PHKA2 Antibody
-
中文名稱:PHKA2兔多克隆抗體
-
貨號:CSB-PA152383
-
規格:¥1100
-
圖片:
-
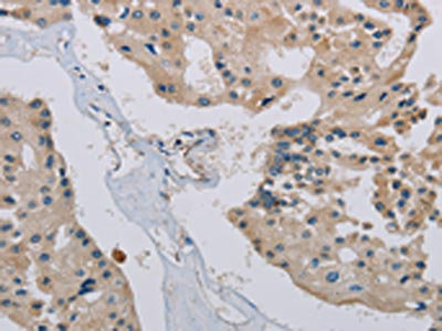
The image on the left is immunohistochemistry of paraffin-embedded Human prostate cancer tissue using CSB-PA152383(PHKA2 Antibody) at dilution 1/30, on the right is treated with synthetic peptide. (Original magnification: ×200)
-
The image on the left is immunohistochemistry of paraffin-embedded Human brain tissue using CSB-PA152383(PHKA2 Antibody) at dilution 1/30, on the right is treated with synthetic peptide. (Original magnification: ×200)
-
-
其他:
產品詳情
-
Uniprot No.:
-
基因名:
-
別名:PHKA2 antibody; PHKLA antibody; PYKPhosphorylase b kinase regulatory subunit alpha antibody; liver isoform antibody; Phosphorylase kinase alpha L subunit antibody
-
宿主:Rabbit
-
反應種屬:Human
-
免疫原:Synthetic peptide of Human PHKA2
-
免疫原種屬:Homo sapiens (Human)
-
標記方式:Non-conjugated
-
抗體亞型:IgG
-
純化方式:Antigen affinity purification
-
濃度:It differs from different batches. Please contact us to confirm it.
-
保存緩沖液:-20°C, pH7.4 PBS, 0.05% NaN3, 40% Glycerol
-
產品提供形式:Liquid
-
應用范圍:ELISA,IHC
-
推薦稀釋比:
Application Recommended Dilution ELISA 1:1000-1:2000 IHC 1:25-1:100 -
Protocols:
-
儲存條件:Upon receipt, store at -20°C or -80°C. Avoid repeated freeze.
-
貨期:Basically, we can dispatch the products out in 1-3 working days after receiving your orders. Delivery time maybe differs from different purchasing way or location, please kindly consult your local distributors for specific delivery time.
-
用途:For Research Use Only. Not for use in diagnostic or therapeutic procedures.
相關產品
靶點詳情
-
功能:Phosphorylase b kinase catalyzes the phosphorylation of serine in certain substrates, including troponin I. The alpha chain may bind calmodulin.
-
基因功能參考文獻:
- Clinical data and analyzed the PHKA2 gene of 17 Chinese male patients suspected of having Glycogen storage disease (GSD) type IXa; study detected 14 mutations in 17 patients, including 8 novel mutations; exons 2 and 4 were hot spots. PMID: 28627441
- In this study we summarized the PHKA2 mutation spectrum in Korean glycogen storage disease type IX patients and found that the most common mutation type was gross deletion. PMID: 27103379
- The present case also represents the first known reported case of liver PhK deficiency with an PHKA2 mutation and liver cirrhosis. PMID: 21857251
- We found that the missense mutation p.Pro1205Leu in the PHKA2 gene is a common cause of hepatic phosphorylase-kinase deficiency in Dutch patients, suggesting a founder-effect PMID: 21911307
- two novel mutations found in two GSD type IX patients with different residual enzyme activities PMID: 21131218
- Gene analysis was confirmed to represent a useful procedure for diagnosing x-linked liver glycogenosis, for which liver biopsy had previously been required to detect hepatic phosphorylase kinase deficiency PMID: 12862311
- Alu-mediated, large deletion-spanning introns 19-26 in PHKA2 is associated with X-linked liver glycogenosis PMID: 17581768
- Results show that phosphorylase kinase (PhK) alpha subunit missense mutations or small in-frame deletions/insertions may have a direct impact on the PhK alpha functions. PMID: 18950708
顯示更多
收起更多
-
相關疾?。?/div>Glycogen storage disease 9A (GSD9A)亞細胞定位:Cell membrane; Lipid-anchor; Cytoplasmic side.蛋白家族:Phosphorylase b kinase regulatory chain family組織特異性:Predominantly expressed in liver and other non-muscle tissues.數據庫鏈接:
Most popular with customers
-
-
YWHAB Recombinant Monoclonal Antibody
Applications: ELISA, WB, IHC, IF, FC
Species Reactivity: Human, Mouse, Rat
-
Phospho-YAP1 (S127) Recombinant Monoclonal Antibody
Applications: ELISA, WB, IHC
Species Reactivity: Human
-
-
-
-
-















