level).
-
數據庫鏈接:
Most popular with customers
-
-
YWHAB Recombinant Monoclonal Antibody
Applications: ELISA, WB, IHC, IF, FC
Species Reactivity: Human, Mouse, Rat
-
Phospho-YAP1 (S127) Recombinant Monoclonal Antibody
Applications: ELISA, WB, IHC
Species Reactivity: Human
-
-
-
-
-















