PIAS2 Antibody
-
中文名稱:PIAS2兔多克隆抗體
-
貨號:CSB-PA272603
-
規格:¥1100
-
圖片:
-
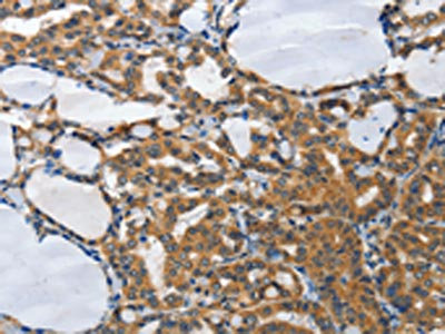
The image on the left is immunohistochemistry of paraffin-embedded Human thyroid cancer tissue using CSB-PA272603(PIAS2 Antibody) at dilution 1/70, on the right is treated with synthetic peptide. (Original magnification: ×200)
-
The image on the left is immunohistochemistry of paraffin-embedded Human lymphoma tissue using CSB-PA272603(PIAS2 Antibody) at dilution 1/70, on the right is treated with synthetic peptide. (Original magnification: ×200)
-
-
其他:
產品詳情
-
Uniprot No.:
-
基因名:
-
別名:Androgen receptor interacting protein 3 antibody; Androgen receptor-interacting protein 3 antibody; ARIP3 antibody; DAB2 interacting protein antibody; DAB2-interacting protein antibody; DIP antibody; E3 SUMO protein ligase PIAS2 antibody; E3 SUMO-protein ligase PIAS2 antibody; MIZ antibody; Miz1 antibody; Msx interacting zinc finger protein antibody; Msx-interacting zinc finger protein antibody; PIAS NY protein antibody; PIAS-NY protein antibody; PIAS2 antibody; PIAS2_HUMAN antibody; PIASX antibody; PIASX-ALPHA antibody; PIASX-BETA antibody; Protein inhibitor of activated STAT x antibody; Protein inhibitor of activated STAT, 2 antibody; Protein inhibitor of activated STAT2 antibody; SIZ2 antibody; Zinc finger, MIZ-type containing 4 antibody; ZMIZ4 antibody
-
宿主:Rabbit
-
反應種屬:Human,Mouse
-
免疫原:Synthetic peptide of Human PIAS2
-
免疫原種屬:Homo sapiens (Human)
-
標記方式:Non-conjugated
-
抗體亞型:IgG
-
純化方式:Antigen affinity purification
-
濃度:It differs from different batches. Please contact us to confirm it.
-
保存緩沖液:-20°C, pH7.4 PBS, 0.05% NaN3, 40% Glycerol
-
產品提供形式:Liquid
-
應用范圍:ELISA,IHC
-
推薦稀釋比:
Application Recommended Dilution ELISA 1:1000-1:5000 IHC 1:50-1:200 -
Protocols:
-
儲存條件:Upon receipt, store at -20°C or -80°C. Avoid repeated freeze.
-
貨期:Basically, we can dispatch the products out in 1-3 working days after receiving your orders. Delivery time maybe differs from different purchasing way or location, please kindly consult your local distributors for specific delivery time.
-
用途:For Research Use Only. Not for use in diagnostic or therapeutic procedures.
相關產品
靶點詳情
-
功能:Functions as an E3-type small ubiquitin-like modifier (SUMO) ligase, stabilizing the interaction between UBE2I and the substrate, and as a SUMO-tethering factor. Plays a crucial role as a transcriptional coregulator in various cellular pathways, including the STAT pathway, the p53 pathway and the steroid hormone signaling pathway. The effects of this transcriptional coregulation, transactivation or silencing may vary depending upon the biological context and the PIAS2 isoform studied. However, it seems to be mostly involved in gene silencing. Binds to sumoylated ELK1 and enhances its transcriptional activity by preventing recruitment of HDAC2 by ELK1, thus reversing SUMO-mediated repression of ELK1 transactivation activity. Isoform PIAS2-beta, but not isoform PIAS2-alpha, promotes MDM2 sumoylation. Isoform PIAS2-alpha promotes PARK7 sumoylation. Isoform PIAS2-beta promotes NCOA2 sumoylation more efficiently than isoform PIAS2-alpha. Isoform PIAS2-alpha sumoylates PML at'Lys-65' and 'Lys-160'.
-
基因功能參考文獻:
- results indicated that PIAS2-mediated SUMOylation constrained HCV replication PMID: 28973998
- These findings suggest that SUMO-1 modification of MDA5 possibly via PIAS2beta may play a role in the MDA5-mediated interferon response to viral infections. PMID: 21156324
- PIASx may function as a co-repressor of Stat4 PMID: 12716907
- Required for upregulation of a large group of genes in response to DNA damage, a function that is regulated by c-Myc, but not by 14-3-3eta and represses the expression of many genes PMID: 15580267
- the repressive properties of PIASxalpha/ARIP3 require its physical interaction with FLI-1, identifying PIASxalpha as a novel corepressor of FLI-1 PMID: 16148010
- PIASxalpha acts as a key signal integrator that permits different responses from the same transcription factor, depending on the signaling pathway that is activated. PMID: 16713578
顯示更多
收起更多
-
亞細胞定位:Nucleus speckle. Nucleus, PML body. Nucleus.
-
蛋白家族:PIAS family
-
組織特異性:Mainly expressed in testis. Isoform 3 is expressed predominantly in adult testis, weakly in pancreas, embryonic testis and sperm, and at very low levels in other organs.
-
數據庫鏈接:
Most popular with customers
-
-
YWHAB Recombinant Monoclonal Antibody
Applications: ELISA, WB, IHC, IF, FC
Species Reactivity: Human, Mouse, Rat
-
Phospho-YAP1 (S127) Recombinant Monoclonal Antibody
Applications: ELISA, WB, IHC
Species Reactivity: Human
-
-
-
-
-















